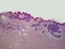
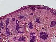
Basaloid follicular hamartoma

A basaloid follicular hamartoma is a cutaneous condition characterized as distinctive benign adnexal tumor that has several described variants.[1]:675

Trichoblastic hamartoma
Basaloid hamartoma
Basaloid adnexoblastic hamartoma

See also

References

  1. James, William D.; Berger, Timothy G.; et al. (2006). Andrews' Diseases of the Skin: Clinical Dermatology. Saunders Elsevier. ISBN 0-7216-2921-0.


This article is issued from Wikipedia - version of the 5/26/2016. The text is available under the Creative Commons Attribution/Share Alike but additional terms may apply for the media files.