Rokitansky–Aschoff sinuses

Rokitansky–Aschoff sinuses
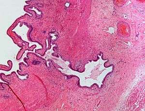
Micrograph showing a Rokitansky–Aschoff sinus. H&E stain.
Classification and external resources
Specialty gastroenterology
ICD-10 K82.8
ICD-9-CM 575.8

Rokitansky–Aschoff sinuses, also entrapped epithelial crypts, are pseudodiverticula or pockets in the wall of the gallbladder. They may be microscopic or macroscopic.

Histologically, they are outpouchings of gallbladder mucosa into the gallbladder muscle layer and subserosal tissue as a result of hyperplasia and herniation of epithelial cells through the fibromuscular layer of the gallbladder wall. They are usually referred to as adenomyomatosis.[1]

They are not of themselves considered abnormal, but they can be associated with cholecystitis.[2]

Pathophysiology

They form as a result of increased pressure in the gallbladder and recurrent damage to the wall of the gallbladder.[3]

Associations

Black pigment gallstones can form in Rokitansky-Aschoff sinuses of the gallbladder after the fourth to fifth decades of life in absence of the typical risk factors for bilirubin suprasaturation of bile.[1] Hence, they are associated with gallstones (cholelithiasis). Cases of gall bladder cancer have also been reported to arise from Rokitansky–Aschoff sinuses.[4]

Diagnosis

Since Rokitansky–Aschoff sinuses can be normally present in the gall badder without any pathology, the radiological detection of these is only of academic interest.[5] Magnetic resonance imaging plays an important role in the diagnosis of Rokitansky–Aschoff sinuses.[6]

Eponym

They are named after Carl Freiherr von Rokitansky (1804-1878), a pathologist in Vienna, Austria and Ludwig Aschoff (1866-1942), a pathologist in Bonn, Germany.[7][8]

See also

References

  1. 1 2 Cariati, A; Cetta, F (2002). "Rokitansky-Aschoff sinuses of the gallbladder are associated with black pigment gallstone formation: a scanning electron microscopy study.". Ultrastructural pathology. 27 (4): 265–70. doi:10.1080/01913120309913. PMID 12907372.
  2. van Breda Vriesman, AC; Engelbrecht, MR; Smithuis, RH; Puylaert, JB (February 2007). "Diffuse gallbladder wall thickening: differential diagnosis.". AJR. American journal of roentgenology. 188 (2): 495–501. doi:10.2214/AJR.05.1712. PMID 17242260.
  3. Stunell, H; Buckley, O; Geoghegan, T; O’Brien, J; Ward, E; Torreggiani, W (2008). "Imaging of adenomyomatosis of the gall bladder". Journal of Medical Imaging and Radiation Oncology. 52 (2): 109–117. doi:10.1111/j.1440-1673.2008.01926.x. ISSN 1754-9477.
  4. Matsumoto, T; Shimada, K (November 2009). "A case of gallbladder cancer arising from the Rokitansky-Aschoff sinus.". Japanese journal of clinical oncology. 39 (11): 776. doi:10.1093/jjco/hyp149. PMID 19884193.
  5. Sukman, R; Daron, PB (May 1953). "Roentgen visualization of the Rokitansky-Aschoff sinuses as an additional sign of chronic gallbladder disease.". Radiology. 60 (5): 714–7. doi:10.1148/60.5.714. PMID 13056187.
  6. Yoshimitsu, K; Honda, H; Jimi, M; Kuroiwa, T; Hanada, K; Irie, H; Tajima, T; Takashima, M; Chijiiwa, K; Shimada, M; Masuda, K (June 1999). "MR diagnosis of adenomyomatosis of the gallbladder and differentiation from gallbladder carcinoma: importance of showing Rokitansky-Aschoff sinuses.". AJR. American journal of roentgenology. 172 (6): 1535–40. doi:10.2214/ajr.172.6.10350285. PMID 10350285.
  7. synd/983 at Who Named It?
  8. Kanne, JP; Rohrmann CA, Jr; Lichtenstein, JE (2005). "Eponyms in radiology of the digestive tract: historical perspectives and imaging appearances. Part 2. Liver, biliary system, pancreas, peritoneum, and systemic disease.". Radiographics : a review publication of the Radiological Society of North America, Inc. 26 (2): 465–80. doi:10.1148/rg.262055130. PMID 16549610.
This article is issued from Wikipedia - version of the 8/22/2016. The text is available under the Creative Commons Attribution/Share Alike but additional terms may apply for the media files.