Sex cord tumour with annular tubules
| Sex cord tumour with annular tubules | |
|---|---|
![]() | |
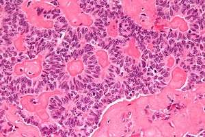
| Micrograph of a sex cord tumour with annular tubules. H&E stain. | |
| Classification and external resources |
Sex cord tumour with annular tubules, commonly referred to by its abbreviation SCTAT, is a rare ovarian tumour in the sex cord group of gonadal tumours. It may be spelled sex cord tumor with annular tubules.
Pathobiology
These tumours may be seen in the context of Peutz-Jeghers syndrome or be sporadic.[1] Large tumours are more likely to be sporadic. Small incidental tumours are more likely to be syndromic.
It has a distinctive appearance under the microscope, from which it derives its name.
Prognosis
Generally, they are considered to benign; however, occasional malignant cases are reported.[2]
See also
Additional images
Intermed. mag.
High mag.
References
- ↑ Purohit, RC.; Alam, SZ. (Mar 1980). "Sex cord tumour of the ovary with annular tubules (SCTAT).". Histopathology. 4 (2): 147–54. doi:10.1111/j.1365-2559.1980.tb02908.x. PMID 7358344.
- ↑ Lele, SM.; Sawh, RN.; Zaharopoulos, P.; Adesokan, A.; Smith, M.; Linhart, JM.; Arrastia, CD.; Krigman, HR. (Apr 2000). "Malignant ovarian sex cord tumor with annular tubules in a patient with Peutz-Jeghers syndrome: a case report.". Mod Pathol. 13 (4): 466–70. doi:10.1038/modpathol.3880079. PMID 10786816.
This article is issued from Wikipedia - version of the 6/10/2015. The text is available under the Creative Commons Attribution/Share Alike but additional terms may apply for the media files.
