Optic nerve glioma
| Optic nerve glioma | |
|---|---|
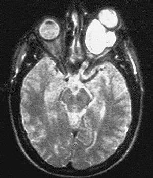
![]() | |
| Magnetic resonance image of a large retrobulbar optic nerve tumor causing massive proptosis. | |
| Classification and external resources | |
| Specialty | oncology |
| ICD-10 | C72.3 |
| MedlinePlus | 001024 |
| eMedicine | radio/486 |
| MeSH | C04.557.465.625.600.380.080.667 |
Optic nerve glioma (or optic glioma), a form of glioma which affects the optic nerve, is often one of the central nervous system manifestations of Neurofibromatosis 1.[1][2]
Optic gliomas are usually pilocytic tumors, and can involve the optic nerve or optic chiasm.[3] Optic gliomas are usually associated with neurofibromatosis type 1 in 30% of patients.[3]
Treatment
While radiation or chemotherapy may be helpful, treatment is often not necessary.[3] Optical gliomas often cannot be surgically resected. If no visual symptoms wait 6 months and then in 6 months only treat if there are symptoms (visual loss, eye pain), otherwise do not treat.[3]
Prognosis
Optic gliomas often have a shifting clinical course, with sporadic periods of vision loss separated by long periods of visual stability.[3] Optic gliomas rarely spontaneously regress.[3]
References
- ↑ Huson, Susan Mary; Hughes, Richard Anthony Cranmer (1994). The neurofibromatoses: a pathogenetic and clinical overview. London: Chapman & Hall. 1.3.2:9. ISBN 0-412-38920-7.
- ↑ Skelley, Tao Le, Vikas Bhushan, Nathan William. First aid for the USMLE step 2 CK (8th ed.). New York: McGraw-Hill Medical. ISBN 978-0-07-176137-6.
- 1 2 3 4 5 6 Goldman, Lee. Goldman's Cecil Medicine (24th ed.). Philadelphia: Elsevier Saunders. p. 1251. ISBN 1437727883.
