Nevoid melanoma

Nevoid melanoma
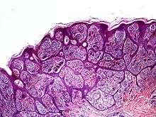
Nevoid melanoma is a cutaneous condition that may resemble a Spitz nevus or an acquired or congenital melanocytic nevus.[1]
See also
References
This article is issued from Wikipedia - version of the 5/18/2016. The text is available under the Creative Commons Attribution/Share Alike but additional terms may apply for the media files.