Pancoast tumor
| Pancoast tumor | |
|---|---|
![]() | |
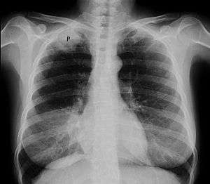
| Chest radiograph showing a Pancoast tumor (labeled as P, non-small cell lung carcinoma, right lung), from a 47-year-old female smoker. | |
| Classification and external resources | |
| Specialty | oncology |
| ICD-10 | C34.1 |
| ICD-9-CM | 162.3 |
| DiseasesDB | 31266 |
| eMedicine | med/3418 |
| MeSH | D010178 |
A Pancoast tumor, also called a pulmonary sulcus tumor or superior sulcus tumor, is a tumor of the pulmonary apex. It is a type of lung cancer defined primarily by its location situated at the top end of either the right or left lung. It typically spreads to nearby tissues such as the ribs and vertebrae. Most Pancoast tumors are non-small cell cancers.
The growing tumor can cause compression of a brachiocephalic vein, subclavian artery, phrenic nerve, recurrent laryngeal nerve, vagus nerve, or, characteristically, compression of a sympathetic ganglion resulting in a range of symptoms known as Horner's syndrome.
Pancoast tumors are named for Henry Pancoast, a US radiologist, who described them in 1924 and 1932.[1]
Symptoms
Aside from cancer general symptoms such as malaise, fever, weight loss and fatigue, Pancoast tumour can include a complete Horner's syndrome in severe cases: miosis (constriction of the pupils), anhidrosis (lack of sweating), ptosis (drooping of the eyelid) and enophthalmos (sunken eyeball). In progressive cases, the brachial plexus is also affected, causing pain and weakness in the muscles of the arm and hand with a symptomatology typical of thoracic outlet syndrome. The tumour can also compress the recurrent laryngeal nerve and from this a hoarse voice and bovine cough may occur.
In superior vena cava syndrome, obstruction of the superior vena cava by a tumour (mass effect) causes facial swelling cyanosis and dilatation of the veins of the head and neck.
A Pancoast tumor is an apical tumour that is typically found in conjunction with a smoking history. The clinical signs and symptoms can be confused with neurovascular compromise at the level of the superior thoracic aperture. The patient's smoking history, rapid onset of clinical signs and symptoms and pleuritic pain can suggest an apical tumour. A Pancoast tumor can give rise to both Pancoast syndrome and Horner's syndrome. When the brachial plexus roots are involved it will produce Pancoast syndrome; involvement of sympathetic fibres as they exit the cord at T1 and ascend to the superior cervical ganglion will produce Horner's syndrome.
Treatment
The treatment of a Pancoast lung cancer may differ from that of other types of non-small cell lung cancer. Its position and close proximity to vital structures (such as nerves and spine) may make surgery difficult. As a result, and depending on the stage of the cancer, treatment may involve radiation and chemotherapy given prior to surgery (neoadjuvant treatment). Surgery may consist of the removal of the upper lobe of a lung together with its associated structures (subclavian artery, vein, branches of the brachial plexus, ribs and vertebral bodies), as well as mediastinal lymphadenectomy. Surgical access may be via thoracotomy from the back[2] or the front of the chest[3] and modifications[4]
CT scan showing a Pancoast tumor (labeled as P, non-small cell lung carcinoma, right lung), from a 47-year-old female smoker.
References
- ↑ synd/2953 at Who Named It?
- ↑ Paulson DL, Shaw RR (May 1960). "Results of bronchoplastic procedures for bronchogenic carcinoma". Ann. Surg. 151: 729–40. doi:10.1097/00000658-196005000-00013. PMC 1613696
. PMID 14431029. - ↑ Dartevelle PG, Chapelier AR, Macchiarini P, et al. (June 1993). "Anterior transcervical-thoracic approach for radical resection of lung tumors invading the thoracic inlet". J. Thorac. Cardiovasc. Surg. 105 (6): 1025–34. PMID 8080467.
- ↑ Nazari S (August 1996). "Transcervical approach (Dartevelle technique) for resection of lung tumors invading the thoracic inlet, sparing the clavicle". J. Thorac. Cardiovasc. Surg. 112 (2): 558–60. doi:10.1016/s0022-5223(96)70296-9. PMID 8751536.
Grunenwald D, Spaggiari L (February 1997). "Transmanubrial osteomuscular sparing approach for apical chest tumors". Ann. Thorac. Surg. 63 (2): 563–6. doi:10.1016/S0003-4975(96)01023-5. PMID 9033349.
Anterior Access for radical resection of Pancoast tumors on YouTube
External links
- Pancoast Tumor at eMedicine
- Pancoast Tumor UCSD-Xray
- Pulmonary sulcus tumor entry in the public domain NCI Dictionary of Cancer Terms
- Pancoast Tumor (NSCLC) Radiographs, CT, and PET MedPix
- 5 min. video Pancoast Tumors
This article incorporates public domain material from the U.S. National Cancer Institute document "Dictionary of Cancer Terms".
