Dilated pore

Dilated pore of Winer

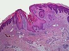
A dilated pore, also known as a dilated pore of Winer, is a cutaneous condition characterized by a solitary, prominent, open comedo on the face or upper trunk of an individual.[1]:675 They can occur on either young or elderly individuals. They are benign, however they can be considered unsightly. The only curative method of removal is a punch excision, usually 1–3 mm. Lasers and other superficial means of removal have proven to be ineffective.

See also

References

  1. James, William D.; Berger, Timothy G.; et al. (2006). Andrews' Diseases of the Skin: Clinical Dermatology. Saunders Elsevier. ISBN 0-7216-2921-0.

Winer LH. The dilated pore, a tricho-epithelioma. J Invest Dermatol. 1954 Sep. 23(3):181-8.


This article is issued from Wikipedia - version of the 8/19/2016. The text is available under the Creative Commons Attribution/Share Alike but additional terms may apply for the media files.