Leydig cell tumour
| Leydig cell tumour | |
|---|---|
|
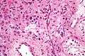
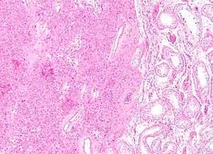
Low magnification micrograph of a Leydig cell tumour. H&E stain. | |
| Classification and external resources | |
| ICD-9-CM | 183.0, 256.1 |
| ICD-O | 8631 |
| DiseasesDB | 7445 |
| MedlinePlus | 000409 |
| MeSH | D007984 |
Leydig cell tumour, also Leydig cell tumor (US spelling), (testicular) interstitial cell tumour and (testicular) interstitial cell tumor (US spelling), is a member of the sex cord-stromal tumour group[1] of ovarian and testicular cancers. It arises from Leydig cells. While the tumour can occur at any age, it occurs most often in young adults.
A Sertoli-Leydig cell tumour is a combination of a Leydig cell tumour and a Sertoli cell tumour from Sertoli cells.
Presentation
The majority of Leydig cell tumors are found in men, usually at 5–10 years of age or in middle adulthood (30–60 years). Children typically present with precocious puberty. Due to excess testosterone secreted by the tumour, one-third of female patients present with a recent history of progressive masculinization. Masculinization is preceded by anovulation, oligomenorrhea, amenorrhea and defeminization. Additional signs include acne and hirsutism, voice deepening, clitoromegaly, temporal hair recession, and an increase in musculature. Serum testosterone level is high. In men testicular swelling is the most common presenting feature, though gynecomastia may be the first symptom in some patients.
Diagnosis
Presence of an ovarian tumour plus hormonal disturbances suggests a Leydig cell tumour, granulosa cell tumour or thecoma. However, hormonal disturbances, in Leydig tumours, is present in only 2/3 of cases. A conclusive diagnosis is made via histology, as part of a pathology report made during or after surgery. Reinke crystals are classically found in these tumours and help confirm the diagnosis, although they are seen in less than half of all Leydig cell tumours. See also Sex cord-stromal tumour.
Immunohistochemical markers of Leydig cell tumours include inhibin-alpha, calretinin, and melan-A.[2]
Treatment
The usual treatment is surgery. The surgery usually is a fertility-sparing unilateral salpingo-oophorectomy. For malignant tumours, the surgery may be radical and usually is followed by adjuvant chemotherapy, sometimes by radiation therapy. In all cases, initial treatment is followed by surveillance. Because in many cases Leydig cell tumour does not produce elevated tumour markers,[3] the focus of surveillance is on repeated physical examination and imaging.
The prognosis is generally good as the tumour tends to grow slowly and usually is benign: 10% are malignant. For malignant tumours with undifferentiated histology, prognosis is poor.[3]
It is usually benign.[4]
Additional images
-

Intermediate magnification micrograph of a Leydig cell tumour. H&E stain.
-

High magnification micrograph of a Leydig cell tumour. H&E stain.
See also
References
- ↑ Sachdeva P, Arora R, Dubey C, Sukhija A, Daga M, Singh DK (April 2008). "Sertoli-Leydig cell tumor: a rare ovarian neoplasm. Case report and review of literature". Gynecol. Endocrinol. 24 (4): 230–4. doi:10.1080/09513590801953465. PMID 18382911.
- ↑ Ulbright TM, Srigley JR, Hatzianastassiou DK, Young RH (November 2002). "Leydig cell tumors of the testis with unusual features: adipose differentiation, calcification with ossification, and spindle-shaped tumor cells". Am. J. Surg. Pathol. 26 (11): 1424–33. doi:10.1097/00000478-200211000-00004. PMID 12409718.
- 1 2 Lenhard M, Kuemper C, Ditsch N, Diebold J, Stieber P, Friese K, Burges A (2007). "Use of novel serum markers in clinical follow-up of Sertoli-Leydig cell tumours". Clin. Chem. Lab. Med. 45 (5): 657–61. doi:10.1515/CCLM.2007.120. PMID 17484630.
- ↑ Al-Agha OM, Axiotis CA (February 2007). "An in-depth look at Leydig cell tumor of the testis". Arch. Pathol. Lab. Med. 131 (2): 311–7. doi:10.1043/1543-2165(2007)131[311:AILALC]2.0.CO;2. PMID 17284120.
