Glassy cell carcinoma of the cervix
| Glassy cell carcinoma of the cervix | |
|---|---|
![]() | |
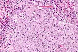
| Micrograph of a glassy cell carcinoma of the cervix. H&E stain. | |
| Classification and external resources |
Glassy cell carcinoma of the cervix, also glassy cell carcinoma, is a rare aggressive malignant tumour of the uterine cervix.[1] The tumour gets its name from its microscopic appearance; its cytoplasm has a glass-like appearance.
Signs and symptoms
The signs and symptoms are similar to other cervical cancers and may include post-coital bleeding and/or pain during intercourse (dyspareunia). Early lesions may be completely asymptomatic.
Diagnosis
The diagnosis is based on tissue examination, e.g. biopsy.
Under the microscope, glassy cell carcinoma tumours are composed of cells with a glass-like cytoplasm, typically associated with an inflammatory infiltrate abundant in eosinophils and very mitotically active. PAS staining distinctively extenuates the plasma membrane.[2]
Treatment
The treatment is dependent on the stage. Advanced tumours are treated with surgery (radical hysterectomy and bilateral salpingo-opherectomy), radiation therapy and chemotherapy.[2]
See also
Additional images
Low mag.
High mag.
References
- ↑ Nasu, K.; Takai, N.; Narahara, H. (Jun 2009). "Multimodal treatment for glassy cell carcinoma of the uterine cervix.". J Obstet Gynaecol Res. 35 (3): 584–7. doi:10.1111/j.1447-0756.2008.00968.x. PMID 19527406.
- 1 2 Deshpande, AH.; Kotwal, MN.; Bobhate, SK. "Glassy cell carcinoma of the uterine cervix a rare histology. Report of three cases with a review of the literature.". Indian J Cancer. 41 (2): 92–5. PMID 15318016.
