Transitional cell carcinoma
| Urothelial carcinoma | |
|---|---|
|
| |
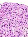
| Histopathology of urothelial carcinoma of the urinary bladder. Transurethral biopsy. H&E stain. | |
| Classification and external resources | |
| Specialty | Oncology |
| ICD-O | M8120/3-8130 |
| eMedicine | med/2003 radio/711 |
| MeSH | D002295 |
Urothelial carcinoma (UCC, also transitional cell carcinoma or TCC) is a type of cancer that typically occurs in the urinary system: the kidney, urinary bladder, and accessory organs. It is the most common type of bladder cancer and cancer of the ureter, urethra, and urachus. It is the second most common type of kidney cancer, but accounts for only five to 10 percent of all primary renal malignant tumors.
TCC arises from the transitional epithelium, a tissue lining the inner surface of these hollow organs.[1]
When the term "urothelial" is used, it specifically refers to a carcinoma of the urothelium, meaning a TCC of the urinary system.

Signs and symptoms
Signs and symptoms depend on the location and extent of the cancer: see for example Bladder cancer.
Causes
Urothelial carcinoma is a prototypical example of a malignancy arising from environmental carcinogenic influences. By far the most important cause is cigarette smoking, which contributes to approximately half of the disease burden. Chemical exposures such as those sustained by workers in the petroleum industry, the manufacture of paints and pigments (prototypically aniline dyes), and agrochemicals are known to predispose to urothelial cancer. Interestingly, risk is lowered by increased liquid consumption, presumably as a consequence of increased urine production and thus less "dwell time" on the urothelial surface. Conversely, risk is increased among long-haul truck drivers and others in whom long urine dwell-times are encountered. As with most epithelial cancers, physical irritation has been associated with increased risk of malignant transformation of the urothelium. Thus, urothelial carcinomas are more common in the context of chronic urinary stone disease, chronic catheterization (as in patients with paraplegia or multiple sclerosis), and chronic infections. Some particular examples are listed below:
- certain drugs such as cyclophosphamide via the metabolite acrolein, and phenacetin are known to predispose to TCC (the latter especially with respect to the upper urinary tract).[2]
- radiation exposure
- somatic mutation such as deletion of Chromosome 9p,9q,11p,17p,13q,14q and over expression of RAS (oncogene) and epidermal growth factor receptor (EGFR)
It is associated with phenacetin, aniline dyes, cyclophosphamide, smoking, and those who drink excessive alcohol.
Pathology
TCCs are often multifocal, with 30–40% of patients having more than one tumor at diagnosis. The pattern of growth of TCCs can be papillary, sessile (flat) or carcinoma-in-situ (CIS).
The most common site of TCC metastasis outside the pelvis is bone (35%); of these bone metastases, 40 percent are in the spine.[3]
Diagnosis

Transitional refers to the histological subtype of the cancerous cells as seen under a microscope.
Classification
The 1973 WHO grading system for TCCs (papilloma, G1, G2 or G3) is most commonly used despite being superseded by the 2004 WHO [4] grading (papillary neoplasm of low malignant potential [PNLMP], low grade, and high grade papillary carcinoma).
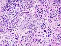
Histopathology of urothelial carcinoma of the urinary bladder, showing a nested pattern of invasion. Transurethral biopsy. Hematoxylin and eosin.
Histopathology of urothelial carcinoma of the urinary bladder.
Histopathology of urothelial carcinoma of the urinary bladder.
Micrograph of urethral urothelial cell carcinoma. H&E stain.
Treatment
Localized/early TCC of bladder
Transitional cell carcinoma (TCC) can be very difficult to treat. Treatment for localized stage TCC is surgical resection of the tumor, but recurrence is common. Some patients are given mitomycin (which is a chemotherapeutic drug) into the bladder either as a one-off dose in the immediate post operative period (within 24 hrs) or a few weeks after the surgery as a six dose regimen.
Localized/ early TCC can also be treated with infusions of BCG into the bladder. These are given weekly for either 6 weeks (induction course) or 3 weeks(maintenance / booster dose). Side effects include a small chance of developing systemic Tuberculosis (T.B.) or the patient becoming sensitized to the BCG causing severe intolerance and a possible reduction in bladder volume due to scarring.
In patients with evidence of early muscular invasion, radical curative surgery in the form of a cysto-prostatectomy usually with lymph node sampling can also be performed. In such patients, a bowel loop is often used to create either a "neo-bladder" or an "ileal conduit" which act as a place for the storage of urine before it is evacuated from the body either via the urethra or a urostomy respectively.
Advanced or metastatic TCC
As of 2000 Chemotherapy for advanced or metastatic TCC consists of the GC regimen (gemcitabine and cisplatin) or MVAC regimen (methotrexate, vinblastine, adriamycin and cisplatin).[5]
Prostate
TCC can also be associated with the prostate.[6][7]
See also
References
- ↑ "transitional cell carcinoma" at Dorland's Medical Dictionary
- ↑ Colin P, Koenig P, Ouzzane A, Berthon N, Villers A, Biserte J, Roupret M (November 2009). "Environmental factors involved in carcinogenesis of urothelial cell carcinomas of the upper urinary tract". BJU International. 104 (10): 1436–40. doi:10.1111/j.1464-410X.2009.08838.x. PMID 19689473.
- ↑ Punyavoravut V, Nelson SD (August 1999). "Diffuse bony metastasis from transitional cell carcinoma of urinary bladder: a case report and review of literature". Journal of the Medical Association of Thailand. 82 (8): 839–43. PMID 10511795.
- ↑ Sauter G, Algaba F, Amin MB, Busch C, Cheville J, Gasser T, Grignon D, Hofstaedter F, Lopez-Beltran A, Epstein JI. Noninvasive urothelial neoplasias: WHO classification of noninvasive papillary urothelial tumors. In World Health Organization classification of tumors. Pathology and genetics of tumors of the urinary system and male genital organs. Eble JN, Epstein JI, Sesterhenn I (eds): Lyon, IARCC Press, p. 110, 2004
- ↑ von der Maase, H; Hansen, SW; Roberts, JT; Dogliotti, L; Oliver, T; Moore, MJ; Bodrogi, I; Albers, P; Knuth, A; Lippert, CM; Kerbrat, P; Sanchez Rovira, P; Wersall, P; Cleall, SP; Roychowdhury, DF; Tomlin, I; Visseren-Grul, CM; Conte, PF (September 2000). "Gemcitabine and cisplatin versus methotrexate, vinblastine, doxorubicin, and cisplatin in advanced or metastatic bladder cancer: results of a large, randomized, multinational, multicenter, phase III study.". Journal of clinical oncology. 18 (17): 3068–77. PMID 11001674.
- ↑ Walsh DL, Chang SS (2009). "Dilemmas in the treatment of urothelial cancers of the prostate". Urologic Oncology. 27 (4): 352–7. doi:10.1016/j.urolonc.2007.12.010. PMID 18439852.
- ↑ Njinou Ngninkeu B, Lorge F, Moulin P, Jamart J, Van Cangh PJ (January 2003). "Transitional cell carcinoma involving the prostate: a clinicopathological retrospective study of 76 cases". The Journal of Urology. 169 (1): 149–52. doi:10.1097/01.ju.0000042810.43380.36. PMID 12478124.