Pyogenic liver abscess
| Pyogenic liver abscess | |
|---|---|
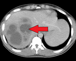
![]() | |
| A large pyogenic liver abscess presumed to be the result of appendicitis | |
| Classification and external resources | |
| Specialty | gastroenterology |
| ICD-10 | K75.0 |
| ICD-9-CM | 572.0 |
| MedlinePlus | 000261 |
| eMedicine | article/193182 |
| MeSH | D046290 |
A pyogenic liver abscess is a type of liver abscess caused by bacteria.
Signs and symptoms
Acute abscess
- Fever
- Lethargy
- Discomfort in right upper quadrant of abdomen
- Anorexia
- Enlarged and tender liver
- Pleural effusion
Chronic abscess
- Fever
- Abdominal discomfort
- Enlarged liver
Cause
- Biliary disease (most common)
E.g.: stones, cholangiocarcinoma
- Colonic disease
E.g.: diverticulitis, appendicitis, Crohn's disease
- Cryptogenic disease
- Pancreatitis
- Infection of blood
- Intra-abdominal sepsis
- Infection of biliary system
- Traumatic introduction
E.g.: penetrating injury, iatrogenic (radiofrequency ablation)
Common bacterial causes
- Streptococcus milleri
- E. coli
- Streptococcus fecalis
- Klebsiella pneumoniae
- Proteus vulgaris
- Bacteroides
- Opportunistic pathogens (Staphylococcus)
Diagnosis
- Blood CP (no leucocytosis)
- Haemoglobin estimation (anaemia)
- Serum albumin levels (falls rapidly)
- USG and CT scanning
Treatment
- Antibiotics
- Percutaneous drainage under USG or CT control
- Laparotomy in intraabdominal disease
References
This article is issued from Wikipedia - version of the 9/28/2016. The text is available under the Creative Commons Attribution/Share Alike but additional terms may apply for the media files.
