Basilar skull fracture
| Basilar skull fracture | |
|---|---|
|
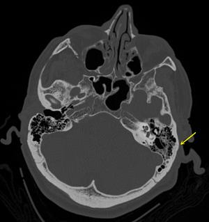
A subtle temporal bone fracture as seen on CT in a person with a severe head injury | |
| Classification and external resources | |
| Specialty | emergency medicine |
| ICD-10 | S02.1 |
| ICD-9-CM | 801.1 |
| eMedicine | med/2894 |
A basilar skull fracture (or basal skull fracture) is a fracture of the base of the skull, typically involving the temporal bone, occipital bone, sphenoid bone, and/or ethmoid bone.
This type of fracture is rare, occurring as the only fracture in just 4% of severe head injury patients.[1][2]
Such fractures can cause tears in the membranes surrounding the brain, or meninges, with resultant leakage of the cerebrospinal fluid (CSF). The leaking fluid may accumulate in the middle ear space, and dribble out through a perforated eardrum (CSF otorrhea) or into the nasopharynx via the eustachian tube, causing a salty taste. CSF may also drip from the nose (CSF rhinorrhea) in fractures of the anterior skull base, yielding a halo sign. These signs are characteristic for basilar skull fractures.[3]
Signs and symptoms

- Battle's sign -- bruising of the mastoid process of the temporal bone.
- Raccoon eyes -- bruising around the eyes, i.e. "black eyes"
- Cerebrospinal fluid rhinorrhea
- Cranial nerve palsy
- Bleeding (sometimes profuse) from the nose and ears
- Hemotympanum
- Conductive or perceptive deafness, nystagmus, vomitus
- In 1-10% of patients, optic nerve entrapment occurs.[3] The optic nerve is compressed by the broken skull bones, causing irregularities in vision.
- Serious cases usually result in death
Pathophysiology

Basilar skull fractures include breaks in the posterior skull base or anterior skull base. The former involve the occipital bone, temporal bone, and portions of the sphenoid bone; the latter, superior portions of the sphenoid and ethmoid bones. The temporal bone fracture is encountered in 75% of all basilar skull fractures and may be longitudinal, transverse or mixed, depending on the course of the fracture line in relation to the longitudinal axis of the pyramid.[4]
Bones may be broken around the foramen magnum, the hole in the base of the skull through which the spinal cord exits and becomes the brain stem, creating the risk that blood vessels and nerves exiting the hole may be damaged.[5]
Due to the proximity of the cranial nerves, injury to those nerves may occur.[3] This can cause palsy of the facial nerve or oculomotor nerve or hearing loss due to damage of cranial nerve VIII.[3]
Management
Evidence does not support the use of prophylactic antibiotics regardless of the presence of a cerebral spinal fluid leak.[6]
Prognosis
Non-displaced fractures usually heal without intervention. Patients with basilar skull fractures are especially likely to get meningitis.[7] Unfortunately, the efficacy of prophylactic antibiotics in these cases is uncertain.[8]
Temporal bone fractures
Acute injury to the internal carotid artery (carotid dissection, occlusion, pseudoaneurysm formation) may be asymptomatic or result in life-threatening bleeding. They are almost exclusively observed when the carotid canal is fractured, although only a minority of carotid canal fractures result in vascular injury. Involvement of the petrous segment of the carotid canal is associated with a relatively high incidence of carotid injury.[9]
Society and culture
Basilar skull fractures are a common cause of death in many motor racing accidents. Drivers who have died as a result of basilar skull fractures include Formula One driver Roland Ratzenberger; IndyCar drivers Bill Vukovich Sr., Tony Bettenhausen Sr., Floyd Roberts, and Scott Brayton; NASCAR drivers Dale Earnhardt Sr., Adam Petty, Tony Roper, Kenny Irwin Jr., Neil Bonnett, John Nemechek, J.D. McDuffie, and Richie Evans; CART drivers Jovy Marcelo, Greg Moore, and Gonzalo Rodriguez; and ARCA drivers Blaise Alexander and Slick Johnson.
To prevent this injury, all major motor sports sanctioning bodies now mandate the use of head and neck restraints, such as the HANS device. To this day the HANS device has multiple times demonstrated its life saving abilities. Examples of drivers surviving thanks to the HANS device are Jeff Gordon at the 2006 Pocono 500, Robert Kubica at the 2007 Canadian Grand Prix, and Max Verstappen at the 2015 Monaco Grand Prix.
References
- ↑ Graham, David I.; Gennarelli, Thomas A. (2000). "Pathology of Brain Damage After Head Injury". In Cooper, Paul Richard; Golfinos, John. Head Injury. McGraw-Hill. pp. 133–54. ISBN 978-0-8385-3687-2.
- ↑ "Overview of Adult Traumatic Brain Injuries" (PDF). Orlando Regional Healthcare, Education and Development. 2004. Archived from the original (PDF) on February 27, 2008.
- 1 2 3 4 Pediatric Head Trauma at eMedicine
- ↑ Skull Fracture at eMedicine
- ↑ "About Brain Injury". Brain Injury Association of America. October 12, 2012.
- ↑ Ratilal, Bernardo O; Costa, João; Pappamikail, Lia; Sampaio, Cristina; Ratilal, Bernardo O (2015). "Antibiotic prophylaxis for preventing meningitis in patients with basilar skull fractures". The Cochrane Database of Systematic Reviews. 4: CD004884. doi:10.1002/14651858.CD004884.pub4. PMID 25918919.
- ↑ Dagi, T.Forcht; Meyer, Frederick B.; Poletti, Charles A. (1983). "The incidence and prevention of meningitis after basilar skull fracture". The American Journal of Emergency Medicine. 1 (3): 295–8. doi:10.1016/0735-6757(83)90109-2. PMID 6680635.
- ↑ Butler, John. "Antibiotics in base of skull fractures". BestBets. Retrieved 2014-03-22.
- ↑ Resnick, Daniel K.; Subach, Brian R.; Marion, Donald W. (1997). "The Significance of Carotid Canal Involvement in Basilar Cranial Fracture". Neurosurgery. 40 (6): 1177–81. doi:10.1097/00006123-199706000-00012. PMID 9179890.
