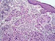
Melanoma with features of a Spitz nevus

Spitzoid melanoma
Melanoma with features of a Spitz nevus (also known as a "Spitzoid melanoma") is a cutaneous condition characterized histologically with tissue similar to a spitz nevus and with overall symmetry and a dermal nodule of epithelioid melanocytes that do not mature with progressively deeper dermal extension.[1]
See also
References
This article is issued from Wikipedia - version of the 5/18/2016. The text is available under the Creative Commons Attribution/Share Alike but additional terms may apply for the media files.