Squamous cell carcinoma
| Squamous cell carcinoma | |
|---|---|
| Synonyms | epidermoid carcinoma, squamous cell epithelioma |
![]() | |
| SCC of the skin tends to arise from pre-malignant lesions, actinic keratoses; surface is usually scaly and often ulcerates (as shown here). | |
| Classification and external resources | |
| Specialty | Dermatology, plastic surgery, otorhinolaryngology |
| ICD-10 | C44 |
| ICD-9-CM | 199 |
| ICD-O | M8070/3 |
| MedlinePlus | 000829 |
| eMedicine | derm/401 |
| MeSH | D002294 |
Squamous cell carcinoma (SCC or SqCC), also known as squamous cell cancer, is cancer that begins from squamous cells, a type of skin cell.[1] It is one of the main types of skin cancer. Cancers that involve the anus, cervix, head and neck, and vagina are also most often squamous cell cancers.[1] The esophagus, urinary bladder, prostate, and lung are other possible sites.
Frequent exposure to direct, strong sunlight without adequate topical protection also increases risk.[2] Despite sharing the name squamous cell carcinoma, the SCCs of different body sites can show differences in their presenting symptoms, natural history, prognosis, and response to treatment.
SCC typically initially occurs in the sixth decade of life (the 50s), but is most common in the eighth decade (the 70s). It is twice as common in men as in women. People with darker skin have a lower risk than individuals with lighter colored skin. Populations with fair skin, light hair and eyes are at highest risk of developing the disease.
Signs and symptoms


Symptoms are highly variable depending on the involved organs.
SCC of the skin begins as a small nodule and as it enlarges the center becomes necrotic and sloughs and the nodule turns into an ulcer.
- The lesion caused by SCC is often asymptomatic
- Ulcer or reddish skin plaque that is slow growing
- Intermittent bleeding from the tumor, especially on the lip
- The clinical appearance is highly variable
- Usually the tumor presents as an ulcerated lesion with hard, raised edges
- The tumor may be in the form of a hard plaque or a papule, often with an opalescent quality, with tiny blood vessels
- The tumor can lie below the level of the surrounding skin, and eventually ulcerates and invades the underlying tissue
- The tumor commonly presents on sun-exposed areas (e.g. back of the hand, scalp, lip, and superior surface of pinna)
- On the lip, the tumor forms a small ulcer, which fails to heal and bleeds intermittently
- Evidence of chronic skin photodamage, such as multiple actinic keratoses (solar keratoses)
- The tumor grows relatively slowly
- Unlike basal-cell carcinoma (BCC), squamous cell carcinoma (SCC) has a substantial risk of metastasis
- Risk of metastasis is higher in SCC arising in scars, on the lower lips or mucosa, and occurring in immunosuppressed patients.
About one-third of lingual and mucosal tumors metastasize before diagnosis (these are often related to tobacco and alcohol use).
Causes
Human papilloma virus
Human papilloma virus (HPV) has been associated with SCC of the oropharynx, lung,[3] fingers,[4] and anogenital region.
By region
Skin
Squamous cell carcinoma is the second-most common cancer of the skin (after basal-cell carcinoma but more common than melanoma). It usually occurs in areas exposed to the sun. Sunlight exposure and immunosuppression are risk factors for SCC of the skin, with chronic sun exposure being the strongest environmental risk factor.[5] There is a risk of metastasis starting more than 10 years after diagnosable appearance of squamous cell carcinoma, but the risk is low, though much higher than with basal-cell carcinoma. Squamous cell cancers of the lip and ears have high rates of local recurrence and distant metastasis (20–50%).[6] In a recent study, it has also been shown that the deletion or severe down-regulation of a gene titled Tpl2 (tumor progression locus 2) may be involved in the progression of normal keratinocytes into becoming squamous cell carcinoma.[7]
SCCs represent about 20% of the non-melanoma skin cancers, but due to their more obvious nature and growth rates, they represent 90% of all head and neck cancers that are initially presented.[8] The vast majority of SCCs are those of the skin, and like all skin cancers, are the result of ultraviolet exposure. SCCs usually occur on portions of the body commonly exposed to the Sun; the face, ears, neck, hands, or arm. The main symptom is a growing bump that may have a rough, scaly surface and flat reddish patches. Unlike basal-cell carcinomas, SCCs carry a significant risk of metastasis, often spreading to local nerves or the lymph nodes,[9] and are thus more dangerous. During its earliest stages, it is sometimes known as Bowen's disease.
Squamous cell carcinoma are generally treated by surgical excision, Mohs surgery or electrodessication and curettage. Non-surgical options for the treatment of cutaneous SCC include topical chemotherapy, topical immune response modifiers, photodynamic therapy (PDT), radiotherapy, and systemic chemotherapy. The use of topical therapy, such as Imiquimod cream and PDT is generally limited to premalignant (i.e., actinic keratoses) and in situ lesions. Radiation therapy is a primary treatment option for patients in whom surgery is not feasible and is an adjuvant therapy for those with metastatic or high-risk cutaneous SCC. At this time, systemic chemotherapy is used exclusively for patients with metastatic disease.
Immunosuppressive medications
People who have received solid organ transplants are at a significantly increased risk of developing squamous cell carcinoma due to the use of chronic immunosuppressive medication. While the risk of developing all skin cancers increases with these medications, this effect is particularly severe for SCC, with hazard ratios as high as 250 being reported, versus 40 for basal cell carcinoma.[10] The incidence of SCC development increases with time posttransplant.[11] Heart and lung transplant recipients are at the highest risk of developing SCC due to more intensive immunosuppressive medications used. Squamous cell cancers of the skin in individuals on immunotherapy or suffering from lymphoproliferative disorders (i.e. leukemia) tend to be much more aggressive, regardless of their location.[12] The risk of SCC, and non-melanoma skin cancers generally, varies with the immunosuppressive drug regimen chosen. The risk is greatest with calcineurin inhibitors like cyclosporine and tacrolimus, and least with mTOR inhibitors, such as sirolimus and everolimus. The antimetabolites azathioprine and mycophenolic acid have an intermediate risk profile.[13]
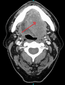
Head and neck cancer
_squamous_cell_carcinoma_histopathology.jpg)
Ninety percent[14] of cases of head and neck cancer (cancer of the mouth, nasal cavity, nasopharynx, throat and associated structures) are due to squamous cell carcinoma.
Thyroid
Primary squamous cell thyroid carcinoma shows an aggressive biological phenotype resulting in poor prognosis for patients.[15]
Esophagus
Esophageal cancer may be due to either squamous cell carcinoma (ESCC) or adenocarcinoma (EAC). SCCs tend to occur closer to the mouth, while adenocarcinomas occur closer to the stomach. Dysphagia (difficulty swallowing, solids worse than liquids) and painful swallowing are common initial symptoms. If the disease is localized, surgical removal of the affected esophagus may offer the possibility of a cure. If the disease has spread, chemotherapy and radiotherapy are commonly used.
Lung

When associated with the lung, it is typically a centrally located large cell cancer (non-small cell lung cancer or NSCLC). It often has a paraneoplastic syndrome causing ectopic production of parathyroid hormone-related protein (PTHrP), resulting in hypercalcemia, however paraneoplastic syndrome is more commonly associated with small cell lung cancer.
It is primarily due to smoking.[16]
Penis
When squamous cell carcinoma in situ (Bowen's disease) is found on the penis, it is called erythroplasia of Queyrat.[17]
Prostate
When associated with the prostate, squamous cell carcinoma is very aggressive in nature. It is difficult to detect as there is no increase in prostate specific antigen levels seen; meaning that the cancer is often diagnosed at an advanced stage.
Vagina and cervix
Vaginal squamous cell carcinoma spreads slowly and usually stays near the vagina, but may spread to the lungs and liver. This is the most common type of vaginal cancer.
Bladder
Most bladder cancer is transitional cell, but bladder cancer associated with Schistosomiasis is often squamous cell carcinoma.
Diagnosis

Diagnosis is confirmed via biopsy of the tissue(s) suspected to be affected by SCC. For the skin, look under skin biopsy.
The pathological appearance of a squamous cell cancer varies with the depth of the biopsy. For that reason, a biopsy including the subcutaneous tissue and basalar epithelium, to the surface is necessary for correct diagnosis. The performance of a shave biopsy (see skin biopsy) might not acquire enough information for a diagnosis. An inadequate biopsy might be read as actinic keratosis with follicular involvement. A deeper biopsy down to the dermis or subcutaneous tissue might reveal the true cancer. An excision biopsy is ideal, but not practical in most cases. An incisional or punch biopsy is preferred. A shave biopsy is least ideal, especially if only the superficial portion is acquired.
Classification
Cancer can be considered a very large and exceptionally heterogeneous family of malignant diseases, with squamous cell carcinomas comprising one of the largest subsets.[18][19][20] All squamous cell carcinoma lesions are thought to begin via the repeated, uncontrolled division of cancer stem cells of epithelial lineage or characteristics. Squamous cell carcinomas arise from squamous cells, which are flat cells that line many areas of the body. Accumulation of these cancer cells causes a microscopic focus of abnormal cells that are, at least initially, locally confined within the specific tissue in which the progenitor cell resided. This condition is called squamous cell carcinoma in situ, and it is diagnosed when the tumor has not yet penetrated the basement membrane or other delimiting structure to invade adjacent tissues. Once the lesion has grown and progressed to the point where it has breached, penetrated, and infiltrated adjacent structures, it is referred to as "invasive" squamous cell carcinoma. Once a carcinoma becomes invasive, it is able to spread to other organs and cause the formation of a metastasis, or "secondary tumor".
Tissue of origin
The International Classification of Diseases for Oncology (ICD-O) system lists a number of morphological subtypes and variants of malignant squamous cell neoplasms, including:[21]
- Papillary thyroid carcinoma (Code 8050/3)
- Verrucous squamous cell carcinoma (Code 8051/3)
- Papillary squamous cell carcinoma (Code 8052/3)
- Squamous cell carcinoma (Code 8070/3)
- Large cell keratinizing squamous cell carcinoma (Code 8071/3)
- Large cell nonkeratinizing squamous cell carcinoma (Code 8072/3)
- Small cell keratinizing squamous cell carcinoma (Code 8073/3)
- Spindle cell squamous cell carcinoma(Code 8074/3)
- Adenoid/pseudoglandular squamous cell carcinoma(Code 8075/3)
- Intraepidermal squamous cell carcinoma (Code 8081/3)
- Lymphoepithelial carcinoma (Code 8082/3)
Other variants of squamous cell carcinoma are recognized under other systems, such as:
Morphology
- Bowen's disease is a sunlight-induced skin disease, and is considered to be an early form of squamous cell carcinoma.
- Erythroplasia of Queyrat
- Keratoacanthoma is a low-grade malignancy of the skin. It originates in the pilo-sebaceous glands, and is similar in clinical presentation and microscopic analysis to squamous cell carcinoma, except that it contains a central keratin plug. Statistically, it is less likely to become invasive than squamous cell carcinoma.
- Marjolin's ulcer is a type of squamous cell carcinoma that arises from a non-healing ulcer or burn wound.
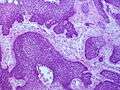
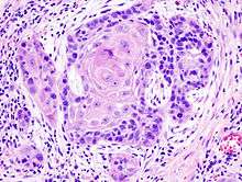
Microscopic appearance
One method of classifying squamous cell carcinomas is by their appearance under microscope. Subtypes may include:
- Adenoid squamous cell carcinoma' (also known as "Pseudoglandular squamous cell carcinoma"), characterized by a tubular microscopic pattern and keratinocyte acantholysis.[22]
- Basaloid squamous cell carcinoma is characterized by a predilection for the tongue base.[22]
- Clear-cell squamous cell carcinoma (also known as "Clear-cell carcinoma of the skin") is characterized by keratinocytes that appear clear as a result of hydropic swelling.[22]
- Signet-ring-cell squamous cell carcinoma (occasionally rendered as "signet-ring-cell squamous cell carcinoma") is a histological variant characterized by concentric rings composed of keratin and large vacuoles corresponding to markedly dilated endoplasmic reticulum.[22] These vacuoles grow to such an extent that they radically displace the cell nucleus toward the cell membrane, giving the cell a distinctive superficial resemblance to a "signet ring" when viewed under a microscope.
- Spindle-cell squamous cell carcinoma (also known as "Spindle-cell carcinoma"[23]) is a subtype characterized by spindle-shaped atypical cells.[22]
SCC is a histologically distinct form of cancer. It arises from the uncontrolled multiplication of cells of epithelium, or cells showing particular cytological or tissue architectural characteristics of squamous cell differentiation, such as the presence of keratin, tonofilament bundles, or desmosomes, structures involved in cell-to-cell adhesion.
- Adenoid squamous cell carcinoma
- Basaloid squamous cell carcinoma
- Clear-cell squamous cell carcinoma
- Spindle-cell squamous cell carcinoma
Prevention
Appropriate sun-protective clothing, use of broad-spectrum (UVA/UVB) sunscreen with at least SPF 50, and avoidance of intense sun exposure may prevent skin cancer.[24]
Management
Most squamous cell carcinomas are removed with surgery. A few selected cases are treated with topical medication. Surgical excision with a free margin of healthy tissue is a frequent treatment modality. Radiotherapy, given as external beam radiotherapy or as brachytherapy (internal radiotherapy), can also be used to treat squamous cell carcinomas.
Mohs surgery is frequently utilized; considered the treatment of choice for squamous cell carcinoma of the skin, physicians have also utilized the method for the treatment of squamous cell carcinoma of the mouth, throat, and neck.[25] An equivalent method of the CCPDMA standards can be utilized by a pathologist in the absence of a Mohs-trained physician. Radiation therapy is often used afterward in high risk cancer or patient types.
Electrodessication and curettage or EDC can be done on selected squamous cell carcinoma of the skin. In areas where SCC's are known to be non-aggressive, and where the patient is not immunosuppressed, EDC can be performed with good to adequate cure rate.
High-risk squamous cell carcinoma, as defined by those occurring around the eye, ear, or nose, is of large size, is poorly differentiated, and grows rapidly, requires more aggressive, multidisciplinary management.
Nodal spread:
- Surgical block dissection if palpable nodes or in cases of Marjolin's ulcers but the benefit of prophylactic block lymph node dissection with Marjolin's ulcers is not proven.
- Radiotherapy
- Adjuvant therapy may be considered in those with high-risk SCC even in the absence of evidence for local mestastasis. Imiquimod (Aldara) has been used with success for squamous cell carcinoma in situ of the skin and the penis, but the morbidity and discomfort of the treatment is severe. An advantage is the cosmetic result: after treatment, the skin resembles normal skin without the usual scarring and morbidity associated with standard excision. Imiquimod is not FDA-approved for any squamous cell carcinoma.
In 2007, Australian biopharmaceutical company Clinuvel Pharmaceuticals Limited began clinical trials with an experimental treatment, a melanocyte-stimulating hormone called afamelanotide (formerly CUV1647)[26] to provide photoprotection for organ transplant patients against squamous cell carcinoma of the skin and actinic keratosis.[27][28]
In general, squamous cell carcinomas have a high risk of local recurrence, and up to 50% do recur.[29] Frequent skin exams with a dermatologist is recommended after treatment.
Prognosis
The long-term outcome of squamous cell carcinomas is dependent upon several factors: the sub-type of the carcinoma, available treatments, location(s) and severity, and various patient health-related variables (accompanying diseases, age, etc.). Generally, the long-term outcome is positive, as less than 4% of Squamous cell carcinoma cases are at risk of metastasis.[30][31] Some particular forms of squamous cell carcinomas have a higher mortality rate. One study found squamous cell carcinoma of the penis had a much greater rate of mortality than some other forms of squamous cell carcinoma, that is, about 23%,[32] although this relatively high mortality rate may be associated with possibly latent diagnosis of the disease due to patients avoiding genital exams until the symptoms are debilitating, or refusal to submit to a possibly scarring operation upon the genitalia. Squamous cell carcinoma occurring in the organ transplant population is also associated with a higher risk of mortality.[33]
Squamous cell carcinomas of the head and neck have been found to have a greater risk of metastasis to the local nervous system, lymphatic system, hence possibly reducing treatment efficacy.[34]
Carcinomas of the esophagus were found in one study to have a 58% mean rate of metastasis to local lymph nodes. In the same study, the number of lymph nodes compromised was correlated with a decrease of the survival rate.[35] The study found that in cases of lymphatic metastasis, the mean 5-year survival rate was 49.5%, with a decrease for every lymph node compromised.
Epidemiology

The incidence of squamous cell carcinoma continues to rise around the world. A recent study estimated that there are between 180,000 and 400,000 cases of SCC in the United States in 2013.[37] Risk factors for squamous cell carcinoma varies with age, gender, race, geography, and genetics. The incidence of SCC increases with age and the peak incidence is usually around 60 years old. Males are affected with SCC at a ratio of 2:1 in comparison to females. Caucasians are more likely to be affected, especially those with fair Celtic skin and chronically exposed to UV radiation. Squamous cell carcinoma of the skin is the most common among all sites of the body. Solid organ transplant recipients (heart, lung, liver, pancreas, among others) are also at a heightened risk of developing aggressive, high-risk SCC. There are also a few rare congenital diseases predisposed to cutaneous malignancy. In certain geographic locations, exposure to arsenic in well water or from industrial sources may significantly increase the risk of SCC.[5]
See also
References
- 1 2 "NCI Dictionary of Cancer Terms". National Cancer Institute. Retrieved 9 November 2016.
- ↑ "Squamous Cell Carcinoma - Causes and Risk Factors". Retrieved August 6, 2014.
- ↑ Yu Y, Yang A, Hu S, Yan H (June 2009). "Correlation of HPV-16/18 infection of human papillomavirus with lung squamous cell carcinomas in Western China". Oncol. Rep. 21 (6): 1627–32. doi:10.3892/or_00000397. PMID 19424646.
- ↑ "Recurrent Squamous Cell Carcinoma In Situ of the Finger". Retrieved 2010-09-22.
- 1 2 Cutaneous squamous cell carcinoma
- ↑ http://www.aad.org/public/publications/pamphlets/sun_squamous.html
- ↑ "Loss of tumor progression locus 2 (tpl2) enhances tumorigenesis and inflammation in two-stage skin carcinogenesis". Oncogene. 30: 389–97. 2011. doi:10.1038/onc.2010.447. PMC 3460638
. PMID 20935675. - ↑ "Head and Neck Cutaneous Squamous Cell Carcinoma: Epidemiology", Medscape
- ↑ "Head and Neck Cutaneous Squamous Cell Carcinoma:Background", Medscape
- ↑ Tessari G, Girolomoni G. Nonmelanoma skin cancer in solid organ transplant recipients: update on epidemiology, risk factors, and management. Dermatol Surg. 2012 Oct;38(10):1622-30. doi: 10.1111/j.1524-4725.2012.02520.x. Epub 2012 Jul 17.
- ↑ Zwald, FO (2011). "Skin cancer in solid organ transplant recipients: advances in therapy and management: part I. Epidemiology of skin cancer in solid organ transplant recipients.". Journal of American Academy of Dermatology. 65: 253–61; quiz 262. doi:10.1016/j.jaad.2010.11.062. PMID 21763561.
- ↑ "Squamous Cell Carcinoma: What it Looks Like".
- ↑ Kuschal C, Thoms KM, Schubert S, Schäfer A, Boeckmann L, Schön MP, et al. Skin cancer in organ transplant recipients: effects of immunosuppressive medications on DNA repair. Exp Dermatol. 2012;21:2–6.
- ↑ http://www.macmillan.org.uk/Cancerinformation/Cancertypes/Headneck/Aboutheadneckcancers/Typesofheadneckcancer.aspx
- ↑ MI Syed; M Stewart; S Syed; S Dahill; C Adams; DR Mclellan; LJ Clark. (2011). "Squamous cell carcinoma of the thyroid gland: primary or secondary disease?". The Journal of Laryngology & Otology. 125 (1): 3–9. doi:10.1017/S0022215110002070. PMID 20950510.
- ↑ al.], [edited by] Ruth A. Hannon ... [et (2010). Porth pathophysiology : concepts of altered health states (1st Canadian ed.). Philadelphia, PA: Wolters Kluwer Health/Lippincott Williams & Wilkins. p. 660. ISBN 978-1-60547-781-7.
- ↑ Erythroplasia of rat (Bowen Disease of the Glans Penis) at eMedicine
- ↑ Berman JJ (November 2004). "Tumor taxonomy for the developmental lineage classification of neoplasms". BMC Cancer. 4 (1): 88. doi:10.1186/1471-2407-4-88. PMC 535937
. PMID 15571625. - ↑ Berman JJ (March 2004). "Tumor classification: molecular analysis meets Aristotle". BMC Cancer. 4 (1): 10. doi:10.1186/1471-2407-4-10. PMC 415552
. PMID 15113444. - ↑ Travis, William D; Brambilla, Elisabeth; Muller-Hermelink, H Konrad; et al., eds. (2004). Pathology and Genetics of Tumours of the Lung, Pleura, Thymus and Heart (PDF). World Health Organization Classification of Tumours. Lyon: IARC Press. ISBN 92-832-2418-3. Retrieved 27 March 2010.
- ↑ World Health Organization. International Classification of Diseases for Oncology, Second Edition. Geneva, Switzerland: World Health Organization, 1990.
- 1 2 3 4 5 Freedberg, Irwin M.; et al., eds. (2003). Fitzpatrick's dermatology in general medicine (6th ed.). New York, NY [u.a.]: McGraw-Hill. p. 743. ISBN 0-07-138076-0.
- ↑ Rapini, Ronald P.; Bolognia, Jean L.; Jorizzo, Joseph L. (2007). Dermatology: 2-Volume Set. St. Louis: Mosby. ISBN 1-4160-2999-0.
- ↑ Gallagher, RP; Lee, TK; Bajdik, CD; Borugian, M (2010). "Ultraviolet radiation.". Chronic diseases in Canada. 29 (Suppl 1): 51–68. PMID 21199599.
- ↑ Gross, K.G.; et al. (1999). Mohs Surgery, Fundamentals and Techniques. Mosby.
- ↑ "World Health Organisation assigns CUV1647 generic name" (PDF). Clinuvel. 2008. Retrieved 2008-06-17.
- ↑ Clinuvel » Investors » FAQs
- ↑ PharmaAsia - Clinuvel’s Drug Begins Global Phase II Skin Cancer Trials
- ↑ Jennings, C (2010). "Management of High-Risk Cutaneous Squamous Cell Carcinoma". Journal of Clinical and Aesthetic Dermatology. 61: 282–5. PMID 2921745.
- ↑ Chollet A, Hohl D, Perrier P (April 2012). "[Risk of cutaneous squamous cell carcinomas: the role of clinical and pathological reports]". Rev Med Suisse. 8 (335): 743–6. PMID 22545495.
- ↑ Brantsch Kay D; Meisner Christoph; Schönfisch Birgitt; Trilling Birgit; Wehner-Caroli Jörg; Röcken Martin; Breuninger Helmut (2008). "Analysis of risk factors determining prognosis of cutaneous squamous cell carcinoma: a prospective study". Analysis of risk factors determining prognosis of cutaneous squamous cell carcinoma: a prospective study. 9: 713–720. doi:10.1016/S1470-2045(08)70178-5.
- ↑ Bethune G, Campbell J, Rocker A, Bell D, Rendon R, Merrimen J. (2012) Clinical and pathologic factors of prognostic significance in penile squamous cell carcinoma in a North American population., doi:10.1016/j.urology.2011.12.048 PMID 22386252
- ↑ Chapman, JR (2013). "Cancer in the Transplant Recipient". PerspectivesMedicine.
- ↑ Maula, Sanna-Mari. Luukkaa, Marjaana. Grénman, Reidar. Jackson, David. Jalkanen, Sirpa. Ristamäki, Raija. (2003), Intratumoral Lymphatics Are Essential for the Metastatic Spread and Prognosis in Squamous Cell Carcinomas of the Head and Neck Region,
- ↑ Hiroko Ide, Tsutomu Nakamura, Kazuhiko Hayashi, Takeshi Endo, Ataru Kobayashi, Reiki Eguchi, Fujio Hanyu. (1994), , Esophageal squamous cell carcinoma: Pathology and prognosis, doi:10.1007/BF00316810
- ↑ "WHO Disease and injury country estimates". World Health Organization. 2009. Retrieved Nov 11, 2009.
- ↑ Kari, PS (2012). "Cutaneous squamous cell carcinoma: estimated incidence of disease, nodal metastasis, and deaths from disease in the United States, 2012". Journal of American Academy of Dermatology. 68: 957–66. doi:10.1016/j.jaad.2012.11.037. PMID 23375456.
External links
| Wikimedia Commons has media related to Squamous-cell carcinoma. |
- Information on Squamous Cell Carcinoma from The Skin Cancer Foundation
- DermNet NZ: Squamous cell carcinoma
- Squamous cell carcinoma in transplant recipients
- Including TCC, CIS and papillary tumour SCC
- Cancer Management Handbook: Head and Neck Tumors
- SinusTumor.org - an educational site that provides information about sinus tumors
