Small-cell melanoma

Small-cell melanoma
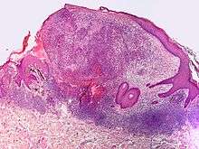
Small-cell melanoma, also known as melanoma with small nevus-like cells, is a cutaneous condition, a tumor that contains variably-sized, large nests of small melanocytes with hyperchromatic nuclei and prominent nucleoli.[1]
See also
References
This article is issued from Wikipedia - version of the 5/19/2016. The text is available under the Creative Commons Attribution/Share Alike but additional terms may apply for the media files.