Struma ovarii
| Struma ovarii | |
|---|---|
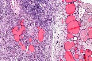
![]() | |
| Micrograph of a struma ovarii. Characteristic thyroid follicles are seen on the right, and ovarian stroma on the left. H&E stain. | |
| Classification and external resources | |
| DiseasesDB | 33030 |
| eMedicine | article/256937 |
| MeSH | D013330 |
A struma ovarii (literally: goitre of the ovary) is a rare form of monodermal teratoma that contains mostly thyroid tissue, which may cause hyperthyroidism.[1]
Despite its name, struma ovarii is not restricted to the ovary.
The vast majority of struma ovarii are benign tumors; however, malignant tumors of this type is found in a small percentage of cases.[2]
Radiologic Findings
The ultrasound (US) features of struma ovarii are nonspecific, but a heterogeneous, predominantly solid mass may be seen. US demonstrates a complex appearance with multiple cystic and solid areas, findings that reflect the gross pathologic appearance of the tumor.
Magnetic resonance imaging findings may be more characteristic: The cystic spaces demonstrate both high and low signal intensity on T1- and T2-weighted images. Some of the cystic spaces may demonstrate low signal intensity on both T1- and T2-weighted images due to the thick, gelatinous colloid of the struma. No fat is evident in these lesions.[3]
See also
Additional images
Low mag.
High mag.
References
- ↑ Kim D, Cho HC, Park JW, et al. (March 2009). "Struma ovarii and peritoneal strumosis with thyrotoxicosis". Thyroid. 19 (3): 305–8. doi:10.1089/thy.2008.0307. PMID 19265502.
- ↑ Struma Ovarii at eMedicine
- ↑ Outwater EK, Siegelman ES, Hunt JL, et al. (Mar–Apr 2001). "Ovarian teratomas: tumor types and imaging characteristics.". Radiographics. 21 (2): 475–90. doi:10.1148/radiographics.21.2.g01mr09475. PMID 11259710.
