Eccrine carcinoma

Eccrine carcinoma
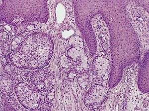
Eccrine carcinoma, alveolar type
Classification and external resources
eMedicine article/1101796

Eccrine carcinoma (also known as a syringoid carcinoma) is a rare cutaneous condition characterized by a plaque or nodule on the scalp, trunk, or extremities.[1]:669

See also

References

  1. James, William D.; Berger, Timothy G.; et al. (2006). Andrews' Diseases of the Skin: Clinical Dermatology. Saunders Elsevier. ISBN 0-7216-2921-0.


This article is issued from Wikipedia - version of the 5/26/2016. The text is available under the Creative Commons Attribution/Share Alike but additional terms may apply for the media files.