Anaplastic thyroid cancer
| Anaplastic thyroid cancer | |
|---|---|
|
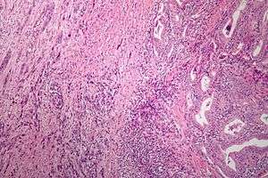
Micrograph of anaplastic thyroid carcinoma. H&E stain. | |
| Classification and external resources | |
| Specialty | oncology |
| ICD-10 | C73 |
| ICD-9-CM | 193 |
| MedlinePlus | 000352 |
| eMedicine | med/2687 |
| MeSH | D013964 |
Anaplastic thyroid cancer (ATC) is a form of thyroid cancer which has a very poor prognosis due to its aggressive behavior and resistance to cancer treatments.[1] Its anaplastic cells have poor differentiation, including dedifferentiation.
Presentation

Anaplastic tumors have a high mitotic rate and lymphovascular invasion.[2] They rapidly invade surrounding tissues (such as the trachea). The presence of regional lymphadenopathy in older patients in whom needle aspiration biopsy reveals characteristic vesicular appearance of the nuclei would support a diagnosis of anaplastic carcinoma.
It is always considered as stage IV.[3]

Prognosis
The overall 5-year survival rate of anaplastic thyroid cancer has been given as 7%[4] or 14%,[5] although the latter has been criticized as being overestimated.[5]
Treatment of anaplastic-type carcinoma is generally palliative in its intent for a disease that is rarely cured and almost always fatal, with worse prognosis associated with large tumours, distant metastases, acute obstructive symptoms, and leukocytosis. Death is attributable to upper airway obstruction and suffocation in half of patients, and to a combination of complications of local and distant disease, or therapy, or both in the remainder.
Anaplastic thyroid cancer is extremely aggressive; in most cases death occurs in less than 1 year as a result of aggressive local growth and compromise of vital structures in the neck. ATC in most series has a median survival of 4 to 5 months from the time of diagnosis, with rare long-term survivors.[6]
Treatment
Unlike its differentiated counterparts, anaplastic thyroid cancer is highly unlikely to be curable either by surgery or by any other treatment modality, and is in fact usually unresectable due to its high propensity for invading surrounding tissues.[7]
Palliative treatment consists of radiation therapy usually combined with chemotherapy.
However, with today's technology, new drugs, such as fosbretabulin (a type of combretastatin), bortezomib and TNF-Related Apoptosis Induced Ligand (TRAIL), are being introduced and trialed in clinical labs and human clinical studies. Based on encouraging Phase I and II clinical trial results, with fosbretabulin, a type of drug that selectively destroys tumor blood vessels, a large, multi-national clinical trial is being undertaken to determine whether the drug can extend the survival of patients with ATC. Recent studies in Italy have shown positive results against ATC, but more tests outside the lab are needed to confirm this before it can be used in chemotherapy. There have been some case studies where patients with aggressive thyroid cancer have survived outside the mean expected survival time.
Post-operative radiotherapy
The role of external beam radiotherapy (EBRT) in thyroid cancer remains controversial and there is no level I evidence to recommend its use in the setting of differentiated thyroid cancers such as papillary and follicular carcinomas. Anaplastic thyroid carcinomas, however, are histologically distinct from differentiated thyroid cancers and due to the highly aggressive nature of ATC aggressive postoperative radiation and chemotherapy are typically recommended.
The National Comprehensive Cancer Network Clinical Practice Guidelines currently recommend that postoperative radiation and chemotherapy be strongly considered. No published randomised controlled trials have examined the addition of EBRT to standard treatment, namely surgery. Radioactive iodine is typically ineffective in the management of ATC as it is not an iodine-avid cancer.[8]
Imbalances in age, sex, completeness of surgical excision, histological type and stage, between patients receiving and not receiving EBRT, confound retrospective studies. Variability also exists between treatment and non-treatment groups in the use of radio-iodine and post-treatment thyroid stimulating hormone (TSH) suppression and treatment techniques between and within retrospective studies.
Some recent studies have indicated that EBRT may be promising, though the number of patients studies has been small.[9]
Clinical trials for investigational treatments are often considered by healthcare professionals and patients as first-line treatment.
Adjuvant therapy
In the absence of extracervical or unresectable disease, surgical excision should be followed by adjuvant radiotherapy. In the 18–24% of patients whose tumour seems both confined to the neck and grossly resectable, complete surgical resection followed by adjuvant radiotherapy and chemotherapy could yield a 75–80% survival at 2 years.
There are a number of clinical trials for anaplastic thyroid carcinoma underway or being planned.[10]
Notable patients
- William Rehnquist (1924-2005), Chief Justice of the United States (1986-2005)
References
- ↑ Liu AH, Juan LY, Yang AH, Chen HS, Lin HD (2006). "Anaplastic thyroid cancer with uncommon long-term survival". J Chin Med Assoc. 69 (10): 489–91. doi:10.1016/S1726-4901(09)70314-4. PMID 17098674.
- ↑ Hu MI, Vassilopoulou-Sellin R, Lustig R, Lamont JP. "Thyroid and Parathyroid Cancers" in Pazdur R, Wagman LD, Camphausen KA, Hoskins WJ (Eds) Cancer Management: A Multidisciplinary Approach. 11 ed. 2008.
- ↑ Harrison's Principles of Internal Medicine, 18th edition, p.2934
- ↑ cancer.org > Thyroid Cancer By the American Cancer Society. In turn citing: AJCC Cancer Staging Manual (7th ed).
- 1 2 Numbers from National Cancer Database in the US, from Page 10 in: F. Grünwald; Biersack, H. J.; Grünwald, F. (2005). Thyroid cancer. Berlin: Springer. ISBN 3-540-22309-6. (Note:Book also states that the 14% 10-year survival for anaplastic thyroid cancer was overestimated)
- ↑ Kumar V, Abbas AK, Fausto N, and Mitchel RN, "Robbins basic Pathology", Saunders, 8th ed., 2007.
- ↑ Haigh PI (2000). "Anaplastic thyroid carcinoma". Curr Treat Options Oncol. 1 (4): 353–7. doi:10.1007/s11864-000-0051-8. PMID 12057160.
- ↑ Ford D, Giridharan S, McConkey C, et al. (2003). "External beam radiotherapy in the management of differentiated thyroid cancer". Clin Oncol (R Coll Radiol). 15 (6): 337–41. doi:10.1016/S0936-6555(03)00162-6. PMID 14524487.
- ↑ Meadows KM, Amdur RJ, Morris CG, Villaret DB, Mazzaferri EL, Mendenhall WM (2006). "External beam radiotherapy for differentiated thyroid cancer". Am J Otolaryngol. 27 (1): 24–8. doi:10.1016/j.amjoto.2005.05.017. PMID 16360819.
- ↑ "American Thyroid Association - Thyroid Clinical Trials". Archived from the original on 12 December 2007. Retrieved 2007-12-21.
