Actinic keratosis
| Actinic keratosis | |
|---|---|
|
Common presentation of actinic keratosis on a balding head. | |
| Classification and external resources | |
| Specialty | dermatology |
| ICD-10 | L57.0 |
| ICD-9-CM | 702.0 |
| DiseasesDB | 29438 |
| MedlinePlus | 000827 |
| Patient UK | Actinic keratosis |
| MeSH | D055623 |
Actinic keratosis (also called "solar keratosis"[1] and "senile keratosis";[1] abbreviated as "AK") is a pre-cancerous[2] patch of thick, scaly, or crusty skin.[3][4] These growths are more common in fair-skinned people and those who are frequently in the sun.[5] They usually form when skin gets damaged by ultraviolet (UV) radiation from the sun or indoor tanning beds. AKs are considered potentially pre-cancerous; left untreated, they may turn into a type of cancer called squamous cell carcinoma.[4] Untreated lesions have up to a 20% risk of progression to squamous cell carcinoma,[6] so treatment by a dermatologist is recommended.
Development of these growths occurs when skin is constantly exposed to the sun over time. They usually appear as thick, scaly, or crusty areas that often feel dry or rough. In fact, AKs are often felt before they are seen,[7] and the texture is often compared to sandpaper. They may be dark, light, tan, pink, red, a combination of all these, or have the same color as the surrounding skin. An actinic keratosis lesion commonly ranges between 2 and 6 millimeters in size but can grow to be a few centimeters in diameter.[8] They often appear on sun-exposed areas of the skin, such as the face, ears, neck, scalp, chest, backs of hands, forearms, or lips. Because they are related to sun-damage on the skin, most people who have an AK have more than one.[9] Often, large areas of sun-exposed skin are diagnosed with a continuum of multiple clinically visible AKs of different sizes and severities, typically accompanied by subclinical lesions that become apparent only in biopsies.[10] This concept of a skin area showing multiple AKs is termed field cancerization.[10]
Diagnosis is suspected clinically on physical exam, but can be confirmed by looking at cells from the lesion under a microscope. Different therapeutic options for AK are available. Photodynamic therapy (PDT) is recommended for the treatment of multiple AK lesions and field cancerization.[11] It involves the application of a photosensitizer to the skin followed by illumination with a strong light source. Topical creams may require daily application to affected skin areas over longer time periods.[12] Cryotherapy is frequently used for single lesions,[13] but undesired hypopigmentation may occur at the treatment site.[14] By following up with a dermatologist, AKs can be treated before they turn into skin cancer. If skin cancer does develop from an AK lesion, it can be caught early with close monitoring, at a time when treatment can be curative.
Signs and symptoms
Actinic keratoses ("AKs") most commonly present as a white, scaly plaque of variable thickness with surrounding redness; they are most notable for having a sandpaper-like texture when felt with a gloved hand. Skin nearby the lesion often shows evidence of solar damage characterized by notable pigmentary alterations, being yellow or pale in color with areas of hyperpigmentation; deep wrinkles, coarse texture, purpura and ecchymoses, dry skin, and scattered telangiectasias are also characteristic.[15] Photoaging leads to an accumulation of oncogenic changes, resulting in a proliferation of mutated keratinocytes that can manifest as AKs or other neoplastic growths.[8] With years of sun damage, it is possible to develop multiple AKs in a single area on the skin.
The lesions are usually asymptomatic, but can be tender, itch, bleed, or produce a stinging or burning sensation.[16] AKs are typically graded in accordance with their clinical presentation: Grade I (easily visible, slightly palpable), Grade II (easily visible, palpable), and Grade III (frankly visible and hyperkeratotic).[17]
Clinical variants
Actinic keratoses can have various clinical presentations, often characterized as follows:
- Classic (or common): Classic AKs present as white, scaly macules, papules or plaques of various thickness, often with surrounding erythema. They are usually 2-6mm in diameter but can sometimes reach several centimeters in diameter.[16]
- Hypertrophic (or hyperkeratotic): Hypertrophic AKs (HAKs) appear as a thicker scale or rough papule or plaque, often adherent to an erythematous base. Classic AKs can progress to become HAKs, and HAKs themselves can be difficult to distinguish from malignant lesions.
- Atrophic: Atrophic AKs lack an overlying scale, and therefore appear as a nonpalpable change in color (or macule). They are often smooth and red, and are less than 10mm in diameter.
- AK with cutaneous horn: A cutaneous horn is a keratinic projection with its height at least one-half of its diameter, often conical in shape. They can be seen in the setting of actinic keratosis as a progression of an HAK, but are also present in other skin conditions.[16] 38–40% of cutaneous horns represent AKs.[18]
- Pigmented AK: Pigmented AKs are rare variants that often present as macules or plaques that are tan to brown in color. They can be difficult to distinguish from a solar lentigo or lentigo maligna.[19]
- Actinic cheilitis: When an AK forms on the lip, it is called actinic cheilitis. This usually presents as a rough, scaly patch on the lip, often accompanied by the sensation of dry mouth and symptomatic splitting of the lips.
- Bowenoid AK: Usually presents as a solitary, erythematous, scaly patch or plaque with well-defined borders. Bowenoid AKs are differentiated from Bowen's disease by degree of epithelial involvement as seen on histology.[20]
The presence of ulceration, nodularity, or bleeding should raise concern for malignancy. Specifically, clinical findings suggesting an increased risk of progression to squamous cell carcinoma can be recognized as "IDRBEU": I (induration /inflammation), D (diameter > 1 cm), R (rapid enlargement), B (bleeding), E (erythema) and U (ulceration).[21] AKs are usually diagnosed clinically, but because they are difficult to clinically differentiate from squamous cell carcinoma, any concerning features warrant biopsy for diagnostic confirmation.[22]
Cause
The most important cause of AK formation is solar radiation, specifically UV-B radiation (wavelength 290–320). UV-B radiation causes thymidine dimer formation in DNA and RNA, leading to significant cellular mutations.[23] Additionally, recent research has been focused on the role of the p53 tumor suppressor gene in AK formation.[24] This tumor suppressor gene, located on chromosome 17p132, allows for cell cycle arrest when DNA or RNA is damaged. Dysregulation of the p53 pathway can thus result in unchecked proliferation of dysplastic keratinocytes, thereby serving as a source of neoplastic growth and the development of AK, as well as possible carcinogenesis. Other molecular markers that have been associated with the development of AK include the expression of p16ink4, the CD95 ligand, TNF-related apoptosis-inducing ligand (TRAIL) and TRAIL receptors, and loss of heterozygosity.[25]
Recent research suggests that the human papillomavirus (HPV) may also play a role in the development of AKs. The HPV virus has been detected in AKs, with measurable HPV viral loads (1 HPV-DNA copy per less than 50 cells) measured in 40% of AKs.[26] Similar to UV radiation, higher levels of HPV found in AKs reflect enhanced viral DNA replication; this is suspected to be related to the abnormal keratinocyte proliferation and differentiation in AKs which provide a commensalic environment for HPV replication. This in turn may further stimulate the abnormal proliferation that contributes to the development of AKs and carcinogenesis.
AKs are most often seen in individuals with fair skin and are commonly found on the scalp of balding individuals.
Ultraviolet radiation
It is thought that UV radiation induces mutations in the keratinocytes of the epidermis, promoting the survival proliferation of these atypical cells. Eventually, this leads to the formation of AKs. In particular, mutations in the p53 tumor suppressor gene have been found in 30–50% of AK lesion skin samples.[24][25]
- Extent of sun exposure: Cumulative sun exposure leads to an increased risk for development of AKs. In one U.S. study, AKs were found in 55% of fair-skinned men with high cumulative sun exposure, and in only 19% of fair-skinned men with low cumulative sun exposure in an age-matched cohort (the percents for women in this same study were 37% and 12% respectively).[27] Furthermore, the use of sunscreen (SPF 17 or higher) has been found to significantly reduce the development of AK lesions, and also promotes the regression of existing lesions.[28]
- History of sunburn: Studies show that even a single episode of painful sunburn as a child can increase an individual's risk of developing AK as an adult.[29] Six or more painful sunburns over the course of a lifetime was found to be significantly associated with the likelihood of developing AK.[29]
Skin pigmentation
Melanin is a pigment in the epidermis that functions to protect keratinocytes from the damage caused by UV radiation; it is found in higher concentration in the epidermis of darker-skinned individuals, affording them protection against the development of AKs. Fair-skinned individuals have a significantly increased risk of developing AKs when compared to olive skinned individuals (odds ratios of 14.1 and 6.5, respectively),[29] and AKs are uncommon in dark-skinned African Americans.[27] Other phenotypic features seen in fair-skinned individuals that are associated with an increased propensity to develop AKs include:[27]
Balding
AKs are commonly found on the scalps of balding men. Degree of baldness seems to be a risk factor for lesion development, as men with severe baldness were found to be seven times more likely to have 10 or more AKs when compared to men with minimal or no baldness.[30]
Other risk factors
- Immunosuppression: People who take immunosuppressive drugs, such as organ transplant patients, are 250 times more likely to develop actinic keratoses that may lead to skin cancer.[31]
- Human papillomavirus (HPV): The role of HPV in the development of AK remains unclear, but evidence suggests that infection with the betapapillomavirus type of HPV may be associated with an increased likelihood of AK.[32]
- Genodermatoses: Certain genetic disorders interfere with DNA repair after sun exposure, thereby putting these individuals at higher risk for the development of AKs. Examples of such genetic disorders include xeroderma pigmentosum and Bloom syndrome.
Diagnosis
Physicians usually diagnose actinic keratosis by doing a thorough physical examination, through a combination of visual observation and touch. However a biopsy may be necessary when the keratosis is large in diameter, thick, or bleeding, in order to make sure that the lesion is not a skin cancer. Actinic keratosis and squamous cell carcinoma (SCC) can present similarly on physical exam, and many scientists argue that they are in fact simply different stages of the same condition.[33] In addition to SCCs, AKs can be mistaken for other cutaneous lesions including seborrheic keratoses, basal cell carcinoma, lichenoid keratosis, porokeratosis, viral warts, inflammatory dermatoses, or melanoma.
Biopsy
A lesion biopsy is performed if the diagnosis remains uncertain after a clinical physical exam. The most common tissue sampling techniques include shave or punch biopsy. When only a portion of the lesion can be removed due to its size or location, the biopsy should sample tissue from the thickest area of the lesion, as SCCs are most likely to be detected in that area. If a shave biopsy is performed, it should extend through to the level of the dermis in order to provide sufficient tissue for diagnosis; ideally, it would extend to the mid-reticular dermis. Punch biopsy usually extends to the subcutaneous fat when the entire length of the punch blade is utilized.
Histopathology
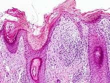
On histologic examination, actinic keratoses usually show a collection of atypical keratinocytes with hyperpigmented or pleomorphic nuclei, extending to the basal layer of the epidermis. A "flag sign" is often described, referring to alternating areas of orthokeratosis and parakeratosis. Epidermal thickening and surrounding areas of sun-damaged skin are often seen.[34] The normal ordered maturation of the keratinocytes is disordered to varying degrees: there may be widening of the intracellular spaces, cytologic atypia such as abnormally large nuclei, and a mild chronic inflammatory infiltrate.[6]
Specific findings depend on the clinical variant and particular lesion characteristics. The seven major histopathologic variants are all characterized by atypical keratinocytic proliferation beginning in the basal layer and confined to the epidermis; they include:[34]
- Hypertrophic: Notable for marked hyperkeratosis, often with evident parakeratosis.[34] Keratinocytes in the stratum malphigii may show a loss of polarity, pleomorphism, and anaplasia.[22] Some irregular downward proliferation into the uppermost dermis may be observed, but does not represent frank invasion.[22]
- Atrophic: With slight hyperkeratosis and overall atrophic changes to the epidermis; the basal layer shows cells with large, hyperchromatic nuclei in close proximity to each other. These cells have been observed to proliferate into the dermis as buds and duct-like structures.[22]
- Lichenoid: Demonstrate a band-like lymphocytic infiltrate in the papillary dermis, directly beneath the dermal-epidermal junction.[34]
- Achantholytic: Intercellular clefts or lacunae in the lowermost epidermal layer that result from anaplastic changes; these produce dyskeratotic cells with disrupted intercellular bridges.
- Bowenoid: This term is controversial and usually refers to full-thickness atypia, microscopically indistinguishable from Bowen's Disease.[22] However most dermatologists and pathologists will use it in reference to tissue samples that are notable for small foci of atypia that involve the full thickness of the epidermis, in the background of a lesion that is otherwise consistent with an AK.[34]
- Epidermolytic: With granular degeneration.[22]
- Pigmented: Show pigmentation in the basal layer of the epidermis, similar to a solar lentigo.[34]
Dermoscopy
Dermoscopy is a noninvasive technique utilizing a handheld magnifying device coupled with a transilluminating lift. It is often used in the evaluation of cutaneous lesions, but lacks the definitive diagnostic ability of biopsy-based tissue diagnosis. Histopathologic exam remains the gold standard
Dermoscopic features
Polarized contact dermoscopy of AKs occasionally reveals a "rosette sign," described as four white points arranged in a clover pattern, often localized to within a follicular opening.[35] It is hypothesized that the "rosette sign" corresponds histologically to the changes of orthokeratosis and parakeratosis known as the "flag sign."[35]
- Non-pigmented AKs: linear or wavy vascular patterning, or a "strawberry pattern," described as unfocused vessels between hair follicles, with white-haloed follicular openings.[36]
- Pigmented AKs: gray to brown dots or globules surrounding follicular openings, and annular-granular rhomboidal structures; often difficult to differentiate from lentigo maligna.[37]
Prevention
Ultraviolet radiation is believed to contribute to the development of actinic keratoses by inducing mutations in epidermal keratinocytes, leading to proliferation of atypical cells.[38] Therefore, preventive measures for AKs are targeted at limiting exposure to solar radiation, including:
- Limiting extent of sun exposure
- Avoid sun exposure during noontime hours when UV light is most powerful
- Using sun protection
- Frequently applying powerful sunscreens with SPF ratings greater than 30 and that also block both UVA and UVB light
- Wearing sun protective clothing such as hats, long-sleeved shirts, long skirts, or trousers
Recent research implicating human papillomavirus (HPV) in the development of AKs[39] suggests that HPV prevention might in turn help prevent development of AKs, as UV-induced mutations and oncogenic transformation are likely facilitated in cases of active HPV infection.
Management
There are many treatment options for AK depending on the patient and the clinical characteristics of the lesion. AKs show a wide range of features, which guide treatment decision-making. Although overall cure rates are high, experts agree that the best treatment for AK is prevention. Regular follow-up is advisable after any treatment to make sure no new lesions have developed and that old ones are not progressing.
Medication
Fluorouracil cream
Topical fluorouracil (5-FU) destroys AKs by blocking methylation of thymidylate synthetase, thereby interrupting DNA and RNA synthesis.[40] This in turn prevents the proliferation of dysplastic cells in AK. Topical 5-FU is the most utilized treatment for AK, and often results in effective removal of the lesion.[41] Overall, there is a 50% efficacy rate resulting in 100% clearance of AKs treated with topical 5-FU.[42][43] 5-FU may be up to 90% effective in treating non-hyperkeratotic lesions.[44] The most commonly used application regimen consists of applying a layer of topical cream to the lesion twice a day after washing; duration of treatment is typically 2–4 weeks, but treatment of up to 8 weeks has demonstrated a higher cure rate.[45]
Imiquimod cream
Imiquimod is a topical immune-enhancing agent licensed for the treatment of genital warts.[22] Imiquimod stimulates the immune system through the release and up-regulation of cytokines.[45] Treatment with Imiquimod cream applied 2–3 times per week for 12 to 16 weeks was found to result in complete resolution of AKs in 50% of people, compared to 5% of controls.[46] The Imiquimod 3.75% cream has been validated in a treatment regimen consisting of daily application to entire face and scalp for two 2-week treatment cycles, with a complete clearance rate of 36%.[47] While the clearance rate observed with the Imiquimod 3.75% cream was lower than that observed with the 5% cream (36 and 50 percent, respectively), there are lower reported rates of adverse reactions with the 3.75% cream: 19% of individuals using Imiquimod 3.75% cream reported adverse reactions including local erythema, scabbing, and flaking at the application site, while nearly a third of individuals using the 5% cream reported the same types of reactions with Imiquimod treatment.[46][47] However, it is ultimately difficult to compare the efficacy of the different strength creams directly, as current study data varies in methodology (e.g. duration and frequency of treatment, and amount of skin surface area covered).
Ingenol mebutate gel
Ingenol mebutate is a newer treatment for AK used in Europe and the United States. It works in two ways, first by disrupting cell membranes and mitochondria resulting cell death, and then by inducing antibody-dependent cellular cytotoxicity to eliminate remaining tumor cells.[48] A 3-day treatment course with the 0.015% gel is recommended for the scalp and face, while a 2-day treatment course with the 0.05% gel is recommended for the trunk and extremities.[49] Treatment with the 0.015% gel was found to completely clear 57% of AK, while the 0.05% gel had a 34% clearance rate.[50] Advantages of ingenol mebutate treatment include the short duration of therapy and a low recurrence rate.[51] Local skin reactions including pain, itching and redness can be expected during treatment with ingenol mebutate. This treatment was derived from the petty spurge, Euphorbia peplus which has been used as a traditional remedy for keratosis.
Diclofenac sodium gel
Topical diclofenac sodium gel is a nonsteroidal anti-inflammatory drug that is thought to work in the treatment of AK through its inhibition of the arachidonic acid pathway, thereby limiting the production of prostaglandins which are thought to be involved in the development of UVB-induced skin cancers.[6] Recommended duration of therapy is 60 to 90 days with twice daily application. Treatment of facial AK with diclofenac gel led to complete lesion resolution in 40% of cases.[52] Common side effects include dryness, itching, redness, and rash at the site of application.[52]
Retinoids
Topical retinoids have been studied in the treatment of AK with modest results. Treatment with adapalene gel daily for 4 weeks, and then twice daily thereafter for a total of nine months led to a significant but modest reduction in the number AKs compared to placebo; it demonstrated the additional advantage of improving the appearance of photodamaged skin.[53] Topical tretinoin is ineffective as treatment for reducing the number of AKs.[22] For secondary prevention of AK, systemic, low dose acitretin was found to be safe, well-tolerated and moderately effective in chemoprophylaxis for skin cancers in kidney transplant patients.[54]
Procedures
Cryotherapy

Liquid nitrogen (−195.8 °C) is the most commonly used destructive therapy for the treatment of AK. It is a well-tolerated office procedure that does not require anesthesia.[55] Cryotherapy is particularly indicated for cases where there are few, thin, well-demarcated lesions. It is generally performed using an open-spray technique, wherein the AK is sprayed for several seconds.[22] The process can be repeated multiple times in one office visit, as tolerated. Cure rates from 67 to 99 percent have been reported,[56][57] depending on freeze time and lesion characteristics. Disadvantages include discomfort during and after the procedure; blistering, scarring and redness; hypo- or hyper pigmentation; and destruction of healthy tissue.[58]
Photodynamic therapy

AKs are one of the most common dermatologic lesions for which photodynamic therapy[59] using topical methyl aminolevulinate (MAL) or 5-aminolevulinic acid (5-ALA) is indicated. Treatment begins with preparation of the lesion, which includes scraping away scales and crusts using a dermal curette. A thick layer of topical MAL or 5-ALA cream is applied to the lesion and a small area surrounding the lesion, which is then covered with an occlusive dressing and left for a period of time. During this time the photosensitizer accumulates in the target cells within the AK lesion. The dressings are then removed and the lesion is treated with light at a specified wavelength.
Multiple treatment regimens using different photosensitizers, incubation times, light sources, and pretreatment regimens have been studied and suggest that longer incubation times lead to higher rates of lesion clearance.[60] Photodynamic therapy is gaining in popularity. It has been found to have a 14% higher likelihood of achieving complete lesion clearance at 3 months compared to cryotherapy,[61] and seems to result in superior cosmetic outcomes when compared to cryotherapy or 5-FU treatment.[62] Photodynamic therapy seems particularly effective in treating areas with multiple AK lesions.[63]
Surgical techniques
- Surgical excision: Excision should be reserved for cases when the AK is a thick, horny papule, or when deeper invasion is suspected and histopathologic diagnosis is necessary.[22] It is a rarely utilized technique for AK treatment.
- Shave excision and curettage (frequently followed by electrodessication[64]): This technique is often used for treatment of AKs, and particularly for hyperkeratotic lesions. The surface of the lesion can be scraped away using a scalpel, or the base can be removed with a curette. Tissue can be evaluated histopathologically, but specimens acquired using this technique are not often adequate to determine whether a lesion is invasive or intraepidermal.
- Dermabrasion: Dermabrasion is useful in the treatment of large areas with multiple AK lesions. The process involves using a hand-held instrument to "sand" the skin, removing the stratum corneum layer of the epidermis. Diamond fraises or wire brushes revolving at high speeds are used.[22] The procedure can be quite painful and requires procedural sedation and anesthetic, necessitating a hospital stay. One-year clearance rates with dermabrasion treatment are as high as 96%, but diminish drastically to 54% at five years.[65]
Laser therapy
Laser therapy using carbon dioxide (CO2) or erbium:yttrium aluminum garnet (Er:YAG) lasers is a treatment approach being utilized with increased frequency, and sometimes in conjunction with computer scanning technology.[66] Laser therapy has not been extensively studied, but current evidence suggests it may be effective in cases involving multiple AKs refractive to medical therapy, or AKs located in cosmetically relevant locations such as the face.[67]
Chemical peels
A chemical peel is a topically applied agent that wounds the outermost layer of the skin, promoting organized repair, exfoliation, and eventually the development of smooth and rejuvenated skin. Multiple therapies have been studied. A medium-depth peel may effectively treat multiple non-hyperkeratotic AKs.[68] It can be achieved with 35% to 50% trichloroacetic acid (TCA) alone or at 35% in combination with Jessner's solution in a once-daily application for a minimum of 3 weeks; 70% glycolic acid (α-hydroxy acid); or solid CO2.[69] When compared to treatment with 5-FU, chemical peels have demonstrated similar efficacy and increased ease of use with similar morbidity.[70] Chemical peels must be performed in a controlled clinic environment and are recommended only for individuals who are able to comply with follow-up precautions, including avoidance of sun exposure. Furthermore, they should be avoided in individuals with a history of HSV infection or keloids, and in those who are immunosuppressed or who are taking photosensitizing medications.
Prognosis
AKs follow one of three paths: they can either persist as AKs, regress, or progress to invasive skin cancer, as AK lesions are considered to be on the same continuum with squamous cell carcinoma (SCC). AK lesions that regress also have the potential to recur.
- Progression: The overall risk of an AK turning into invasive cancer is low. In average-risk individuals, likelihood of an AK lesion progressing to SCC is less than 1% per year.[71][72] Despite this low rate of progression, studies suggest that a full 60% of SCCs arise from pre-existing AKs, reinforcing the idea that these lesions are closely related.[71][72]
- Regression: Reported regression rates for single AK lesions have ranged between 15–63% after one year.[73]
- Recurrence: Recurrence rates after 1 year for single AK lesions that have regressed range between 15–53%.[73]
Clinical course
Actinic keratoses have three possible clinical outcomes: they may regress, remain stable, or advance to become invasive disease.[8] Occasionally they come and go, appearing on the skin, remaining for months, and then disappearing. Often they will reappear in a few weeks or months, particularly after unprotected sun exposure. Left untreated, there is a chance that the lesion will advance to become invasive. While it is difficult to predict whether an AK will advance to become squamous cell carcinoma, it has been noted that squamous cell carcinomas originate in lesions formerly diagnosed as AKs with frequencies reported between 65 and 97%.[8]
Epidemiology
Actinic keratosis is very common, with an estimated 14% of dermatology visits related to AKs.[74] It is seen more often in fair-skinned individuals,[29] and rates vary with geographical location and age.[75] Other factors such as exposure to ultraviolet (UV) radiation,[76] certain phenotypic features, and immunosuppression can also contribute to the development of AKs.
Men are more likely to develop AK than women, and the risk of developing AK lesions increases with age. These findings have been observed in multiple studies, with numbers from one study suggesting that approximately 5% of women ages 20–29 develop AK compared to 68% of women ages 60–69, and 10% of men ages 20–29 develop AK compared to 79% of men ages 60–69.[77]
Geography seems to play a role in the sense that individuals living in locations where they are exposed to more UV radiation throughout their lifetime have a significantly higher risk of developing AK. Much of the literature on AK comes from Australia, where prevalence of AK is estimated at 40–50% in adults over 40,[77] as compared to the United States and Europe, where prevalence is estimated at under 11–38% in adults.[30][78] One study found that those who immigrated to Australia after age 20 had fewer AKs than native Australians in all age groups.[79]
Research
Diagnostically, researchers are investigating the role of novel biomarkers to assist in determining which AKs are more likely to develop into cutaneous or metastatic SCC. Upregulation of matrix metalloproteinases (MMP) is seen in many different types of cancers, and the expression and production of MMP-7 in particular has been found to be elevated in SCC specifically.[80] The role of serin peptidase inhibitors (Serpins) is also being investigated. SerpinA1 was found to be elevated in the keratinocytes of SCC cell lines, and SerpinA1 upregulation was correlated with SCC tumor progression in vivo.[80] Further investigation into specific biomarkers could help providers better assess prognosis and determine best treatment approaches for particular lesions.
In terms of treatment, a number of medications are being studied. Resiquimod is a TLR 7/8 agonist that works similarly to imiquimod, but is 10 to 100 times more potent; when used to treat AK lesions, complete response rates have range from 40 to 74%.[81] Afamelanotide is a drug that induces the production of melanin by melanocytes to act as a protective factor against UVB radiation.[82] It is being studied to determine its efficacy in preventing AKs in organ transplant patients who are on immunosuppressive therapy. Epidermal growth factor receptor (EGFR) inhibitors such as gefitinib, and anti-EGFR antibodies such as cetuximab are used in the treatment of various types of cancers, and are currently being investigated for potential use in the treatment and prevention of AKs.[83]
References
- 1 2 Rapini, Ronald P.; Bolognia, Jean; Jorizzo, Joseph L. (2007). Dermatology: 2-Volume Set. St. Louis: Mosby. pp. Chapter 108. ISBN 1-4160-2999-0.
- ↑ Prajapati V, Barankin B (May 2008). "Dermacase. Actinic keratosis". Can Fam Physician. 54 (5): 691, 699. PMC 2377206
. PMID 18474700. - ↑ Freedberg, et al. (2003). Fitzpatrick's Dermatology in General Medicine. (6th ed.). McGraw-Hill. ISBN 0-07-138076-0.
- 1 2 Quaedvlieg PJ, Tirsi E, Thissen MR, Krekels GA (2006). "Actinic keratosis: how to differentiate the good from the bad ones?". Eur J Dermatol. 16 (4): 335–9. PMID 16935787.
- ↑ "actinic keratosis" at Dorland's Medical Dictionary
- 1 2 3 Weedon, David (2010). Weedon's Skin Pathology (3rd ed.). Elsevier. ISBN 978-0-7020-3485-5.
- ↑ Moy, RL (Jan 2000). "Clinical presentation of actinic keratoses and squamous cell carcinoma.". Journal of the American Academy of Dermatology. 42 (1 Pt 2): 8–10. doi:10.1067/mjd.2000.103343. PMID 10607350.
- 1 2 3 4 Rosen, T; Lebwohl, MG (Jan 2013). "Prevalence and awareness of actinic keratosis: barriers and opportunities.". Journal of the American Academy of Dermatology. 68 (1 Suppl 1): S2–9. doi:10.1016/j.jaad.2012.09.052. PMID 23228302.
- ↑ Stockfleth, E; Kerl, H; Guideline Subcommittee of the European Dermatology, Forum (Nov–Dec 2006). "Guidelines for the management of actinic keratoses.". European journal of dermatology : EJD. 16 (6): 599–606. PMID 17229598.
- 1 2 Szeimies, R; Torezan, L; Niwa, A; Valente, N; Unger, P; Kohl, E; Schreml, S; Babilas, P; Karrer, S; Festa-Neto, C (July 2012). "Clinical, histopathological and immunohistochemical assessment of human skin field cancerization before and after photodynamic therapy.". British Journal of Dermatology. 167 (1): 150–159. doi:10.1111/j.1365-2133.2012.10887.x. PMID 22329784.
- ↑ Werner, RN; Stockfleth, E; Connolly, SM; et, al. (2015). "Evidence- and consensus-based (S3) Guidelines for the Treatment of Actinic Keratosis – International League of Dermatological Societies in cooperation with the European Dermatology Forum – Short version.". Journal of the European Academy of Dermatology and Venereology. 29: 2069–2079. doi:10.1111/jdv.13180.
- ↑ Szeimies, RM; Torezan, L; Niwa, A; Valente, N; Unger, P; Kohl, E; Schreml, S; Babilas, P; Karrer, S; Festa-Neto, C (July 2012). "Clinical, histopathological and immunohistochemical assessment of human skin field cancerization before and after photodynamic therapy.". British Journal of Dermatology. 167 (1): 150–159. doi:10.1111/j.1365-2133.2012.10887.x. PMID 22329784.
- ↑ Ibrahim, SF; Brown, MD (July 2009). "Actinic Keratoses. A Comprehensive Update.". The Journal of clinical and aesthetic dermatology. 2 (7): 43–48. PMC 2924136
. PMID 20729970. - ↑ Thai, K; Fergin, P; Freeman, M; et, al. (September 2004). "A prospective study of the use of cryosurgery for the treatment of actinic keratoses.". International Journal of Dermatology. 43: 687–692. doi:10.1111/j.1365-4632.2004.02056.x. PMID 15357755.
- ↑ Taylor, CR; Stern, RS; Leyden, JJ; Gilchrest, BA (Jan 1990). "Photoaging/photodamage and photoprotection.". Journal of the American Academy of Dermatology. 22 (1): 1–15. doi:10.1016/0190-9622(90)70001-x. PMID 2405022.
- 1 2 3 Duncan, KO; Geisse, JK (2008). Epithelial precancerous lesions. In: Fitzpatrick's Dermatology in General Medicine. McGraw-Hill. p. 1007.
- ↑ Butani, AK; Arbesfeld, DM; Schwartz, RA (Apr 2005). "Premalignant and early squamous cell carcinoma.". Clinics in plastic surgery. 32 (2): 223–35. doi:10.1016/j.cps.2004.11.001. PMID 15814119.
- ↑ Yu, RCH (1991). "A histopathological study of 643 cutaneous horns". Br J Dermatol. 124: 449–452. doi:10.1111/j.1365-2133.1991.tb00624.x. PMID 2039721.
- ↑ Zalaudek, I; Ferrara, G; Leinweber, B; Mercogliano, A; D'Ambrosio, A; Argenziano, G (Dec 2005). "Pitfalls in the clinical and dermoscopic diagnosis of pigmented actinic keratosis.". Journal of the American Academy of Dermatology. 53 (6): 1071–4. doi:10.1016/j.jaad.2005.08.052. PMID 16310072.
- ↑ Bagazgoitia, L; Cuevas, J; Juarranz, A (Feb 2010). "Expression of p53 and p16 in actinic keratosis, bowenoid actinic keratosis and Bowen's disease.". Journal of the European Academy of Dermatology and Venereology : JEADV. 24 (2): 228–30. doi:10.1111/j.1468-3083.2009.03337.x. PMID 19515076.
- ↑ Quaedvlieg, PJ; Tirsi, E; Thissen, MR; Krekels, GA (Jul–Aug 2006). "Actinic keratosis: how to differentiate the good from the bad ones?". European journal of dermatology : EJD. 16 (4): 335–9. PMID 16935787.
- 1 2 3 4 5 6 7 8 9 10 11 Rossi, R; Mori, M; Lotti, T (Sep 2007). "Actinic keratosis.". International Journal of Dermatology. 46 (9): 895–904. doi:10.1111/j.1365-4632.2007.03166.x. PMID 17822489.
- ↑ Röwert-Huber, J; Patel, M; Forschner, T; Ulrich, C; Eberle, J; Kerl, H; Sterry, W; Stockfleth, E (May 2007). "Actinic keratosis is an early in situ squamous cell carcinoma: a proposal for reclassification". British Journal of Dermatology. 156: 8–12. doi:10.1111/j.1365-2133.2007.07860.x.
- 1 2 Taguchi, M; Watanabe, S; Yashima, K; Murakami, Y; Sekiya, T; Ikeda, S (October 1994). "Aberrations of the tumor suppressor p53 gene and p53 protein in solar keratosis in human skin.". The Journal of Investigative Dermatology. 103 (4): 500–3. doi:10.1111/1523-1747.ep12395643. PMID 7930674.
- 1 2 Nelson, MA; Einspahr, JG; Alberts, DS; Balfour, CA; Wymer, JA; Welch, KL; Salasche, SJ; Bangert, JL; Grogan, TM; Bozzo, PO (30 September 1994). "Analysis of the p53 gene in human precancerous actinic keratosis lesions and squamous cell cancers.". Cancer Letters. 85 (1): 23–9. doi:10.1016/0304-3835(94)90234-8. PMID 7923098.
- ↑ Weissenborn, SJ; Nindl, I; Purdie, K; Harwood, C; Proby, C; Breuer, J; Majewski, S; Pfister, H; Wieland, U (July 2005). "Human papillomavirus-DNA loads in actinic keratoses exceed those in non-melanoma skin cancers". The Journal of Investigative Dermatology. 125 (1): 93–7. doi:10.1111/j.0022-202X.2005.23733.x. PMID 15982308.
- 1 2 3 Engel, A; Johnson, ML; Haynes, SG (January 1988). "Health effects of sunlight exposure in the United States. Results from the first National Health and Nutrition Examination Survey, 1971–1974.". Archives of dermatology. 124 (1): 72–9. doi:10.1001/archderm.1988.01670010036018. PMID 3257372.
- ↑ Thompson, SC; Jolley, D; Marks, R (14 October 1993). "Reduction of solar keratoses by regular sunscreen use.". The New England Journal of Medicine. 329 (16): 1147–51. doi:10.1056/nejm199310143291602. PMID 8377777.
- 1 2 3 4 Frost, CA; Green, AC; Williams, GM (December 1998). "The prevalence and determinants of solar keratoses at a subtropical latitude (Queensland, Australia).". The British journal of dermatology. 139 (6): 1033–9. doi:10.1046/j.1365-2133.1998.02560.x. PMID 9990367.
- 1 2 Flohil, SC; van der Leest, RJ; Dowlatshahi, EA; Hofman, A; de Vries, E; Nijsten, T (August 2013). "Prevalence of actinic keratosis and its risk factors in the general population: the Rotterdam Study.". The Journal of Investigative Dermatology. 133 (8): 1971–8. doi:10.1038/jid.2013.134. PMID 23510990.
- ↑ Actinic Keratosis (AK) at Clinuvel Pharmaceuticals
- ↑ McBride, P; Neale, R; Pandeya, N; Green, A (July 2007). "Sun-related factors, betapapillomavirus, and actinic keratoses: a prospective study.". Archives of dermatology. 143 (7): 862–8. doi:10.1001/archderm.143.7.862. PMID 17638729.
- ↑ Ackerman, AB (1997). "Respect at last for solar keratosis". Dermatopathology (3): 101–103.
- 1 2 3 4 5 6 Schaffer (2012). Jean L. Bolognia; Joseph L. Jorizzo; Julie V., eds. Dermatology (3rd ed.). [Philadelphia]: Elsevier Saunders. ISBN 9780723435716.
- 1 2 Cuellar, F; Vilalta, Antonio; Puig, Susana; Palou, Josep; Salerni, Gabriel (June 2009) [2009]. "New Dermoscopic Pattern in Actinic Keratosis and Related Conditions". Arch Dermatol (145th ed.). 6 (6): 732. doi:10.1001/archdermatol.2009.86.
- ↑ Peris, K; Micantonio, T; Piccolo, D; Fargnoli, MC (November 2007). "Dermoscopic features of actinic keratosis.". Journal der Deutschen Dermatologischen Gesellschaft = Journal of the German Society of Dermatology : JDDG. 5 (11): 970–6. doi:10.1111/j.1610-0387.2007.06318.x. PMID 17908179.
- ↑ Akay, BN; Kocyigit, P; Heper, AO; Erdem, C (December 2010). "Dermatoscopy of flat pigmented facial lesions: diagnostic challenge between pigmented actinic keratosis and lentigo maligna.". The British journal of dermatology. 163 (6): 1212–7. doi:10.1111/j.1365-2133.2010.10025.x. PMID 21083845.
- ↑ Leffell, DJ (January 2000). "The scientific basis of skin cancer.". Journal of the American Academy of Dermatology. 42 (1 Pt 2): 18–22. doi:10.1067/mjd.2000.103340. PMID 10607352.
- ↑ Weissenborn, SJ; Nindl, I; Purdie, K; Harwood, C; Proby, C; Breuer, J; Majewski, S; Pfister, H; Wieland, U (July 2005). "Human papillomavirus-DNA loads in actinic keratoses exceed those in non-melanoma skin cancers". The Journal of Investigative Dermatology. 125 (1): 93–7. doi:10.1111/j.0022-202X.2005.23733.x. PMID 15982308.
- ↑ Robins, P; Gupta, AK (August 2002). "The use of topical fluorouracil to treat actinic keratosis.". Cutis. 70 (2 Suppl): 4–7. PMID 12353679.
- ↑ Gupta, AK; Paquet, M (August 2013). "Network meta-analysis of the outcome 'participant complete clearance' in non-immunosuppressed participants of eight interventions for actinic keratosis: a follow-up on a Cochrane review.". The British Journal of Dermatology. 169 (2): 250–9. doi:10.1111/bjd.12343. PMID 23550994.
- ↑ Askew, DA; Mickan, SM; Soyer, HP; Wilkinson, D (May 2009). "Effectiveness of 5-fluorouracil treatment for actinic keratosis--a systematic review of randomized controlled trials.". International Journal of Dermatology. 48 (5): 453–63. doi:10.1111/j.1365-4632.2009.04045.x. PMID 19416373.
- ↑ Gupta, AK; Davey, V; Mcphail, H (October 2005). "Evaluation of the effectiveness of imiquimod and 5-fluorouracil for the treatment of actinic keratosis: Critical review and meta-analysis of efficacy studies.". Journal of cutaneous medicine and surgery. 9 (5): 209–14. doi:10.1007/s10227-005-0148-6. PMID 16502198.
- ↑ "New treatments for actinic keratoses". The Medical letter on drugs and therapeutics. 44 (1133): 57–8. 2002. PMID 12080275.
- 1 2 Correale, CE (2002). "Actinic keratoses: new treatment options.". Advances in dermatology. 18: 339–55. PMID 12528411.
- 1 2 Hadley, G; Derry, S; Moore, RA (June 2006). "Imiquimod for actinic keratosis: systematic review and meta-analysis.". The Journal of Investigative Dermatology. 126 (6): 1251–5. doi:10.1038/sj.jid.5700264. PMID 16557235.
- 1 2 Swanson, N; Abramovits, W; Berman, B; Kulp, J; Rigel, DS; Levy, S (April 2010). "Imiquimod 2.5% and 3.75% for the treatment of actinic keratoses: results of two placebo-controlled studies of daily application to the face and balding scalp for two 2-week cycles.". Journal of the American Academy of Dermatology. 62 (4): 582–90. doi:10.1016/j.jaad.2009.07.004. PMID 20133013.
- ↑ Rosen, RH; Gupta, AK; Tyring, SK (March 2012). "Dual mechanism of action of ingenol mebutate gel for topical treatment of actinic keratoses: rapid lesion necrosis followed by lesion-specific immune response.". Journal of the American Academy of Dermatology. 66 (3): 486–93. doi:10.1016/j.jaad.2010.12.038. PMID 22055282.
- ↑ Picato Gel label
- ↑ Lebwohl, M; Swanson, N; Anderson, LL; Melgaard, A; Xu, Z; Berman, B (15 March 2012). "Ingenol mebutate gel for actinic keratosis.". The New England Journal of Medicine. 366 (11): 1010–9. doi:10.1056/nejmoa1111170. PMID 22417254.
- ↑ Lebwohl, M; Shumack, S; Stein Gold, L; Melgaard, A; Larsson, T; Tyring, SK (June 2013). "Long-term follow-up study of ingenol mebutate gel for the treatment of actinic keratoses.". JAMA dermatology. 149 (6): 666–70. doi:10.1001/jamadermatol.2013.2766. PMID 23553119.
- 1 2 Pirard, D; Vereecken, P; Mélot, C; Heenen, M (November 2005). "Three percent diclofenac in 2.5% hyaluronan gel in the treatment of actinic keratoses: a meta-analysis of the recent studies.". Archives of dermatological research. 297 (5): 185–9. doi:10.1007/s00403-005-0601-9. PMID 16235081.
- ↑ Kang, S; Goldfarb, MT; Weiss, JS; Metz, RD; Hamilton, TA; Voorhees, JJ; Griffiths, CE (July 2003). "Assessment of adapalene gel for the treatment of actinic keratoses and lentigines: a randomized trial.". Journal of the American Academy of Dermatology. 49 (1): 83–90. doi:10.1067/mjd.2003.451. PMID 12833014.
- ↑ Carneiro, RV; Sotto, MN; Azevedo, LS; Ianhez, LE; Rivitti, EA (February 2005). "Acitretin and skin cancer in kidney transplanted patients. Clinical and histological evaluation and immunohistochemical analysis of lymphocytes, natural killer cells and Langerhans' cells in sun exposed and sun protected skin.". Clinical transplantation. 19 (1): 115–21. doi:10.1111/j.1399-0012.2004.00311.x. PMID 15659144.
- ↑ Zimmerman, EE; Crawford, P (15 December 2012). "Cutaneous cryosurgery.". American family physician. 86 (12): 1118–24. PMID 23316984.
- ↑ Lubritz, RR; Smolewski, SA (November 1982). "Cryosurgery cure rate of actinic keratoses.". Journal of the American Academy of Dermatology. 7 (5): 631–2. doi:10.1016/s0190-9622(82)70143-4. PMID 7142470.
- ↑ Thai, K. E.; Fergin, P; Freeman, M; Vinciullo, C; Francis, D; Spelman, L; Murrell, D; Anderson, C; Weightman, W; Reid, C; Watson, A; Foley, P (2004). "A prospective study of the use of cryosurgery for the treatment of actinic keratoses". International Journal of Dermatology. 43 (9): 687–92. doi:10.1111/j.1365-4632.2004.02056.x. PMID 15357755.
- ↑ Kuflik, EG (December 1994). "Cryosurgery updated.". Journal of the American Academy of Dermatology. 31 (6): 925–44; quiz 944–6. doi:10.1016/s0190-9622(94)70261-6. PMID 7962774.
- ↑ Ericson MB, Wennberg AM, Larkö O (February 2008). "Review of photodynamic therapy in actinic keratosis and basal cell carcinoma". Ther. Clin. Risk Manag. 4 (1): 1–9. PMC 2503644
. PMID 18728698. - ↑ Hauschild, A; Popp, G; Stockfleth, E; Meyer, KG; Imberger, D; Mohr, P; Itschert, G; Kaufmann, R; Neuber, K; Frambach, Y; Gollnick, H; Brunnert, M; Stocker, M; Ortland, C; Karrer, S (February 2009). "Effective photodynamic therapy of actinic keratoses on the head and face with a novel, self-adhesive 5-aminolaevulinic acid patch.". Experimental Dermatology. 18 (2): 116–21. doi:10.1111/j.1600-0625.2008.00770.x. PMID 18643849.
- ↑ Patel, G; Armstrong, A. W.; Eisen, D. B. (2014). "Efficacy of Photodynamic Therapy vs Other Interventions in Randomized Clinical Trials for the Treatment of Actinic Keratoses: A Systematic Review and Meta-analysis". JAMA Dermatology. 150: 1281–8. doi:10.1001/jamadermatol.2014.1253. PMID 25162181.
- ↑ Gupta, AK; Paquet, M; Villanueva, E; Brintnell, W (12 December 2012). "Interventions for actinic keratoses". The Cochrane database of systematic reviews. 12: CD004415. doi:10.1002/14651858.CD004415.pub2. PMID 23235610.
- ↑ Kaufmann, R; Spelman, L; Weightman, W; Reifenberger, J; Szeimies, RM; Verhaeghe, E; Kerrouche, N; Sorba, V; Villemagne, H; Rhodes, LE (May 2008). "Multicentre intraindividual randomized trial of topical methyl aminolaevulinate-photodynamic therapy vs. cryotherapy for multiple actinic keratoses on the extremities.". The British journal of dermatology. 158 (5): 994–9. doi:10.1111/j.1365-2133.2008.08488.x. PMID 18341663.
- ↑ Feldman, SR; Fleischer AB, Jr; Williford, PM; Jorizzo, JL (January 1999). "Destructive procedures are the standard of care for treatment of actinic keratoses.". Journal of the American Academy of Dermatology. 40 (1): 43–7. doi:10.1016/s0190-9622(99)70526-8. PMID 9922011.
- ↑ Coleman Wp, 3rd; Yarborough, J. M.; Mandy, S. H. (1996). "Dermabrasion for prophylaxis and treatment of actinic keratoses". Dermatologic Surgery. 22 (1): 17–21. doi:10.1111/j.1524-4725.1996.tb00565.x. PMID 8556252.
- ↑ Iyer, Shilesh; Friedli, Andre; Bowes, Leyda; Kricorian, Greg; Fitzpatrick, Richard E. (February 2004). "Full face laser resurfacing: Therapy and prophylaxis for actinic keratoses and non-melanoma skin cancer". Lasers in Surgery and Medicine. 34 (2): 114–119. doi:10.1002/lsm.20012. PMID 15004822.
- ↑ Massey, Ralph A.; Eliezri, Yehuda D. (June 1999). "A Case Report of Laser Resurfacing as a Skin Cancer Prophylaxis". Dermatologic Surgery. 25 (6): 513–516. doi:10.1046/j.1524-4725.1999.08260.x. PMID 10469105.
- ↑ Monheit, GD (July 2001). "Medium-depth chemical peels.". Dermatologic clinics. 19 (3): 413–25, vii. doi:10.1016/s0733-8635(05)70282-5. PMID 11599398.
- ↑ Drake, LA; Ceilley, RI; Cornelison, RL; Dobes, WL; Dorner, W; Goltz, RW; Graham, GF; Lewis, CW; Salasche, SJ; Turner, ML (January 1995). "Guidelines of care for actinic keratoses. Committee on Guidelines of Care.". Journal of the American Academy of Dermatology. 32 (1): 95–8. doi:10.1016/0190-9622(95)90191-4. PMID 7529779.
- ↑ Lawrence, N; Cox, SE; Cockerell, CJ; Freeman, RG; Cruz PD, Jr (February 1995). "A comparison of the efficacy and safety of Jessner's solution and 35% trichloroacetic acid vs 5% fluorouracil in the treatment of widespread facial actinic keratoses.". Archives of dermatology. 131 (2): 176–81. doi:10.1001/archderm.131.2.176. PMID 7857114.
- 1 2 Marks, R; Rennie, G; Selwood, TS (9 April 1988). "Malignant transformation of solar keratoses to squamous cell carcinoma.". Lancet. 1 (8589): 795–7. doi:10.1016/s0140-6736(88)91658-3. PMID 2895318.
- 1 2 Criscione, VD; Weinstock, MA; Naylor, MF; Luque, C; Eide, MJ; Bingham, SF; Department of Veteran Affairs Topical Tretinoin Chemoprevention Trial, Group (1 June 2009). "Actinic keratoses: Natural history and risk of malignant transformation in the Veterans Affairs Topical Tretinoin Chemoprevention Trial.". Cancer. 115 (11): 2523–30. doi:10.1002/cncr.24284. PMID 19382202.
- 1 2 Werner, RN; Sammain, A; Erdmann, R; Hartmann, V; Stockfleth, E; Nast, A (Sep 2013). "The natural history of actinic keratosis: a systematic review.". The British journal of dermatology. 169 (3): 502–18. doi:10.1111/bjd.12420. PMID 23647091.
- ↑ Gupta, AK; Cooper, EA; Feldman, SR; Fleischer AB, Jr (August 2002). "A survey of office visits for actinic keratosis as reported by NAMCS, 1990-1999. National Ambulatory Medical Care Survey.". Cutis. 70 (2 Suppl): 8–13. PMID 12353680.
- ↑ Hensen, P; Müller, ML; Haschemi, R; Ständer, H; Luger, TA; Sunderkötter, C; Schiller, M. "Predisposing factors of actinic keratosis in a North-West German population.". European journal of dermatology. 19 (4): 345–54. doi:10.1684/ejd.2009.0706. PMID 19470418.
- ↑ Salasche, SJ (January 2000). "Epidemiology of actinic keratoses and squamous cell carcinoma". Journal of the American Academy of Dermatology. 42 (1 Pt 2): 4–7. doi:10.1067/mjd.2000.103342. PMID 10607349.
- 1 2 Green, A; Beardmore, G; Hart, V; Leslie, D; Marks, R; Staines, D (December 1988). "Skin cancer in a Queensland population.". Journal of the American Academy of Dermatology. 19 (6): 1045–52. doi:10.1016/s0190-9622(88)70270-4. PMID 3204179.
- ↑ Salasche, SJ (January 2000). "Epidemiology of actinic keratoses and squamous cell carcinoma.". Journal of the American Academy of Dermatology. 42 (1 Pt 2): 4–7. doi:10.1067/mjd.2000.103342. PMID 10607349.
- ↑ Marks, R; Jolley, D; Lectsas, S; Foley, P (15 January 1990). "The role of childhood exposure to sunlight in the development of solar keratoses and non-melanocytic skin cancer.". The Medical journal of Australia. 152 (2): 62–6. PMID 2296232.
- 1 2 Kivisaari, Atte (2013). "Squamous cell carcinoma of the skin: Emerging need for novel biomarkers". World Journal of Clinical Oncology. 4 (4): 85. doi:10.5306/wjco.v4.i4.85.
- ↑ Szeimies, RM; Bichel, J; Ortonne, JP; Stockfleth, E; Lee, J; Meng, TC (July 2008). "A phase II dose-ranging study of topical resiquimod to treat actinic keratosis.". The British journal of dermatology. 159 (1): 205–10. doi:10.1111/j.1365-2133.2008.08615.x. PMID 18476957.
- ↑ Barnetson, RS; Ooi, TK; Zhuang, L; Halliday, GM; Reid, CM; Walker, PC; Humphrey, SM; Kleinig, MJ (August 2006). "[Nle4-D-Phe7]-alpha-melanocyte-stimulating hormone significantly increased pigmentation and decreased UV damage in fair-skinned Caucasian volunteers.". The Journal of Investigative Dermatology. 126 (8): 1869–78. doi:10.1038/sj.jid.5700317. PMID 16763547.
- ↑ Amini, S; Viera, MH; Valins, W; Berman, B (Jun 2010). "Nonsurgical innovations in the treatment of nonmelanoma skin cancer.". The Journal of clinical and aesthetic dermatology. 3 (6): 20–34. PMC 2921754
. PMID 20725548.
External links
- Patient information leaflet Solaraze®
- SPC Efudix®
- American Academy of Dermatology
- Actinic Keratosis photo library at Dermnet