Hallux varus
| Hallux varus | |
|---|---|
![]() | |
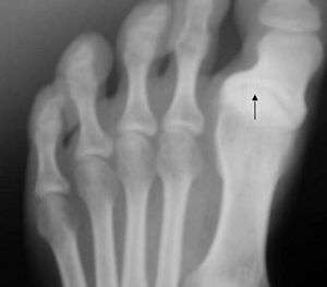
| Radiography of the left foot of a young male showing progressive Hallux varus | |
| Classification and external resources | |
| Specialty | medical genetics |
| ICD-10 | M20.3, Q66.3 |
| ICD-9-CM | 735.1, 755.66 |
| MeSH | D050488 |
Hallux varus is a deformity of the great toe joint where the hallux is deviated medially (towards the midline of the body) away from the first metatarsal bone. The hallux usually moves in the transverse plane. Unlike hallux valgus, hallux varus is uncommon in the West but it is common in cultures where the population remains unshod.
This article is issued from Wikipedia - version of the 1/16/2015. The text is available under the Creative Commons Attribution/Share Alike but additional terms may apply for the media files.
