Balloon cell nevus
| Balloon cell nevus | |
|---|---|
![]() | |
| Classification and external resources | |
| Specialty | oncology, dermatology |
| ICD-10 | D22 (ILDS D22.L80) |
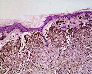
Balloon cell nevi are a cutaneous condition characterized histologically by large, pale, polyhedral balloon cells.[1]:689[2]
See also
References
- ↑ James, William D.; Berger, Timothy G.; et al. (2006). Andrews' Diseases of the Skin: clinical Dermatology. Saunders Elsevier. ISBN 0-7216-2921-0.
- ↑ Martinez-Casimiro L, Sánchez Carazo JL, Alegre V (February 2009). "Balloon cell naevus". J Eur Acad Dermatol Venereol. 23 (2): 236–7. doi:10.1111/j.1468-3083.2008.02823.x. PMID 18624847.
This article is issued from Wikipedia - version of the 5/26/2016. The text is available under the Creative Commons Attribution/Share Alike but additional terms may apply for the media files.
