Urachal cancer
| Urachal cancer | |
|---|---|
![]() | |
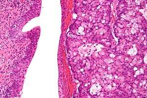
| Micrograph of urachal carcinoma (right of image) and non-malignant urothelium (left of image). H&E stain. | |
| Classification and external resources | |
| eMedicine | radio/727 |
Urachal cancer is a very rare type of cancer arising from the urachus or its remnants.[1] The disease might arise from metaplasic glandular epithelium or embryonic epithelial remnants originating from the cloaca region.[2]
It occurs in roughly about one person per 1 million people per year varying on the geographical region.[3] Men are affected slightly more often than women mostly in the 5th decade of life but the disease can occur in also in other age groups.[4][5]
It can involve the urinary bladder, but is not bladder cancer in the usual sense. Urachal cancer can occur at any site along the urachal tract.
Urachal cancer was mentioned by Hue and Jacquin in 1863 followed by an elaborate work by T. Cullen in 1916 about diseases of the umbilicus, while C. Begg further characterized urachal cancer in the 1930s.[2][6] Detailed diagnostic and staging schemes were proposed by Sheldon et al in 1984, which widely used today.[1]
Symptoms
Urachal cancer can exist for some years without any symptoms. The most frequent initial symptom is haematuria, but mucinuria (mucin in the urine), local pain or swelling, recurrent local or urinary tract infections and umbilical discharge can be seen.[4][5]
Diagnosis
The diagnosis of urachal cancer can be difficult and usually requires a multidisciplinary approach. A calcification in the midline can be detected in some patients in abdominal imaging studies. A cystoscopy is helpful in most cases. For diagnosis evaluation of a tissue biopsy is needed, which is usually obtained by transurethral resection (TURBT). Measurement of serum concentrations of CEA, CA19-9 and CA125 can be helpful in monitoring urachal cancer[2][7]
Histopathology
Urachal cancer usually is an adenocarcinoma (about 90%) mostly with mucinous/colloidal histology. The histology can be difficult to distinguish especially from colorectal cancer and primary adenocarcinoma of the urinary bladder. Immunohistochemistry in this situation is of little help with stains for betaCatenin and Cytokeratin 7 can be helpful. Other rare types include urothelial carcinoma, squamous cell carcinoma, neuroendocrine carcinoma and sarcoma.[2][4][8]
Diagnostic systems in use are the Sheldon system[1] based on proposals from Wheeler and Hill[9] and Mostofi.[10] Recent diagnostic classification schemes have been proposed by Herr et al[11] and Gopalan et al.[12] For non-adenocarcinoma urachal cancer a diagnostic classification scheme has been proposed by Paner et al.[13]
Treatment
Surgery is the mainstay of treatment for clinically localized disease. In feasible cases, a partial cystectomy with en-bloc resection of the median umbilical ligament and umbilicus can achieve good results. In progressed stages, radiotherapy seems not to lead to sufficient response rates. However, chemotherapy regimes containing 5-FU (and Cisplatin) have been described to be useful in these cases.[4][14] In recent years, targeted therapies have been demonstrated to be useful in reports of single cases. These agents included Sunitinib,[15] Gefitinib,[16] Bevacizumab[17] and Cetuximab.[18]
Prognosis
The median overall survival rate is about 50% in 5 years. Worse prognostic factors include the presence of residual tumor at the margin of the resection specimen (R+), invasion of the peritoneum and metastic disease.[4]
References
- 1 2 3 Sheldon, C. A.; Clayman, R. V.; Gonzalez, R.; Williams, R. D.; Fraley, E. E. (1984-01-01). "Malignant urachal lesions". The Journal of Urology. 131 (1): 1–8. ISSN 0022-5347. PMID 6361280.
- 1 2 3 4 Paner, Gladell P.; Lopez-Beltran, Antonio; Sirohi, Deepika; Amin, Mahul B. (2016-03-01). "Updates in the Pathologic Diagnosis and Classification of Epithelial Neoplasms of Urachal Origin". Advances in Anatomic Pathology. 23 (2): 71–83. doi:10.1097/PAP.0000000000000110. ISSN 1533-4031. PMID 26849813.
- ↑ Bruins, H. Max; Visser, Otto; Ploeg, Martine; Hulsbergen-van de Kaa, Christina A.; Kiemeney, Lambertus A. L. M.; Witjes, J. Alfred (2012-10-01). "The clinical epidemiology of urachal carcinoma: results of a large, population based study". The Journal of Urology. 188 (4): 1102–1107. doi:10.1016/j.juro.2012.06.020. ISSN 1527-3792. PMID 22901574.
- 1 2 3 4 5 Szarvas, Tibor; Módos, Orsolya; Niedworok, Christian; Reis, Henning; Szendröi, Attila; Szász, Marcell A.; Nyirády, Péter (2016-06-03). "Clinical, prognostic, and therapeutic aspects of urachal carcinoma-A comprehensive review with meta-analysis of 1,010 cases". Urologic Oncology. doi:10.1016/j.urolonc.2016.04.012. ISSN 1873-2496. PMID 27267737.
- 1 2 Behrendt, Mark A.; DE Jong, Jeroen; VAN Rhijn, Bas W. (2016-04-01). "Urachal cancer: contemporary review of the pathological, surgical, and prognostic aspects of this rare disease". Minerva Urologica E Nefrologica = The Italian Journal of Urology and Nephrology. 68 (2): 172–184. ISSN 0393-2249. PMID 26583595.
- ↑ Begg, RC. "The colloid adenocarcinomata of the bladder vault arising from the epithelium of the urachal canal: with a critical survey of the tumours of the urachus.". Br J Surg 1931;18: 422–466.
- ↑ Siefker-Radtke, Arlene O.; Gee, Jason; Shen, Yu; Wen, Sijin; Daliani, Danai; Millikan, Randall E.; Pisters, Louis L. (2003-04-01). "Multimodality management of urachal carcinoma: the M. D. Anderson Cancer Center experience". The Journal of Urology. 169 (4): 1295–1298. doi:10.1097/01.ju.0000054646.49381.01. ISSN 0022-5347. PMID 12629346.
- ↑ Wright, Jonathan L.; Porter, Michael P.; Li, Christopher I.; Lange, Paul H.; Lin, Daniel W. (2006-08-15). "Differences in survival among patients with urachal and nonurachal adenocarcinomas of the bladder". Cancer. 107 (4): 721–728. doi:10.1002/cncr.22059. ISSN 0008-543X. PMID 16826584.
- ↑ Wheeler, J. D.; Hill, W. T. (1954-01-01). "Adenocarcinoma involving the urinary bladder". Cancer. 7 (1): 119–135. doi:10.1002/1097-0142(195401)7:1<119::aid-cncr2820070113>3.0.co;2-8. ISSN 0008-543X. PMID 13126906.
- ↑ Mostofi, F. K.; Thomson, R. V.; Dean, A. L. (1955-08-01). "Mucous adenocarcinoma of the urinary bladder". Cancer. 8 (4): 741–758. doi:10.1002/1097-0142(1955)8:4<741::aid-cncr2820080417>3.0.co;2-c. ISSN 0008-543X. PMID 13240656.
- ↑ Herr, Harry W.; Bochner, Bernard H.; Sharp, David; Dalbagni, Guido; Reuter, Victor E. (2007-07-01). "Urachal carcinoma: contemporary surgical outcomes". The Journal of Urology. 178 (1): 74–78; discussion 78. doi:10.1016/j.juro.2007.03.022. ISSN 0022-5347. PMID 17499279.
- ↑ Gopalan, Anuradha; Sharp, David S.; Fine, Samson W.; Tickoo, Satish K.; Herr, Harry W.; Reuter, Victor E.; Olgac, Semra (2009-05-01). "Urachal carcinoma: a clinicopathologic analysis of 24 cases with outcome correlation". The American Journal of Surgical Pathology. 33 (5): 659–668. doi:10.1097/PAS.0b013e31819aa4ae. ISSN 1532-0979. PMC 4225778
. PMID 19252435. - ↑ Paner, Gladell P.; Barkan, Güliz A.; Mehta, Vikas; Sirintrapun, Sahussapont Joseph; Tsuzuki, Toyonori; Sebo, Thomas J.; Jimenez, Rafael E. (2012-03-01). "Urachal carcinomas of the nonglandular type: salient features and considerations in pathologic diagnosis". The American Journal of Surgical Pathology. 36 (3): 432–442. doi:10.1097/PAS.0b013e31823fe49c. ISSN 1532-0979. PMID 22301493.
- ↑ Siefker-Radtke, Arlene (2012-10-01). "Urachal adenocarcinoma: a clinician's guide for treatment". Seminars in Oncology. 39 (5): 619–624. doi:10.1053/j.seminoncol.2012.08.011. ISSN 1532-8708. PMID 23040259.
- ↑ Testa, Isabella; Verzoni, Elena; Grassi, Paolo; Colecchia, Maurizio; Panzone, Filomena; Procopio, Giuseppe (2014-10-27). "Response to targeted therapy in urachal adenocarcinoma". Rare Tumors. 6 (4): 5529. doi:10.4081/rt.2014.5529. ISSN 2036-3605. PMC 4274441
. PMID 25568747. - ↑ Goss, G.; Hirte, H.; Miller, W. H.; Lorimer, I. a. J.; Stewart, D.; Batist, G.; Parolin, D. a. E.; Hanna, P.; Stafford, S. (2005-03-01). "A phase I study of oral ZD 1839 given daily in patients with solid tumors: IND.122, a study of the Investigational New Drug Program of the National Cancer Institute of Canada Clinical Trials Group". Investigational New Drugs. 23 (2): 147–155. doi:10.1007/s10637-005-5860-y. ISSN 0167-6997. PMID 15744591.
- ↑ Kanamaru, Tomohiro; Iguchi, Taro; Yukimatsu, Nao; Shimizu, Yasuomi; Kohyama, Yuki; Tachibana, Hirokazu; Kato, Minoru; Yamasaki, Takeshi; Tamada, Satoshi (2015-03-01). "A Case of Metastatic Urachal Carcinoma Treated With FOLFIRI (irinotecan and 5-Fluorouracil/leucovorin) Plus Bevacizumab". Urology Case Reports. 3 (2): 9–11. doi:10.1016/j.eucr.2014.11.004. ISSN 2214-4420. PMC 4714276
. PMID 26793485. - ↑ Collazo-Lorduy, Ana; Castillo-Martin, Mireia; Wang, Li; Patel, Vaibhav; Iyer, Gopa; Jordan, Emmet; Al-Ahmadie, Hikmat; Leonard, Issa; Oh, William K. (2016-05-10). "Urachal Carcinoma Shares Genomic Alterations with Colorectal Carcinoma and May Respond to Epidermal Growth Factor Inhibition". European Urology. doi:10.1016/j.eururo.2016.04.037. ISSN 1873-7560. PMID 27178450.
External links
- Urachal cancer page from the National Institutes of Health
- UrachalCancer.com dedicated research fund in Canada
- UrachalCancer.org Urachal cancer network for professionals and patients
- Patients.uroweb.org Patient Information initiative of the European Association of Urology (EAU) including information on urachal cancer

