Junctional nevus
| Junctional nevus | |
|---|---|
![]() | |
| Classification and external resources | |
| Specialty | oncology |
| ICD-10 | C43.9 |
| ICD-O | M8740/0 |
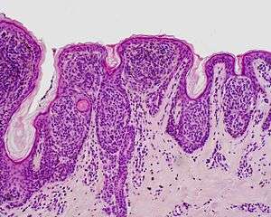
A junctional nevus is a mole found in the junction (border) between the epidermis and dermis layers of the skin.
External links
- Junctional nevus entry in the public domain NCI Dictionary of Cancer Terms
This article incorporates public domain material from the U.S. National Cancer Institute document "Dictionary of Cancer Terms".
This article is issued from Wikipedia - version of the 10/26/2015. The text is available under the Creative Commons Attribution/Share Alike but additional terms may apply for the media files.
