Medulloblastoma
| Medulloblastoma | |
|---|---|
![]() | |
| CT scan, showing a tumorous mass in the posterior fossa, giving rise to obstructive hydrocephalus, in a six-year-old girl | |
| Classification and external resources | |
| Specialty | Oncology |
| ICD-O | M9470/3 |
| OMIM | 155255 |
| DiseasesDB | 31105 |
| eMedicine | neuro/624 ped/1396 radio/434 |
| MeSH | D008527 |
Medulloblastoma (/məˌdʌloʊblæˈstoʊmə/) is the most common type of pediatric malignant primary brain tumor (cancer), originating in the part of the brain that is towards the back and the bottom, on the floor of the skull, in the cerebellum or posterior fossa.[1]
The brain is divided into two main parts, the larger cerebrum on top and the smaller cerebellum below towards the back. They are separated by a membrane called the tentorium. Tumors that originate in the cerebellum or the surrounding region below the tentorium are therefore called infratentorial.
Historically medulloblastomas have been classified as a PNET (primitive neuroectodermal tumour), however it is now known that medulloblastoma is distinct from supratentorial PNET's and are no longer considered similar entities.[2]
Medulloblastomas are non-invasive rapidly growing tumors that, unlike most brain tumors, spread through the cerebrospinal fluid (CSF) and frequently metastasize to different locations along the surface of the brain and spinal cord.
The cumulative relative survival rate for all age groups and histology follow-up was 60%, 52%, and 32% at 5 years, 10 years, and 20 years, respectively, with children doing better than adults.[3]
Signs and symptoms
Signs and symptoms are mainly due to secondary increased intracranial pressure due to blockage of the fourth ventricle and are usually present for 1 to 5 months before diagnosis is made. The child typically becomes listless, with repeated episodes of vomiting, and a morning headache, which may lead to a misdiagnosis of gastrointestinal disease or migraine.[4] Soon after, the child will develop a stumbling gait, truncal ataxia, frequent falls, diplopia, papilledema, and sixth cranial nerve palsy. Positional dizziness and nystagmus are also frequent and facial sensory loss or motor weakness may be present. Decerebrate attacks appear late in the disease.
Extraneural metastasis to the rest of the body is rare, and when it occurs is in the setting of relapse, more commonly in the era prior to routine chemotherapy.
Pathogenesis
Medulloblastomas usually form in the vicinity of the fourth ventricle, between the brainstem and the cerebellum. Tumors with similar appearance and characteristics originate in other parts of the brain, but they are not identical to medulloblastoma.[5]
Although it is thought that medulloblastomas originate from immature or embryonal cells at their earliest stage of development, the cell of origin depends on the subgroup of medulloblastoma. WNT tumours originate from the lower rhombic lip of the brainstem while SHH tumours originate from the external granular layer.
It is currently thought that medulloblastoma arises from cerebellar stem cells that have been prevented from dividing and differentiating into their normal cell types. This accounts for the varying histologic variants seen on biopsy. Both perivascular pseudorosette and Homer Wright rosette pseudorosettes formation are highly characteristic of medulloblastoma and is seen in up to half of the cases. Homer Wright rosettes are pseudorosettes consisting of tumor cells surrounding a fibrillar area.[6] Also, the classic rosette with tumor cells around a central lumen can be seen.[7]
In the past, Medulloblastoma was classified using histology, however, recent integrated genomic studies have revealed that medulloblastoma is composed of four distinct molecular and clinical variants termed WNT/β-catenin, SHH (Sonic Hedgehog), Group 3 and Group 4.[8] Of these subgroups WNT patients have an excellent prognosis and Group 3 have a dismal prognosis. There also exists subgroup specific alternative splicing which further confirms the existence of distinct subgroups and highlights the transcriptional heterogeneity between subgroups.[9] Amplification of the Sonic Hedgehog pathway is the best characterized subgroup, with 25% of human tumors having mutations in Patched, Sufu (Suppressor of Fused Homolog), Smoothened, or other genes in this pathway.[10][11] Medulloblastomas are also seen in Gorlin syndrome as well as Turcot syndrome. Recurrent mutations in the genes CTNNB1, PTCH1, MLL2, SMARCA4, DDX3X, CTDNEP1, KDM6A and TBR1 were identified in individuals with medulloblastoma.[12] Additional pathways disrupted in some medulloblastomas include MYC, Notch, BMP, and TGF-β signaling pathways.[10][11][13][14][15][16][17][18]
Diagnosis
The tumor is distinctive on T1 and T2-weighted MRI with heterogeneous enhancement and typical location adjacent to and extension into the fourth ventricle.
Histologically, the tumor is solid, pink-gray in color, and is well circumscribed. The tumor is very cellular, many mitoses, little cytoplasm, and has the tendency to form clusters and rosettes.
Correct diagnosis of medulloblastoma may require ruling out atypical teratoid rhabdoid tumor (ATRT)[19]
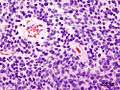
- Cerebellar medulloblastoma in an adult
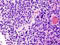
- Cerebellar medulloblastoma in an adult
Treatment
Treatment begins with maximal surgical removal of the tumor. The addition of radiation to the entire neuraxis and chemotherapy may increase the disease-free survival. There is some evidence that proton beam irradiation reduces the impact of radiation on the cochlear and cardiovascular areas and reduces the cognitive late effects of cranial irradiation.[20][21] This combination may permit a 5-year survival in more than 80% of cases. The presence of desmoplastic features such as connective tissue formation offers a better prognosis. Prognosis is worse if the child is less than 3 years old, there is an inadequate degree of resection, or if there is any CSF, spinal, supratentorial or systemic spread. Dementia after radiotherapy and chemotherapy is a common outcome appearing two to four years following treatment. Side effects from radiation treatment can include cognitive impairment, psychiatric illness, bone growth retardation, hearing loss, and endocrine disruption.[1][4][14]
Increased intracranial pressure may be controlled with corticosteroids or a ventriculoperitoneal shunt.
Chemotherapy
Chemotherapy is often used as part of treatment. Evidence of benefit however is not clear as of 2013.[22] There are a couple of different chemotherapeutic regimens for medulloblastoma, but most involve a combination of lomustine, cisplatin, carboplatin, vincristine or cyclophosphamide. In younger patients (less than 3–4 years of age), chemotherapy can delay, or in some cases possibly even eliminate, the need for radiotherapy. However, both chemotherapy and radiotherapy often have long-term toxicity effects, including delays in physical and cognitive development, higher risk of second cancers and increased cardiac disease risks.[23][24]
Outcomes
Array-based karyotyping of 260 medulloblastomas by Pfister S, et al. resulted in the following clinical subgroups based on cytogenetic profiles:[25]
- Poor prognosis: gain of 6q or amplification of MYC or MYCN
- Intermediate: gain of 17q or an i(17q) without gain of 6q or amplification of MYC or MYCN
- Excellent prognosis: 6q and 17q balanced or 6q deletion
Transcriptional profiling shows the existence of four main subgroups (Wnt, Shh, Group 3, and Group 4).[26]
- Very good prognosis: WNT group, CTNNB1 mutation
- Infants good prognosis, others intermediate: SHH group, PTCH1/SMO/SUFU mutation, GLI2 amplification, or MYCN amplification
- Poor prognosis: Group 3, MYC amplification, photoreceptor/GABAergic gene expression
- Intermediate prognosis: Group 4, gene expression of neuronal/glutamatergic, CDK6 amplification, MYCN amplification
Survival
The cumulative relative survival rate for all age groups and histology follow-up was 60%, 52%, and 47% at 5 years, 10 years, and 20 years, respectively. Patients diagnosed with a medulloblastoma or PNET are 50 times more likely to die than a matched member of the general population. The most recent population-based (SEER) 5-year relative survival rates are 69% overall, but 72% in children (1–9 years) and 67% in adults (20+ years). The 20 year survival rate is 51% in children. Children and adults have different survival profiles, with adults faring worse than children only after the 4th year post-diagnosis (after controlling for increased background mortality). Before the 4th year, survival probabilities are nearly identical.[3] Longterm sequelae of standard treatment include hypothalamic-pituitary and thyroid dysfunction and intellectual impairment. The hormonal and intellectual deficits created by these therapies causes significant impairment of the survivors.[27]
Epidemiology
Medulloblastomas affect just under 2 people per million per year, and affect children 10 times more than adults.[28] Medulloblastoma is the second most frequent brain tumor in children after pilocytic astrocytoma[29] and the most common malignant brain tumor in children, comprising 14.5% of newly diagnosed cases.[30] In adults, medulloblastoma is rare, comprising fewer than 2% of CNS malignancies.[31]
The rate of new cases of childhood medulloblastoma is higher in males (62%) than females (38%), a feature which is not seen in adults.[28][32] Medulloblastoma and other PNET`s are more prevalent in younger children than older children. Forty percent of medulloblastoma patients are diagnosed before the age of 5, 31% are between the ages of 5 and 9, 18.3% are between the ages of 10 and 14, and 12.7% are between the ages of 15 and 19.[33]
Research models
Using gene transfer of SV40 large T-antigen in neuronal precursor cells of rats, a brain tumor model was established. The PNETs were histologically indistinguishable from the human counterparts and have been used to identify new genes involved in human brain tumor carcinogenesis.[34] The model was used to confirm p53 as one of the genes involved in human medulloblastomas, but since only about 10% of the human tumors showed mutations in that gene, the model can be used to identify the other binding partners of SV40 Large T- antigen, other than p53.[35]
References
- 1 2 Roussel, M (2011). "Development and cancer of the cerebellum.". Curr Top Dev Biol. 94: 235–82. doi:10.1016/B978-0-12-380916-2.00008-5. PMC 3213765
. PMID 21295689. - ↑ Hinz, Chris; Hesser, Deneen. Focusing On Brain Tumors: Medulloblastoma. American Brain Tumor Association. ISBN 0-944093-67-1.
- 1 2 Smoll, Nicolas R. (2012). "Relative survival of childhood and adult medulloblastomas and primitive neuroectodermal tumors (PNETs)". Cancer. 118 (5): 1313–22. doi:10.1002/cncr.26387. PMID 21837678.
- 1 2 Polkinghorn, W (2007). "Medulloblastoma: tumorigenesis, current clinical paradigm, and efforts to improve risk stratification.". Nat Clin Pract Oncol. 4: 295–304. doi:10.1038/ncponc0794. PMID 17464337.
- ↑ Roger Packer M.D, Medulloblastoma Clinical Trials and Noteworthy Treatments for Brain Tumors 2002.
- ↑ White, Lucile E., Levy, Ross M., Alam, Murad (2008). "Ch. 127. Neoplasias and Hyperplasias of Muscular and Neural Origin". In Wolff K, Goldsmith LA, Katz SI, Gilchrest B, Paller AS, Leffell DJ. Fitzpatrick's Dermatology in General Medicine (7e ed.). McGraw-Hill Medical.
- ↑ Ropper AH, Samuels MA. "Ch. 31. Intracranial Neoplasms and Paraneoplastic Disorders". In Ropper AH, Samuels MA. Adams and Victor's Principles of Neurology (9e ed.).
- ↑ Taylor, Michael D.; Northcott, P. A.; Korshunov, A; Remke, M; Cho, Y. J.; Clifford, S. C.; Eberhart, C. G.; Parsons, D. W.; Rutkowski, S; Gajjar, A; Ellison, D. W.; Lichter, P; Gilbertson, R. J.; Pomeroy, S. L.; Kool, M; Pfister, S. M. (Feb 2012). "Molecular subgroups of medulloblastoma: the current consensus". Acta Neuropathologica. 123 (4): 465–72. doi:10.1007/s00401-011-0922-z. PMC 3306779
. PMID 22134537. - ↑ Dubuc, Adrian M.; Morrissy, A. Sorana; Kloosterhof, Nanne K.; Northcott, Paul A.; Yu, Emily P. Y.; Shih, David; Peacock, John; Grajkowska, Wieslawa; Van Meter, Timothy; Eberhart, Charles G.; Pfister, Stefan; Marra, Marco A.; Weiss, William A.; Scherer, Stephen W.; Rutka, James T.; French, Pim J.; Taylor, Michael D. (Feb 2012). "Subgroup-specific alternative splicing in medulloblastoma". Acta Neuropathologica. 123 (4): 485–99. doi:10.1007/s00401-012-0959-7. PMID 22358458.
- 1 2 Marino, S. (2005). "Medulloblastoma: developmental mechanisms out of control.". Trends Mol Med. 11: 17–22. doi:10.1016/j.molmed.2004.11.008. PMID 15649818.
- 1 2 Gibson, P. (2010). "Subtypes of medulloblastoma have distinct developmental origins.". Nature. 468: 1095–9. doi:10.1038/nature09587. PMC 3059767
. PMID 21150899. - ↑ Jones, D. T.; Jäger, N; Kool, M; Zichner, T; Hutter, B; Sultan, M; Cho, Y. J.; Pugh, T. J.; Hovestadt, V; Stütz, A. M.; Rausch, T; Warnatz, H. J.; Ryzhova, M; Bender, S; Sturm, D; Pleier, S; Cin, H; Pfaff, E; Sieber, L; Wittmann, A; Remke, M; Witt, H; Hutter, S; Tzaridis, T; Weischenfeldt, J; Raeder, B; Avci, M; Amstislavskiy, V; Zapatka, M; et al. (Jul 2012). "Dissecting the genomic complexity underlying medulloblastoma". Nature. 488 (7409): 100–5. Bibcode:2012Natur.488..100J. doi:10.1038/nature11284. PMC 3662966
. PMID 22832583. - ↑ Polkinghorn, W (2007). "Medulloblastoma: tumorigenesis, current clinical paradigm, and efforts to improve risk stratification". Nat Clin Pract Oncol. 4: 295–304. doi:10.1038/ncponc0794. PMID 17464337.
- 1 2 Ellison, D (2010). "Childhood medulloblastoma: novel approaches to the classification of a heterogeneous disease.". Acta Neuropathol. 120: 305–16. doi:10.1007/s00401-010-0726-6. PMID 20652577.
- ↑ Cho, Y (2011). "Integrative genomic analysis of medulloblastoma identifies a molecular subgroup that drives poor clinical outcome". J Clin Oncol. 29: 1424–30. doi:10.1200/JCO.2010.28.5148. PMC 3082983
. PMID 21098324. - ↑ Northcott, P (2012). "Subgroup-specific structural variation across 1,000 medulloblastoma genomes.". Nature. 488: 49–56. doi:10.1038/nature11327. PMC 3683624
. PMID 22832581. - ↑ Hatten, M (2011). "Development and cancer of the cerebellum.". Trends Neurosci. 34: 134–42. doi:10.1016/j.tins.2011.01.002. PMC 3051031
. PMID 21315459. - ↑ Roussel, M (2011). "Cerebellum development and medulloblastoma.". Curr Top Dev Biol. 94: 235–82. doi:10.1016/B978-0-12-380916-2.00008-5. PMC 3213765
. PMID 21295689. - ↑ Burger, Peter C.; Yu, I-T; Tihan, Tarik; Friedman, Henry S.; Strother, Douglas R.; Kepner, James L.; Duffner, Patricia K.; Kun, Larry E.; Perlman, Elizabeth J. (1998). "Atypical Teratoid/Rhabdoid Tumor of the Central Nervous System: A Highly Malignant Tumor of Infancy and Childhood Frequently Mistaken for Medulloblastoma". The American Journal of Surgical Pathology. 22 (9): 1083–92. doi:10.1097/00000478-199809000-00007. PMID 9737241.
- ↑ Merchant, Thomas E.; Hua, Chia-ho; Shukla, Hemant; Ying, Xiaofei; Nill, Simeon; Oelfke, Uwe (2008). "Proton versus photon radiotherapy for common pediatric brain tumors: Comparison of models of dose characteristics and their relationship to cognitive function". Pediatric Blood & Cancer. 51 (1): 110–7. doi:10.1002/pbc.21530. PMID 18306274.
- ↑ Blomstrand, M; Brodin, N. P.; Munck Af Rosenschöld, P; Vogelius, I. R.; Sánchez Merino, G; Kiil-Berthlesen, A; Blomgren, K; Lannering, B; Bentzen, S. M.; Björk-Eriksson, T (2012). "Estimated clinical benefit of protecting neurogenesis in the developing brain during radiation therapy for pediatric medulloblastoma". Neuro-Oncology. 14 (7): 882–9. doi:10.1093/neuonc/nos120. PMC 3379806
. PMID 22611031. - ↑ Michiels, Erna MC; Schouten-Van Meeteren, Antoinette YN; Doz, François; Janssens, Geert O; Van Dalen, Elvira C (2015). "Chemotherapy for children with medulloblastoma". Cochrane Database of Systematic Reviews. 1: CD006678. doi:10.1002/14651858.CD006678.pub2. PMID 25553354.
- ↑ Fossati, Piero; Ricardi, Umberto; Orecchia, Roberto (February 2009). "Pediatric medulloblastoma: Toxicity of current treatment and potential role of protontherapy". Cancer Treatment Reviews. 35 (1): 79–96. doi:10.1016/j.ctrv.2008.09.002.
- ↑ Crawford, John R; MacDonald, Tobey J; Packer, Roger J (December 2007). "Medulloblastoma in childhood: new biological advances". The Lancet Neurology. 6 (12): 1073–1085. doi:10.1016/S1474-4422(07)70289-2.
- ↑ Pfister, S.; Remke, M.; Benner, A.; Mendrzyk, F.; Toedt, G.; Felsberg, J.; Wittmann, A.; Devens, F.; Gerber, N. U.; Joos, S.; Kulozik, A.; Reifenberger, G.; Rutkowski, S.; Wiestler, O. D.; Radlwimmer, B.; Scheurlen, W.; Lichter, P.; Korshunov, A. (2009). "Outcome Prediction in Pediatric Medulloblastoma Based on DNA Copy-Number Aberrations of Chromosomes 6q and 17q and the MYC and MYCN Loci". Journal of Clinical Oncology. 27 (10): 1627–36. doi:10.1200/JCO.2008.17.9432. PMID 19255330.
- ↑ Taylor, Michael D.; Northcott, Paul A.; Korshunov, Andrey; Remke, Marc; Cho, Yoon-Jae; Clifford, Steven C.; Eberhart, Charles G.; Parsons, D. Williams; Rutkowski, Stefan; Gajjar, Amar; Ellison, David W.; Lichter, Peter; Gilbertson, Richard J.; Pomeroy, Scott L.; Kool, Marcel; Pfister, Stefan M. (2011). "Molecular subgroups of medulloblastoma: The current consensus". Acta Neuropathologica. 123 (4): 465–72. doi:10.1007/s00401-011-0922-z. PMC 3306779
. PMID 22134537. - ↑ Packer, Roger J. (2010). "Medulloblastoma".
- 1 2 Smoll, Nicolas R.; Drummond, Katharine J. (2012). "The incidence of medulloblastomas and primitive neurectodermal tumours in adults and children". Journal of Clinical Neuroscience. 19 (11): 1541–4. doi:10.1016/j.jocn.2012.04.009. PMID 22981874.
- ↑ http://neuropathology-web.org/chapter7/chapter7cMedulloblastoma.html
- ↑ Gurney, James G., Smith, Malcolm A., Bunin, Greta R. (1999). "CNS and Miscellaneous Intracranial and Intraspinal Neoplasms" (PDF). In Ries LA, Smith MA, Gurney JG, Linet M, Tamra T, Young JL, Bunin GR. Cancer Incidence and Survival among Children and Adolescents: United States SEER Program 1975–1995 (PDF). Bethesda MD: National Cancer Institute. NIH Pub. No. 99-4649.
- ↑ Selected Primary Brain and Central Nervous System Tumor Age-Specific Incidence Rates, Central Brain Tumor Registry of the United States, 1998–2002.
- ↑ Selected Childhood Primary Brain and Central Nervous System Tumor Incidence Rates by Major Histology Groupings, Histology and Gender Central Brain Tumor Registry of the United States, 1998–2002.
- ↑ Selected Childhood Primary Brain and Central Nervous System Tumor Age-Specific Incidence Rates, Central Brain Tumor Registry of the United States, 1998–2002.
- ↑ Eibl, R. H.; Kleihues, P; Jat, P. S.; Wiestler, O. D. (March 1994). "A model for primitive neuroectodermal tumors in transgenic neural transplants harboring the SV40 large T antigen". The American Journal of Pathology. 144 (3): 556–64. PMC 1887088
. PMID 8129041. - ↑ Ohgaki, H; Eibl, R. H.; Wiestler, O. D.; Yasargil, M. G.; Newcomb, E. W.; Kleihues, P (November 1991). "P53 mutations in nonastrocytic human brain tumors". Cancer Research. 51 (22): 6202–5. PMID 1933879.
External links
- Brain and Spinal Tumors: Hope Through Research (National Institute of Neurological Disorders and Stroke)
- I'll get better tomorrow (2009) a documentary film following for 16 months the treatments of 3 children with medulloblastoma.
- Medulloblastoma Images MedPix Medical Image Database
- Cancer.Net: Medulloblastoma - Childhood
