Clear-cell ovarian carcinoma

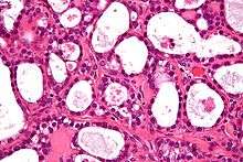
Micrograph of an ovarian clear cell carcinoma. H&E stain.
Clear cell ovarian tumors are part of the surface epithelial-stromal tumor group of ovarian cancers, accounting for 6% of these cancers. Clear cell tumors are also associated with the pancreas and salivary glands.
Description
Typically, they are cystic neoplasms with polypoid masses that protrude into the cyst. On microscopic pathological examination, they are composed of cells with clear cytoplasm (that contains glycogen) and hob nail cells (from which the glycogen has been secreted). The pattern may be glandular, papillary or solid.
Prognosis
Benign and borderline variants of this neoplasm are rare, and most cases are malignant. These tumors may have a worse prognosis than serous tumors.[1]
References
- ↑ Chan JK, Teoh D, Hu JM, Shin JY, Osann K, Kapp DS (June 2008). "Do clear cell ovarian carcinomas have poorer prognosis compared to other epithelial cell types? A study of 1411 clear cell ovarian cancers". Gynecol. Oncol. 109 (3): 370–6. doi:10.1016/j.ygyno.2008.02.006. PMID 18395777.
External links
This article is issued from Wikipedia - version of the 5/24/2016. The text is available under the Creative Commons Attribution/Share Alike but additional terms may apply for the media files.