Immature teratoma
| Immature teratoma | |
|---|---|
![]() | |
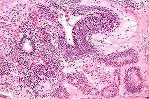
| Micrograph of the primitive neuroepithelium of an immature teratoma. H&E stain. | |
| Classification and external resources |
An immature teratoma is a rare type of malignant (cancerous) germ cell tumor (type of tumor that begins in the cells that give rise to sperm or eggs).
Like a mature teratoma, it contains several different types of tissue such as hair, muscle, and bone. Unlike a mature teratoma, it contains primitive neuroepithelium.
See also
External links
- Immature teratoma entry in the public domain NCI Dictionary of Cancer Terms
This article incorporates public domain material from the U.S. National Cancer Institute document "Dictionary of Cancer Terms".
This article is issued from Wikipedia - version of the 9/9/2014. The text is available under the Creative Commons Attribution/Share Alike but additional terms may apply for the media files.
