Blue nevus
| Blue nevus | |
|---|---|
|
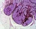
Micrograph of a blue nevus showing the characteristic pigmented melanocytes between bundles of collagen. H&E stain. | |
| Classification and external resources | |
| Specialty | oncology, dermatology |
| ICD-10 | D22 (ILDS D22.L42) |
| DiseasesDB | 31098 |
| MeSH | D018329 |
Blue nevus (also known as "blue neuronevus," "dermal melanocytoma," and "nevus bleu"[1]) is a type of melanocytic nevus. The blue colour is caused by the pigment being deeper in the skin than in ordinary nevi. In principle they are harmless[2] but they can sometimes be mimicked by malignant lesions, i.e. some melanomas can look like a blue nevus.[3][4]
Classification
Blue nevi may be divided into the following types:[5]:701
- A patch blue nevus (also known as an "acquired dermal melanocytosis," and "dermal melanocyte hamartoma") is a cutaneous condition characterized by a diffusely gray-blue area that may have superimposed darker macules.[1]
- A blue nevus of Jadassohn–Tièche (also known as a "common blue nevus," and "nevus ceruleus") is a cutaneous condition characterized by a steel-blue papule or nodule.[5]:701
- A cellular blue nevus is a cutaneous condition characterized by large, firm, blue or blue-black nodules.[5]:701
- An epithelioid blue nevus is a cutaneous condition most commonly seen in patients with the Carney complex.[5]:701
- A deep penetrating nevus is a type of benign melanocytic skin tumor characterized, as its name suggests, by penetration into the deep dermis and/or subcutis. Smudged chromatic is a typical finding. In some cases mitotic figures or atypical melanocytic cytology are seen, potentially mimicking a malignant melanoma. Evaluation by an expert skin pathologist is advisable in some cases to help differentiate from invasive melanoma.[5]:701
- An amelanotic blue nevus (also known as a "hypomelanotic blue nevus") is a cutaneous condition characterized by mild atypia and pleomorphism.[5]:701
- A malignant blue nevus is a cutaneous condition characterized by a sheet-like growth pattern, mitoses, necrosis, and cellular atypia.[1][5]:701
-

Cellular blue nevus
-

Nevus coeruleus
-

Epithelioid blue nevus
-

Malignant blue nevus
See also
References
- 1 2 3 Rapini, Ronald P.; Bolognia, Jean L.; Jorizzo, Joseph L. (2007). Dermatology: 2-Volume Set. St. Louis: Mosby. p. 1722. ISBN 1-4160-2999-0.
- ↑ "Blue naevus (nevus). DermNet NZ". Retrieved 2009-02-27.
- ↑ Blue Nevi at the US National Library of Medicine Medical Subject Headings (MeSH)
- ↑ Granter SR, McKee PH, Calonje E, Mihm MC, Busam K (March 2001). "Melanoma associated with blue nevus and melanoma mimicking cellular blue nevus: a clinicopathologic study of 10 cases on the spectrum of so-called 'malignant blue nevus'". Am. J. Surg. Pathol. 25 (3): 316–23. doi:10.1097/00000478-200103000-00005. PMID 11224601.
- 1 2 3 4 5 6 7 James, William D.; Berger, Timothy G.; et al. (2006). Andrews' Diseases of the Skin: clinical Dermatology. Saunders Elsevier. ISBN 0-7216-2921-0.
This article is issued from Wikipedia - version of the 5/18/2016. The text is available under the Creative Commons Attribution/Share Alike but additional terms may apply for the media files.
