Fecolith
| Fecolith | |
|---|---|
| Synonyms | fecalith, fecolith, fecaloma, coprolith, stercolith |
![]() | |
| A fecolith marked by the arrow which has resulted in acute appendicitis. | |
| Pronunciation | fecaloma/fiːkəˈloʊmə/, "FEE-kə-LOH-mə |
| Classification and external resources | |
| Specialty | gastroenterology |
| ICD-10 | K38.1 |
| ICD-9-CM | 560.39 |
Fecolith, also called a fecaloma or faecaloma, is an extreme form of fecal impaction, often characterized by calcification. The term fecalith literally means a "stone" made of feces (lith=stone). It is a hardening of feces into lumps of varying size and may occur anywhere in the intestinal tract but is typically found in the colon. It is also called appendicolith when it occurs in the appendix and is sometimes concomitant with appendicitis.[1] They can also obstruct diverticuli.
Features
Constipation
Diagnosis
- CT Scan[2]
- Ultrasound
Causes
There are several causes of fecaloma and have been described in association with:
- Hirschsprung's disease
- patients suffering with chronic constipation
- psychiatric patients
- Chagas disease
- both inflammatory and neoplastic conditons
Pathophysiology
As the fecal matter gradually stagnates and accumulates in the intestine, increase in volume occurs until the intestine becomes deformed and acquires characteristics similar to that of a tumor.[3] It may occur in chronic obstruction of stool transit, as in megacolon[4] and chronic constipation. Some diseases, such as Chagas disease, Hirschsprung's disease and others damage the autonomic nervous system in the colon's mucosa (Auerbach's plexus) and may cause extremely large or "giant" fecalomas, which must be surgically removed (disimpaction). Rarely, a fecalith will form around a hairball (Trichobezoar), or other hygroscopic or desiccant nucleus.
Treatment
Distal or sigmoid, fecalomas can often be disimpacted digitally or by a catheter which carries a flow of disimpaction fluid (water or other solvent or lubricant). Surgical intervention in the form of sigmoid colectomy[5] or proctocolectomy and ileostomy[6] may be required only when all conservative measures of evacuation fail.
Complications
Fecal impaction and attempts at removal can have severe and even lethal effects, such as the rupture of the colon wall by catheter or an acute angle of the fecaloma (stercoral perforation), followed by septicemia. A small fecalith is one cause of both appendicitis and acute diverticulitis. It may also lead to stercoral perforation, a condition characterized by bowel perforation due to pressure necrosis from a fecal mass or fecaloma.[7][8]
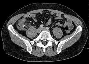
Appendicolith as seen on CT
Appendicolith as seen on plain X ray
See also
- Fecal impaction
- Coprolith is also used to mean geologically fossilized feces.
References
- ↑ Aljefri, A; Al-Nakshabandi, N (2008). "The stranded stone: relationship between acute appendicitis and appendicolith.". Saudi journal of gastroenterology : official journal of the Saudi Gastroenterology Association. 15 (4): 258–60. doi:10.4103/1319-3767.56106. PMC 2981843
. PMID 19794272. - ↑ Fagelman, D; Warhit, JM; Reiter, JD; Geiss, AC (June 1984). "CT diagnosis of fecaloma.". Journal of computer assisted tomography. 8 (3): 559–61. doi:10.1097/00004728-198406000-00040. PMID 6725706.
- ↑ Yucel, AF; Akdogan, RA; Gucer, H (February 2012). "A giant abdominal mass: fecaloma.". Clinical gastroenterology and hepatology : the official clinical practice journal of the American Gastroenterological Association. 10 (2): e9–e10. doi:10.1016/j.cgh.2011.06.030. PMID 21749849.
- ↑ Rajagopal, A; Martin, J (June 2002). "Giant fecaloma with idiopathic sigmoid megacolon: report of a case and review of the literature.". Diseases of the colon and rectum. 45 (6): 833–5. doi:10.1007/s10350-004-6306-x. PMID 12072639.
- ↑ Garisto, JD; Campillo, L; Edwards, E; Harbour, M; Ermocilla, R (5 February 2009). "Giant fecaloma in a 12-year-old-boy: a case report.". Cases journal. 2 (1): 127. doi:10.1186/1757-1626-2-127. PMC 2642792
. PMID 19196473. - ↑ Altomare, DF; Rinaldi, M; Sallustio, PL; Armenise, N (March 2009). "Giant fecaloma in an adult with severe anal stricture caused by anal imperforation treated by proctocolectomy and ileostomy: report of a case.". Diseases of the colon and rectum. 52 (3): 534–7. doi:10.1007/DCR.0b013e318199db36. PMID 19333059.
- ↑ Kumar, P; Pearce, O; Higginson, A (January 2011). "Imaging manifestations of faecal impaction and stercoral perforation.". Clinical radiology. 66 (1): 83–8. doi:10.1016/j.crad.2010.08.002. PMID 21147303.
- ↑ Hsiao, TF; Chou, YH (January 2010). "Stercoral perforation of colon: a rare but important mimicker of acute appendicitis.". The American journal of emergency medicine. 28 (1): 112.e1–2. doi:10.1016/j.ajem.2009.02.024. PMID 20006219.
