Bone fracture

"Broken bones" redirects here. For other uses, see Broken Bones.
Bone fracture

Internal and external views of an arm with a compound fracture, both before and after surgery.
Classification and external resources
Specialty Orthopedics
ICD-10 Sx2 (where x=0–9 depending on the location of the fracture)
ICD-9-CM 829
DiseasesDB 4939
MedlinePlus 000001
MeSH D050723

A bone fracture (sometimes abbreviated FRX or Fx, Fx, or #) is a medical condition in which there is a damage in the continuity of the bone. A bone fracture can be the result of high force impact or stress, or a minimal trauma injury as a result of certain medical conditions that weaken the bones, such as osteoporosis, bone cancer, or osteogenesis imperfecta, where the fracture is then properly termed a pathologic fracture.[1]

Although broken bone and bone break are common colloquialisms for a bone fracture, break is not a formal orthopedic term.

Signs and symptoms

Although bone tissue itself contains no nociceptors, bone fracture is painful for several reasons:[2]

Damage to adjacent structures such as nerves or vessels, spinal cord and nerve roots (for spine fractures), or cranial contents (for skull fractures) can cause other specific signs and symptoms.

Pathophysiology

Main article: Bone healing

The natural process of healing a fracture starts when the injured bone and surrounding tissues bleed, forming a fracture hematoma. The blood coagulates to form a blood clot situated between the broken fragments. Within a few days, blood vessels grow into the jelly-like matrix of the blood clot. The new blood vessels bring phagocytes to the area, which gradually remove the non-viable material. The blood vessels also bring fibroblasts in the walls of the vessels and these multiply and produce collagen fibres. In this way the blood clot is replaced by a matrix of collagen. Collagen's rubbery consistency allows bone fragments to move only a small amount unless severe or persistent force is applied.

At this stage, some of the fibroblasts begin to lay down bone matrix in the form of collagen monomers. These monomers spontaneously assemble to form the bone matrix, for which bone crystals (calcium hydroxyapatite) are deposited in amongst, in the form of insoluble crystals. This mineralization of the collagen matrix stiffens it and transforms it into bone. In fact, bone is a mineralized collagen matrix; if the mineral is dissolved out of bone, it becomes rubbery. Healing bone callus is on average sufficiently mineralized to show up on X-ray within 6 weeks in adults and less in children. This initial "woven" bone does not have the strong mechanical properties of mature bone. By a process of remodeling, the woven bone is replaced by mature "lamellar" bone. The whole process can take up to 18 months, but in adults the strength of the healing bone is usually 80% of normal by 3 months after the injury.

Several factors can help or hinder the bone healing process. For example, any form of nicotine hinders the process of bone healing,[3] and adequate nutrition (including calcium intake) will help the bone healing process. Weight-bearing stress on bone, after the bone has healed sufficiently to bear the weight, also builds bone strength. Although there are theoretical concerns about NSAIDs slowing the rate of healing, there is not enough evidence to warrant withholding the use of this type analgesic in simple fractures.[4]

Effects of smoking

Smokers generally have lower bone density than non-smokers, so have a much higher risk of fractures. There is also evidence that smoking delays bone healing. Some research indicates, for example, that it delays tibial shaft fracture healing from a median healing time of 136 to 269 days.[5] This means that the fracture healing time was approximately doubled in smokers. Although some other studies show less extreme effects, it is still shown that smoking delays fracture healing.

Diagnosis

Radiography to identify possible fractures after a knee injury.

A bone fracture may be diagnosed based on the history given and the physical examination performed. Radiographic imaging is often performed, to confirm the diagnosis. Under certain circumstances, radiographic examination of the nearby joints is indicated in order to exclude dislocations and fracture-dislocations. In situations where projectional radiography alone is insufficient, Computed Tomography (CT) or Magnetic Resonance Imaging (MRI) may be indicated.

Classification

"Compound Fracture" redirects here. For the 2013 horror film, see Compound Fracture (film).
Compare healthy bone with different types of fractures:
   (a) closed fracture
   (b) open fracture
   (c) transverse fracture
   (d) spiral fracture
   (e) comminuted fracture
   (f) impacted fracture
   (g) greenstick fracture
   (h) oblique fracture
Open ankle fracture with luxation
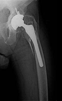
Periprosthetic fracture of left femur

In orthopedic medicine, fractures are classified in various ways. Historically they are named after the doctor who first described the fracture conditions. However, there are more systematic classifications in place currently.

Mechanism

Soft-tissue involvement

Displacement

Fracture pattern

Fragments

Anatomical location

An anatomical classification may begin with specifying the involved body part, such as the head or arm, followed with more specific localization. Fractures that have additional definition criteria than merely localization can often be classified as subtypes of fractures that merely are, such as a Holstein-Lewis fracture being a subtype of a humerus fracture. However, most typical examples in an orthopedic classification given in previous section cannot appropriately be classified into any specific part of an anatomical classification, as they may apply to multiple anatomical fracture sites.

OTA/AO classification

The Orthopaedic Trauma Association Committee for Coding and Classification published its classification system[12] in 1996, adopting a similar system to the 1987 AO Foundation system.[13] In 2007, they extended their system,[14] unifying the 2 systems regarding wrist, hand, foot and ankle fractures.

Classifications named after people

Treatment

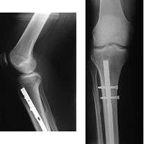
X-ray showing the proximal portion of a fractured tibia with an intramedullary nail.
Proximal femur nail with locking and stabilisation screws for treatment of femur fractures of left thigh.
The surgical treatment of mandibular angle fracture. Fixation of the bone fragments by the plates. The principles of osteosynthesis are stability (immobility of the fragments that creates the conditions for bones coalescence) and functionality.

Treatment of bone fractures are broadly classified as surgical or conservative, the latter basically referring to any non-surgical procedure, such as pain management, immobilization or other non-surgical stabilization. A similar classification is open versus closed treatment, in which open treatment refers to any treatment in which the fracture site is surgically opened, regardless of whether the fracture itself is an open or closed fracture.

Pain management

In arm fractures in children, ibuprofen has been found to be as effective as a combination of acetaminophen and codeine.[20]

Immobilization

Since bone healing is a natural process which will most often occur, fracture treatment aims to ensure the best possible function of the injured part after healing. Bone fractures are typically treated by restoring the fractured pieces of bone to their natural positions (if necessary), and maintaining those positions while the bone heals. Often, aligning the bone, called reduction, in good position and verifying the improved alignment with an X-ray is all that is needed. This process is extremely painful without anesthesia, about as painful as breaking the bone itself. To this end, a fractured limb is usually immobilized with a plaster or fiberglass cast or splint which holds the bones in position and immobilizes the joints above and below the fracture. When the initial post-fracture edema or swelling goes down, the fracture may be placed in a removable brace or orthosis. If being treated with surgery, surgical nails, screws, plates and wires are used to hold the fractured bone together more directly. Alternatively, fractured bones may be treated by the Ilizarov method which is a form of external fixator.

Occasionally smaller bones, such as phalanges of the toes and fingers, may be treated without the cast, by buddy wrapping them, which serves a similar function to making a cast. By allowing only limited movement, fixation helps preserve anatomical alignment while enabling callus formation, towards the target of achieving union.

Splinting results in the same outcome as casting in children who have a distal radius fracture with little shifting.[21]

Surgery

Surgical methods of treating fractures have their own risks and benefits, but usually surgery is done only if conservative treatment has failed, is very likely to fail, or likely to result in a poor functional outcome. With some fractures such as hip fractures (usually caused by osteoporosis), surgery is offered routinely because non-operative treatment results in prolonged immobilisation, which commonly results in complications including chest infections, pressure sores, deconditioning, deep vein thrombosis (DVT) and pulmonary embolism, which are more dangerous than surgery. When a joint surface is damaged by a fracture, surgery is also commonly recommended to make an accurate anatomical reduction and restore the smoothness of the joint.

Infection is especially dangerous in bones, due to the recrudescent nature of bone infections. Bone tissue is predominantly extracellular matrix, rather than living cells, and the few blood vessels needed to support this low metabolism are only able to bring a limited number of immune cells to an injury to fight infection. For this reason, open fractures and osteotomies call for very careful antiseptic procedures and prophylactic antibiotics.

Occasionally bone grafting is used to treat a fracture.

Sometimes bones are reinforced with metal. These implants must be designed and installed with care. Stress shielding occurs when plates or screws carry too large of a portion of the bone's load, causing atrophy. This problem is reduced, but not eliminated, by the use of low-modulus materials, including titanium and its alloys. The heat generated by the friction of installing hardware can easily accumulate and damage bone tissue, reducing the strength of the connections. If dissimilar metals are installed in contact with one another (i.e., a titanium plate with cobalt-chromium alloy or stainless steel screws), galvanic corrosion will result. The metal ions produced can damage the bone locally and may cause systemic effects as well.

Electrical bone growth stimulation or osteostimulation has been attempted to speed or improve bone healing. Results however do not support its effectiveness.[22]

Complications

An old fracture with nonunion of the fracture fragments.

Some fractures can lead to serious complications including a condition known as compartment syndrome. If not treated, compartment syndrome can eventually require amputation of the affected limb. Other complications may include non-union, where the fractured bone fails to heal or mal-union, where the fractured bone heals in a deformed manner.

Complications of fractures can be classified into three broad groups depending upon their time of occurrence. These are as follows –

  1. Immediate complications – occurs at the time of the fracture.
  2. Early complications – occurring in the initial few days after the fracture.
  3. Late complications – occurring a long time after the fracture.


Immediate complications Early complications Late complications
Systemic
  • Hypovolaemic shock
Systemic
  • Hypovolaemic shock
  • ARDS – Adult respiratory distress syndrome
  • Fat embolism syndrome
  • Deep vein thrombosis
  • Pulmonary syndrome
  • Aseptic traumatic fever
  • Septicemia (in open fracture )
  • Crush syndrome
Imperfect union of the fracture
  • Delayed union
  • Non union
  • Mal union
  • Cross union
Local
  • Injury to major vessels
  • Injury to muscles and tendons
  • Injury to joints
  • Injury to viscera
Local
  • Infection
  • Compartment syndrome
Others
  • Avascular necrosis
  • Shortening
  • Joint stiffness
  • Sudeck's dystrophy
  • Osteomyelitis
  • Ischaemic contracture
  • Myositis ossificans
  • Osteoarthritis

Children

Main article: Child bone fracture

In children, whose bones are still developing, there are risks of either a growth plate injury or a greenstick fracture.

See also

References

  1. Marshall, S.T. & Browner, B.D. (2012) [1st. Pub. 1956]. "Chapter 20: Emergency care of musculoskeletal injuries". In Townsend, Courtney M. Jr. Sabiston textbook of surgery: the biological basis of modern surgical practice. Elsevier. pp. 480–520. ISBN 978-1-4377-1560-6.
  2. MedicineNet – Fracture Medical Author: Benjamin C. Wedro, MD, FAAEM.
  3. Sloan A, Hussain I, Maqsood M, Eremin O, El-Sheemy M (2010). "The effects of smoking on fracture healing". Surgeon. 8 (2): 111–6. doi:10.1016/j.surge.2009.10.014. PMID 20303894.
  4. "BestBets: Do non-steroidal anti-inflammatory drugs cause a delay in fracture healing?". bestbets.org.
  5. "Do NSAIDs inhibit bone healing?". Medicine.ox.ac.uk. Retrieved 2011-12-25.
  6. Essex Lopresti fracture at Wheeless' Textbook of Orthopaedics online
  7. Bennett's fracture-subluxation at GPnotebook
  8. 1 2 Tim B Hunter; Leonard F Peltier; Pamela J Lund (2000). "Musculoskeletal Eponyms: Who Are Those Guys?" (PDF). RadioGraphics. 20 (3): 819–36. doi:10.1148/radiographics.20.3.g00ma20819. PMID 10835130. Retrieved 2009-11-13.
  9. Mellick LB, Milker L, Egsieker E (October 1999). "Childhood accidental spiral tibial (CAST) fractures". Pediatr Emerg Care. 15 (5): 307–9. doi:10.1097/00006565-199910000-00001. PMID 10532655.
  10. Perry, CR; Rice S; Rao A; Burdge R. (Oct 1983). "Posterior fracture-dislocation of the distal part of the fibula. Mechanism and staging of injury". J Bone Joint Surg Am. 65 (8): 1149–57. PMID 6630259. Retrieved 2009-10-10.
  11. TheFreeDictionary > Lisfranc's fracture Citing: Mosby's Medical Dictionary, 8th edition. Copyright 2009
  12. Orthopaedic Trauma Association Committee for Coding and Classification (1996). "Fracture and dislocation compendium". J Orthop Trauma. 10 (Suppl 1:v–ix): 1–154. PMID 8814583.
  13. Müller ME, Nazarian S, Koch P (1987). Classification AO des fractures. Tome I. Les os longs. Berlin: Springer-Verlag.
  14. Orthopaedic Trauma Association (2007). "Fracture and Dislocation Classification". J Orthop Trauma. 21 (Suppl): S1–S133. PMID 18277234.
  15. Denis classification of spinal fractures at GPnotebook
  16. Rüedi, etc. all; Thomas P. Rüedi; Richard E. Buckley; Christopher G. Moran (2007). AO principles of fracture management, Volume 1. Thieme. p. Page 96. ISBN 3-13-117442-0.
  17. "Fractures of the Acetabulum". wheelessonline.com.
  18. Mourad L (1997). "Neer classification of fractures of the proximal humerus". Orthop Nurs. 16 (2): 76. PMID 9155417.
  19. "eMedicine – Proximal Humerus Fractures: Article by Mark Frankle, MD". Retrieved 2007-12-15.
  20. Drendel AL, Gorelick MH, Weisman SJ, Lyon R, Brousseau DC, Kim MK (October 2009). "A randomized clinical trial of ibuprofen versus acetaminophen with codeine for acute pediatric arm fracture pain". Ann Emerg Med. 54 (4): 553–60. doi:10.1016/j.annemergmed.2009.06.005. PMID 19692147.
  21. Boutis K, Willan A, Babyn P, Goeree R, Howard A (October 2010). "Cast versus splint in children with minimally angulated fractures of the distal radius: a randomized controlled trial". CMAJ. 182 (14): 1507–12. doi:10.1503/cmaj.100119. PMC 2950182Freely accessible. PMID 20823169.
  22. Mollon B, da Silva V, Busse JW, Einhorn TA, Bhandari M (November 2008). "Electrical stimulation for long-bone fracture-healing: a meta-analysis of randomized controlled trials". J Bone Joint Surg Am. 90 (11): 2322–30. doi:10.2106/JBJS.H.00111. PMID 18978400.

External links

Wikimedia Commons has media related to Fractures.
This article is issued from Wikipedia - version of the 10/3/2016. The text is available under the Creative Commons Attribution/Share Alike but additional terms may apply for the media files.