Bunion
| Bunion | |
|---|---|
| Synonyms | Hallux abducto valgus |
|
| |
| Classification and external resources | |
| Specialty | Orthopedics |
| ICD-10 | M20.1 |
| ICD-9-CM | 727.1 |
| DiseasesDB | 5604 |
| MedlinePlus | 001231 |
| eMedicine | orthoped/467 |
| Patient UK | Bunion |
| MeSH | D006215 |
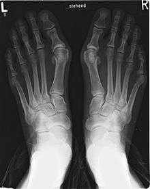
A bunion is a deformity of the joint connecting the big toe to the foot. It is characterized by medial deviation of the first metatarsal bone and lateral deviation of the hallux (big toe), often erroneously described as an enlargement of bone or tissue around the joint at the bottom of the big toe (known as the metatarsophalangeal joint).
There is disagreement among medical professionals about the cause of bunions. Some see them as primarily caused by the long-term use of shoes, particularly tight-fitting shoes with pointed toes.[1] Others believe that the problem stems from genetic factors that are exacerbated by shoe use.[2] Bunions occur when pressure is applied to the side of the big toe (hallux) forcing it inwards towards, and sometimes under or over, the other toes (angulation). As pressure is applied, the tissues surrounding the joint may become swollen and tender. In a survey of people from cultures that do not wear shoes, no cases of bunions were found, lending credence to the hypothesis that bunions are caused by ill-fitting shoes.[3]
The bump itself is partly due to the swollen bursal sac or an osseous (bony) anomaly on the metatarsophalangeal joint. The larger part of the bump is a normal part of the head of the first metatarsal bone that has tilted sideways to stick out at its distal (far) end.
Signs and symptoms

The symptoms of bunions include irritated skin around the bunion, pain when walking, joint redness and pain, and possible shift of the big toe toward the other toes. Blisters may form more easily around the site of the bunion as well.
Having bunions can also make it difficult to find shoes that fit properly and bunions may force a person to have to buy a larger size shoe to accommodate the width the bunion creates. When bunion deformity becomes severe enough, the foot can hurt in different places even without the constriction of shoes because it then becomes a mechanical function problem of the forefoot.
Pathophysiology

Bunions are sometimes genetic and consist of certain tendons, ligaments, and supportive structures of the first metatarsal that are positioned differently. This bio-mechanical anomaly may be caused by a variety of conditions intrinsic to the structure of the foot – such as flat feet, excessive flexibility of ligaments, abnormal bone structure, and certain neurological conditions. These factors are often considered genetic. Although some experts are convinced that poor-fitting footwear is the main cause of bunion formation,[4] other sources concede that footwear only exacerbates the problem caused by the original genetic structure.[2]
Bunions are commonly associated with a deviated position of the big toe toward the second toe, and the deviation in the angle between the first and second metatarsal bones of the foot. The small sesamoid bones found beneath the first metatarsal (which help the flexor tendon bend the big toe downwards) may also become deviated over time as the first metatarsal bone drifts away from its normal position. Arthritis of the big toe joint, diminished and/or altered range of motion, and discomfort with pressure applied to the bump or with motion of the joint, may all accompany bunion development. Atop of the first metatarsal head either medially or dorso-medially, there can also arise a bursa that when inflamed (bursitis), can be the most painful aspect of the process.
Treatment
Bunions may be treated conservatively with changes in footwear, the use of orthotics (accommodative padding and shielding), rest, ice and medications. These sorts of treatments address symptoms more than they correct the actual deformity. Surgery, by an orthopedic surgeon or a podiatric surgeon, may be necessary if discomfort is severe enough or when correction of the deformity is desired.
Orthotics
Orthotics are splints or regulators while conservative measures include various footwear like gelled toe spacers, bunion / toes separators, bunion regulators, bunion splints and bunion cushions. There are a variety of available orthotics (or orthoses) including over-the-counter or off-the-shelf commercial products and as necessary, custom-molded orthotics that are generally prescribed medical devices.
Surgery


Procedures are designed and chosen to correct a variety of pathologies that may be associated with the bunion. For instance, procedures may address some combination of:
- removing the abnormal bony enlargement of the first metatarsal,
- realigning the first metatarsal bone relative to the adjacent metatarsal bone,
- straightening the great toe relative to the first metatarsal and adjacent toes,
- realigning the cartilagenous surfaces of the great toe joint,
- addressing arthritic changes associated with the great toe joint,
- repositioning the sesamoid bones beneath the first metatarsal bone,
- shortening, lengthening, raising, or lowering the first metatarsal bone, and
- correcting any abnormal bowing or misalignment within the great toe.
- Connecting two parallel long bones side by side by Syndesmosis Procedure
At present there are many different bunion surgeries for different effects. The age, health, lifestyle and activity level of the patient may also play a role in the choice of procedure.
Traditional bunion surgery can be performed under local, spinal or general anesthetic. A patient can expect a 6- to 8-week recovery period during which crutches are usually required for aid in mobility. An orthopedic cast is much less common today as newer, more stable procedures and better forms of fixation (stabilizing the bone with screws and other hardware) are used. Hardware may even include absorbable pins that perform their function and are then broken down by the body over the course of months. After recovery long term stiffness or limited range of motion may occur in some patients. Visible or limited scarring may also occur for patients.
See also
- Foot
- Podiatry
- Tailor's bunion (bunionette)
- Synovial bursa
References
- ↑ Howell, Phd, Dr Daniel (2010). The Barefoot Book. Hunter House.
- 1 2 "Bunions (Hallux Abducto Valgus)". Footphysicians.com. 2009-12-18. Retrieved 2011-03-20.
- ↑ Shulman, Samuel B. (1949). "Survey in China and India of Feet That Have Never Worn Shoes". The Journal of the National Association of Chiropodists. 49: 26–30. Retrieved 27 September 2012.
- ↑ "Bunions - Information About Bunion Deformities". Orthopedics.about.com. 2011-01-24. Retrieved 2011-03-20.
External links
| Wikimedia Commons has media related to Bunion. |
-
The dictionary definition of bunion at Wiktionary - Textbook of Hallux Valgus and Forefoot Surgery, complete text online in PDF files