Acrospiroma
Tubular hidradenoma, apocrine

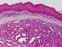
A hidradenoma, here a benign neoplasm of the sweat glands of the cheek. It is not solid but is fluid-filled.
Acrospiroma (also known as hidradenoma) is a cutaneous condition, primarily occurring in adult women, that is a form of benign adnexal neoplasm closely related to poroma.[1]
See also
References
This article is issued from Wikipedia - version of the 5/18/2016. The text is available under the Creative Commons Attribution/Share Alike but additional terms may apply for the media files.