Papillary hidradenoma
| Papillary hidradenoma | |
|---|---|
![]() | |
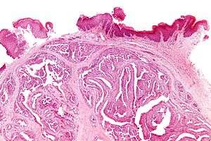
| Micrograph of a papillary hidradenoma with the characteristic papillary structures and epithelium with apocrine snouts. A fragmented overlying epidermis is seen at the top of the image. H&E stain. | |
| Classification and external resources | |
| ICD-O | 8405/0 |
A Papillary hidradenoma, also hidradenoma papilliferum, is a sharply circumscribed nodule or benign tumor of the apocrine gland usually found on the labia majora or the interlabial folds. It is benign tissue (not cancerous) but is often confused clinically with carcinoma of the vulva because of its tendency to ulcerate. [1]
See also
Additional images
Intermed. mag.
Very high mag.
References
- ↑ Robbins and Cotran Pathologic Basis of Disease, 7th edition. The Female Genital Tract chapter 22, pg. 1067.
This article is issued from Wikipedia - version of the 9/18/2016. The text is available under the Creative Commons Attribution/Share Alike but additional terms may apply for the media files.
