Granulosa cell tumour
| Granulosa cell tumour | |
|---|---|
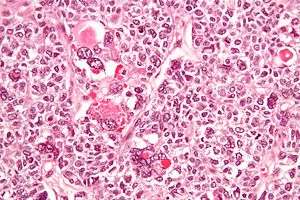
![]() | |
| Micrograph of a juvenile granulosa cell tumour with hyaline globules. H&E stain. | |
| Classification and external resources | |
| Specialty | oncology |
| ICD-10 | C56 |
| ICD-9-CM | 236.2 183 236.2 |
| ICD-O | 8620 |
| eMedicine | med/928 |
| MeSH | D006106 |
Granulosa cell tumours (or granulosa-theca cell tumours) are tumours that arise from granulosa cells. These tumours are part of the sex cord-gonadal stromal tumour or non-epithelial group of tumours. Although granulosa cells normally occur only in the ovary, granulosa cell tumours occur in both ovaries and testicles (see Ovarian cancer and Testicular cancer). These tumours should be considered malignant and treated in the same way as other malignant tumours of ovary. The ovarian disease has two forms, juvenile and adult, both characterized by indolent growth,[1] and therefore has high recovery rates.[2] [3] The staging system for these tumours is the same as for epithelial tumours and most present as stage I.[4] The peak age at which they occur is 50–55 years, but they may occur at any age.
Juvenile granulosa cell tumour is a similar but distinct rare tumour. It too occurs in both the ovary and testis. In the testis it is extremely rare, and has not been reported to be malignant.[5] Although this tumour usually occurs in children (hence its name), it has been reported in adults.[6]
Clinical presentation
Estrogens are produced by functioning tumours, and the clinical presentation depends on the patient's age and sex.
- Female
- If the patient is postmenopausal, she usually presents with abnormal uterine bleeding ,and in some cases hemoperitoneum.
- If the patient is of reproductive age, she would present with menometrorrhagia. However, in some cases she may stop ovulating altogether.
- If the patient has not undergone puberty, early onset of puberty may be seen.
- this tumors are tend to have late recurrencies ( even after 30 years )
Gene defect
Using next generation DNA sequencing, it was discovered that 97% of granulosa cell tumours contain an identical mutation in the FOXL2 gene . This is a somatic mutation meaning it is not usually transmitted to descendants. It is believed that this mutation may be the cause of granulosa cell tumours.
Tumor marker
Inhibin, a hormone, has been used as tumor marker for granulosa cell tumor.
Gross appearance
Tumors vary in size, from tiny spots to large masses, with an average of 10 cm in diameter. Tumors are oval and soft in consistency. On cut-section, histology reveals reticular, trabecular areas with interstitial haemorrhage and Call-Exner bodies-small cyst like spaces interspersed within a graafian follicle.
Granulosa cell clusters in other species
In the ovaries of aging squirrel monkeys (Saimiri sciureus), clusters of granulosa cells occur that resemble granulosa cell tumours in humans.[7] These appear to be a normal change with age in this species.
See also
References
- ↑ "Prognostic factors in adult granulosa".
- ↑ "Juvenile granulosa cell tumor of the ovary. A clinic pathological analysis of 125 cases. Beth Israel Deaconess Medical Center, Boston".
- ↑ "Program in Gynecologic Medical Oncology, Beth Israel Deaconess Medical Center, Boston".
- ↑ Gynaecology. 3rd Ed. 2003. Churchill Livingstone. PP. 690-691.
- ↑ Dudani R, Giordano L, Sultania P, Jha K, Florens A, Joseph T (April 2008). "Juvenile granulosa cell tumor of testis: case report and review of literature". Am J Perinatol. 25 (4): 229–31. doi:10.1055/s-2008-1066878. PMID 18548396.
- ↑ Lin KH, Lin SE, Lee LM (July 2008). "Juvenile granulosa cell tumor of adult testis: a case report". Urology. 72 (1): 230.e11–3. doi:10.1016/j.urology.2007.11.126. PMID 18313118.
- ↑ Walker ML, Anderson DC, Herndon JG, Walker LC (2009). "Ovarian aging in squirrel monkeys (Saimiri sciureus)". Reproduction. 138 (4): 793–799. doi:10.1530/REP-08-0449. PMID 19656956.
External links
- -46858173 at GPnotebook
- Photo of tumor
- Slides
- indiandoctors.com
- Juvenile granulosa cell tumor HP:7794 at humpath.com
- Granulosa Cell Tumour Research Foundation
