Invasive lobular carcinoma
| Invasive lobular carcinoma | |
|---|---|
![]() | |
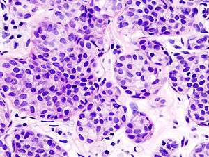
| Invasive lobular carcinoma demonstrating a predominantly lobular growth pattern | |
| Classification and external resources | |
| ICD-O | M8520/3 |

Lobular breast cancer. Single file cells and cell nests.
Invasive lobular carcinoma accounts for 5-10% of invasive breast cancer.[1][2]
The histologic patterns include:[3][4][5]
| Type | Prevalence | Description |
|---|---|---|
| Classical | 40% | round or ovoid cells with little cytoplasm in a single-file infiltrating pattern, sometimes concentrically giving a targetoid pattern |
| Alveolar | 5% | Aggregates of classical-appearing cells |
| Solid | 10% | Sheets of classical-appearing cells with little intervening stroma |
| Tubulolobular | 5% | Cells form microtubules in >90% of tumor (smaller than in tubular carcinoma) |
| Pleomorphic | Classical-appearing but with pleomorphic cells | |
| Mixed | 40% | No dominant pattern |
Overall, the five-year survival rate of invasive lobular carcinoma was approximately 85% in 2003.[6]
Loss of E-cadherin is common in lobular carcinoma but is also seen in other breast cancers.[7]
Treatment includes surgery and adjuvant therapy.
References
- ↑ Pointon KS, Cunningham DA (August 1999). "Ultrasound findings in pure invasive lobular carcinoma of the breast: comparison with matched cases of invasive ductal carcinoma of the breast". Breast. 8 (4): 188–90. doi:10.1054/brst.1999.0042. PMID 14731438.
- ↑ Boughey JC, Wagner J, Garrett BJ, et al. (March 2009). "Neoadjuvant Chemotherapy in Invasive Lobular Carcinoma May Not Improve Rates of Breast Conservation". Ann. Surg. Oncol. 16 (6): 1606–11. doi:10.1245/s10434-009-0402-z. PMID 19280264.
- ↑ Moore MM, Borossa G, Imbrie JZ, et al. (June 2000). "Association of Infiltrating Lobular Carcinoma With Positive Surgical Margins After Breast-Conservation Therapy". Ann. Surg. 231 (6): 877–82. doi:10.1097/00000658-200006000-00012. PMC 1421077
. PMID 10816631. - ↑ Spencer JT, Shutter J (March 2009). "Synchronous bilateral invasive lobular breast cancer presenting as carcinomatosis in a male". Am. J. Surg. Pathol. 33 (3): 470–4. doi:10.1097/PAS.0b013e318190d10d. PMID 19092630.
- ↑ Fletcher's diagnostic histopathology of tumors. 3rd Ed. p. 931-932.
- ↑ Arpino G, Bardou VJ, Clark GM, Elledge RM (2004). "Infiltrating lobular carcinoma of the breast: tumor characteristics and clinical outcome". Breast Cancer Res. 6 (3): R149–56. doi:10.1186/bcr767. PMC 400666
. PMID 15084238. - ↑ Varga Z, Mallon E (Oct 2009). "Histology and Immunophenotype of Invasive Lobular Breast Cancer. Daily Practice and Pitfalls". Breast Dis. 30: 15–19. doi:10.3233/BD-2009-0278. PMID 19850991.
This article is issued from Wikipedia - version of the 5/27/2016. The text is available under the Creative Commons Attribution/Share Alike but additional terms may apply for the media files.
.jpg)