Uterine fibroid
| Uterine fibroids | |
|---|---|
| Synonyms | uterine leiomyoma, myoma, fibromyoma, fibroleiomyoma |
![]() | |
| Uterine fibroids as seen during laproscopic surgery | |
| Classification and external resources | |
| Specialty | Gynecology |
| ICD-10 | D25 |
| ICD-9-CM | 218 |
| OMIM | 150699 |
| DiseasesDB | 4806 |
| MedlinePlus | 000914 |
| eMedicine | radio/777 |
| Patient UK | Uterine fibroid |
| MeSH | D007889 |
Uterine fibroids, also known as uterine leiomyomas or fibroids, are benign smooth muscle tumors of the uterus. Most women have no symptoms while others may have painful or heavy periods. If large enough, they may push on the bladder causing a frequent need to urinate. They may also cause pain during sex or lower back pain. A woman can have one uterine fibroid or many of them. Occasionally, fibroids may make it difficult to get pregnant, although this is uncommon.[1]
The exact cause of uterine fibroids is unclear. However, fibroids run in families and appear to be partly determined by hormone levels. Risk factors include obesity and eating red meat. Diagnosis can be performed by pelvic examination or medical imaging.[1]
Treatment is typically not needed if there are no symptoms. In those with mild symptoms, ibuprofen or paracetamol (acetaminophen) may help. Iron supplements may be needed in those with heavy periods. Medications of the gonadotropin releasing hormone agonist class may decrease the size of the fibroids but are expensive and associated with side effects. If greater symptoms are present, surgery to remove the fibroid or uterus may help. Uterine artery embolization may also help. Cancerous versions of fibroids are very rare and are known as leiomyosarcomas. They do not appear to develop from benign fibroids.[1]
About 20% to 80% of women develop fibroids by the age of 50.[1] In 2013, it was estimated that 171 million women were affected.[2] They are typically found during the middle and later reproductive years. After menopause, they usually decrease in size.[1] In the United States, uterine fibroids are a common reason for surgical removal of the uterus.[3]
Signs and symptoms
Fibroids, particularly when small, may be entirely asymptomatic. Symptoms depend on the location and size of the fibroid. Important symptoms include abnormal uterine bleeding, heavy or painful periods, abdominal discomfort or bloating, painful defecation, back ache, urinary frequency or retention, and in some cases, infertility.[4] There may also be pain during intercourse, depending on the location of the fibroid. During pregnancy, they may also be the cause of miscarriage,[5] bleeding, premature labor, or interference with the position of the fetus.
While fibroids are common, they are not a typical cause for infertility, accounting for about 3% of reasons why a woman may not be able to have a child.[6] The majority of women with uterine fibroids will have normal pregnancy outcomes.[7][8] In cases of intercurrent uterine fibroids in infertility, a fibroid is typically located in a submucosal position and it is thought that this location may interfere with the function of the lining and the ability of the embryo to implant.[6] Also, larger fibroids may distort or block the fallopian tubes.
Cause
Fibroids are more common in obese women.[9] Fibroids are dependent on estrogen and progesterone to grow and therefore relevant only during the reproductive years.
Genetics
Fibroids are partly genetic as if a mother had fibroids, risk in the daughter is about three times higher than average.[10]
Researchers have completed profiling of global gene expression for uterine fibroids. They found that only a few specific genes or cytogenetic deviations are associated with fibroids.[11] An association with fatty acid synthase has been reported.[12]
Familial leiomyomata
A syndrome (Reed's syndrome) that causes uterine leiomyomata along with cutaneous leiomyomata and renal cell cancer has been reported.[13][14][15] This is associated with a mutation in the gene that produces the enzyme fumarate hydratase, located on the long arm of chromosome 1 (1q42.3-43). Inheritance is autosomal dominant.
Pathophysiology

Fibroids are a type of uterine leiomyoma. Fibroids grossly appear as round, well circumscribed (but not encapsulated), solid nodules that are white or tan, and show whorled appearance on histological section. The size varies, from microscopic to lesions of considerable size. Typically lesions the size of a grapefruit or bigger are felt by the patient herself through the abdominal wall.

Microscopically, tumor cells resemble normal cells (elongated, spindle-shaped, with a cigar-shaped nucleus) and form bundles with different directions (whorled). These cells are uniform in size and shape, with scarce mitoses. There are three benign variants: bizarre (atypical); cellular; and mitotically active.
The appearance of prominent nucleoli with perinucleolar halos should alert the pathologist to investigate the possibility of the extremely rare hereditary leiomyomatosis and renal cell cancer (Reed) syndrome.[16]
Location and classification

Growth and location are the main factors that determine if a fibroid leads to symptoms and problems.[3] A small lesion can be symptomatic if located within the uterine cavity while a large lesion on the outside of the uterus may go unnoticed. Different locations are classified as follows:
- Intramural fibroids are located within the wall of the uterus and are the most common type; unless large, they may be asymptomatic. Intramural fibroids begin as small nodules in the muscular wall of the uterus. With time, intramural fibroids may expand inwards, causing distortion and elongation of the uterine cavity.
- Subserosal fibroids are located underneath the peritoneal surface of the uterus and can become very large. They can also grow out in a papillary manner to become pedunculated fibroids. These pedunculated growths can actually detach from the uterus to become a parasitic leiomyoma.
- Submucosal fibroids are located in the muscle beneath the endometrium of the uterus and distort the uterine cavity; even small lesions in this location may lead to bleeding and infertility. A pedunculated lesion within the cavity is termed an intracavitary fibroid and can be passed through the cervix.
- Cervical fibroids are located in the wall of the cervix (neck of the uterus). Rarely, fibroids are found in the supporting structures (round ligament, broad ligament, or uterosacral ligament) of the uterus that also contain smooth muscle tissue.
Fibroids may be single or multiple. Most fibroids start in the muscular wall of the uterus. With further growth, some lesions may develop towards the outside of the uterus or towards the internal cavity. Secondary changes that may develop within fibroids are hemorrhage, necrosis, calcification, and cystic changes. They tend to calcify after menopause.[17]
If the uterus contains too many to count, it is referred to as diffuse uterine leiomyomatosis.
Extrauterine fibroids of uterine origin, metastatic fibroids
Fibroids of uterine origin located in other parts of the body, sometimes also called parasitic myomas have been historically extremely rare, but are now diagnosed with increasing frequency. They may be related or identical to metastasizing leiomyoma.
They are in most cases still hormone dependent but may cause life-threatening complications when they appear in distant organs. Some sources suggest that a substantial share of the cases may be late complications of surgeries such as myomectomy or hysterectomy. Particularly laparoscopic myomectomy using a morcellator has been associated with a substantially increased risk of this complication.[18][19]
There are a number of rare conditions in which fibroids metastasize. They still grow in a benign fashion, but can be dangerous depending on their location.[20]
- In leiomyoma with vascular invasion, an ordinary-appearing fibroid invades into a vessel but there is no risk of recurrence.
- In intravenous leiomyomatosis, leiomyomata grow in veins with uterine fibroids as their source. Involvement of the heart can be fatal.
- In benign metastasizing leiomyoma, leiomyomata grow in more distant sites such as the lungs and lymph nodes. The source is not entirely clear. Pulmonary involvement can be fatal.
- In disseminated intraperitoneal leiomyomatosis, leiomyomata grow diffusely on the peritoneal and omental surfaces, with uterine fibroids as their source. This can simulate a malignant tumor but behaves benignly.
Pathogenesis



Fibroids are monoclonal tumors and approximately 40 to 50% show karyotypically detectable chromosomal abnormalities. When multiple fibroids are present they frequently have unrelated genetic defects. Specific mutations of the MED12 protein have been noted in 70 percent of fibroids.[21]
The exact cause of fibroids is not clearly understood, but the current working hypothesis is that genetic predispositions, prenatal hormone exposure and the effects of hormones, growth factors and xenoestrogens cause fibroid growth. Known risk factors are African descent, obesity, polycystic ovary syndrome, diabetes, hypertension, and never having given birth.[22]
It is believed that estrogen and progesterone have a mitogenic effect on leiomyoma cells and also act by influencing (directly and indirectly) a large number of growth factors, cytokines and apoptotic factors as well as other hormones. Furthermore, the actions of estrogen and progesterone are modulated by the cross-talk between estrogen, progesterone and prolactin signalling which controls the expression of the respective nuclear receptors. It is believed that estrogen promotes growth by up-regulating IGF-1, EGFR, TGF-beta1, TGF-beta3 and PDGF, and promotes aberrant survival of leiomyoma cells by down-regulating p53, increasing expression of the anti-apoptotic factor PCP4 and antagonizing PPAR-gamma signalling. Progesterone is thought to promote the growth of leiomyoma through up-regulating EGF, TGF-beta1 and TGF-beta3, and promotes survival through up-regulating Bcl-2 expression and down-regulating TNF-alpha. Progesterone is believed to counteract growth by downregulating IGF-1.[23][24] Expression of transforming growth interacting factor (TGIF) is increased in leiomyoma compared with myometrium.[25] TGIF is a potential repressor of TGF-β pathways in myometrial cells.[25]
Aromatase and 17beta-hydroxysteroid dehydrogenase are aberrantly expressed in fibroids, indicating that fibroids can convert circulating androstenedione into estradiol.[26] Similar mechanism of action has been elucidated in endometriosis and other endometrial diseases.[27] Aromatase inhibotors are currently considered for treatment, at certain doses they would completely inhibit estrogen production in the fibroid while not largely affecting ovarian production of estrogen (and thus systemic levels of it). Aromatase overexpression is particularly pronounced in African-American women.[28]
Genetic and hereditary causes are being considered and several epidemiologic findings indicate considerable genetic influence especially for early onset cases. First degree relatives have a 2.5-fold risk, and nearly 6-fold risk when considering early onset cases. Monozygotic twins have double concordance rate for hysterectomy compared to dizygotic twins.[29]
Expansion of uterine fibroids is by a slow rate of cell proliferation combined with the production of copious amounts of extracellular matrix.[28]
A small population of the cells in an uterine fibroid have properties of stem cells or progenitor cells, and contribute significantly to ovarian steroid-dependent growth of fibroids. These stem-progenitor cells are deficient in estrogen receptor α and progesterone receptor and instead rely on substantially higher levels of these receptors in surrounding differentiated cells to mediate estrogen and progesterone actions via paracrine signalling.[28]
Diagnosis
While palpation used in a pelvic examination can typically identify the presence of larger fibroids, gynecologic ultrasonography (ultrasound) has evolved as the standard tool to evaluate the uterus for fibroids. Sonography will depict the fibroids as focal masses with a heterogeneous texture, which usually cause shadowing of the ultrasound beam. The location can be determined and dimensions of the lesion measured. Also magnetic resonance imaging (MRI) can be used to define the depiction of the size and location of the fibroids within the uterus.
Imaging modalities cannot clearly distinguish between the benign uterine leiomyoma and the malignant uterine leiomyosarcoma, however, the latter is quite rare. Fast growth or unexpected growth, such as enlargement of a lesion after menopause, raise the level of suspicion that the lesion might be a sarcoma. Also, with advanced malignant lesions there may be evidence of local invasion. Biopsy is rarely performed and if performed, is rarely diagnostic. Should there be an uncertain diagnosis after ultrasounds and MRI imaging, surgery is generally indicated.
Other imaging techniques that may be helpful specifically in the evaluation of lesions that affect the uterine cavity are hysterosalpingography or sonohysterography.
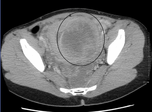
A very large (9 cm) fibroid of the uterus which is causing pelvic congestion syndrome as seen on CT
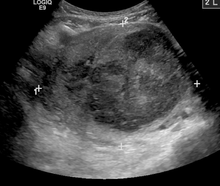
A very large (9 cm) fibroid of the uterus which is causing pelvic congestion syndrome as seen on ultrasound
A relatively large submucosal leiomyoma; it fills out the major part of the endometrial cavity
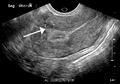
A small uterine fibroid seen within the wall of the myometrium on a cross sectional ultrasound view- Two calcified fibroids (in the uterus)
A subserosal uterine fibroid with a diameter of 5 centimeters.
Coexisting disorders
Fibroids that lead to heavy vaginal bleeding lead to anemia and iron deficiency. Due to pressure effects gastrointestinal problems such as constipation and bloatedness are possible. Compression of the ureter may lead to hydronephrosis. Fibroids may also present alongside endometriosis, which itself may cause infertility. Adenomyosis may be mistaken for or coexist with fibroids.
In very rare cases, malignant (cancerous) growths, leiomyosarcoma, of the myometrium can develop.[30] In extremely rare cases uterine fibroids may present as part or early symptom of the hereditary leiomyomatosis and renal cell cancer syndrome.
Treatment
Most fibroids do not require treatment unless they are causing symptoms. After menopause fibroids shrink and it is unusual for them to cause problems.
Symptomatic uterine fibroids can be treated by:
- medication to control symptoms
- medication aimed at shrinking tumors
- ultrasound fibroid destruction
- myomectomy or radio frequency ablation
- hysterectomy
- uterine artery embolization
In those who have symptoms uterine artery embolization and surgical options have similar outcomes with respect to satisfaction.[31]
Medication
A number of medications may be used to control symptoms. NSAIDs can be used to reduce painful menstrual periods. Oral contraceptive pills may be prescribed to reduce uterine bleeding and cramps.[6] Anemia may be treated with iron supplementation.
Levonorgestrel intrauterine devices are effective in limiting menstrual blood flow and improving other symptoms. Side effects are typically few as the levonorgestrel (a progestin) is released in low concentration locally.[32] While most levongestrel-IUD studies concentrated on treatment of women without fibroids a few reported good results specifically for women with fibroids including a substantial regression of fibroids.[33][34]
Cabergoline in a moderate and well tolerated doses has been shown in two studies to shrink fibroids effectively. Mechanism of action is unclear.[33]
Ulipristal acetate is a synthetic selective progesterone receptor modulator (SPRM) that has tentative evidence to support its use for presurgical treatment of fibroids with low side-effects.[35] Long-term UPA-treated fibroids have shown volume reduction of about 70%.[36]
Danazol is an effective treatment to shrink fibroids and control symptoms. Its use is limited by unpleasant side effects. Mechanism of action is thought to be antiestrogenic effects. Recent experience indicates that safety and side effect profile can be improved by more cautious dosing.[33]
Gonadotropin-releasing hormone analogs cause temporary regression of fibroids by decreasing estrogen levels. Because of the limitations and side effects of this medication it is rarely recommended other than for preoperative use to shrink the size of the fibroids and uterus before surgery. It is typically used for a maximum of 6 months or less because after longer use they could cause osteoporosis and other typically postmenopausal complications. The main side effects are transient postmenopausal symptoms. In many cases the fibroids will regrow after cessation of treatment, however significant benefits may persist for much longer in some cases. Several variations are possible, such as GnRH agonists with add-back regimens intended to decrease the adverse effects of estrogen deficiency. Several add-back regimes are possible, tibolone, raloxifene, progestogens alone, estrogen alone, and combined estrogens and progestogens.[33]
Progesterone antagonists such as mifepristone have been tested, there is evidence that it relieves some symptoms and improves quality of life but because of adverse histological changes that have been observed in several trials it can not be currently recommended outside of research setting.[37][38] Fibroid growth has recurred after antiprogestin treatment was stopped.[28]
Aromatase inhibitors have been used experimentally to reduce fibroids. The effect is believed to be due partially by lowering systemic estrogen levels and partially by inhibiting locally overexpressed aromatase in fibroids.[33] However, fibroid growth has recurred after treatment was stopped.[28] Experience from experimental aromatase inhibitor treatment of endometriosis indicates that aromatase inhibitors might be particularly useful in combination with a progestogenic ovulation inhibitor.
Uterine artery
Uterine artery embolization (UAE) is a noninvasive procedure that blocks of blood flow to fibroids and thus can treat them.[39] Long term outcomes with respect to how happy people are with the procedure are similar to that of surgery.[40] There is tentative evidence that traditional surgery may result in better fertility.[40] One review found that UAE doubles the future risk of miscarriage.[41] UAE also appears to require more repeat procedures than if surgery was done initially.[40] A person will usually recover from the procedure within a few days.
Uterine artery ligation, sometimes also laparoscopic occlusion of uterine arteries are minimally invasive methods to limit blood supply of the uterus by a small surgery that can be performed transvaginally or laparoscopically. The principal mechanism of action may be similar like in UAE but is easier to perform and fewer side effects are expected.[42][43]
Myomectomy



Myomectomy is a surgery to remove one or more fibroids. It is usually recommended when more conservative treatment options fail for women who want fertility preserving surgery or who want to retain the uterus.[44]
There are three types of myomectomy:
- In a hysteroscopic myomectomy (also called transcervical resection), the fibroid can be removed by either the use of a resectoscope, an endoscopic instrument inserted through the vagina and cervix that can use high-frequency electrical energy to cut tissue, or a similar device.
- A laparoscopic myomectomy is done through a small incision near the navel. The physician uses a laparoscope and surgical instruments to remove the fibroids. Studies have suggested that laparoscopic myomectomy leads to lower morbidity rates and faster recovery than does laparotomic myomectomy.[45]
- A laparotomic myomectomy (also known as an open or abdominal myomectomy) is the most invasive surgical procedure to remove fibroids. The physician makes an incision in the abdominal wall and removes the fibroids from the uterus.
Laparoscopic myomectomy has less pain and shorter time in hospital than open surgery.[46]
Hysterectomy
Hysterectomy was the classical method of treating fibroids. Although it is now recommended only as last option, fibroids are still the leading cause of hysterectomies in the US.
Endometrial ablation
Endometrial ablation can be used if the fibroids are only within the uterus and not intramural and relatively small. High failure and recurrence rates are expected in the presence of larger or intramural fibroids.
Other procedures
Radiofrequency ablation is a minimally invasive treatments for fibroids.[47] In this technique the fibroid is shrunk by inserting a needle-like device into the fibroid through the abdomen and heating it with radio-frequency (RF) electrical energy to cause necrosis of cells. The treatment is a potential option for women who have fibroids, have completed child-bearing and want to avoid a hysterectomy.
Magnetic resonance guided focused ultrasound, is a non-invasive intervention (requiring no incision) that uses high intensity focused ultrasound waves to destroy tissue in combination with magnetic resonance imaging (MRI), which guides and monitors the treatment. During the procedure, delivery of focused ultrasound energy is guided and controlled using MR thermal imaging.[48] Patients who have symptomatic fibroids, who desire a non-invasive treatment option and who do not have contraindictions for MRI are candidates for MRgFUS. About 60% of patients qualify. It is an outpatient procedure and takes one to three hours depending on the size of the fibroids. It is safe and about 75% effective.[49] Symptomatic improvement is sustained for two plus years.[50] Need for additional treatment varies from 16-20% and is largely dependent on the amount of fibroid that can be safely ablated; the higher the ablated volume, the lower the re-treatment rate.[51] There are currently no randomized trial between MRgFUS and UAE. A multi-center trial is underway to investigate the efficacy of MRgFUS vs. UAE.
Prognosis
About 1 out of 1000 lesions are or become malignant, typically as a leiomyosarcoma on histology.[6] A sign that a lesion may be malignant is growth after menopause.[6] There is no consensus among pathologists regarding the transformation of leiomyoma into a sarcoma.
Metastasis
There are a number of rare conditions in which fibroids metastasize. They still grow in a benign fashion, but can be dangerous depending on their location.[20]
Epidemiology
About 20% to 80% of women develop fibroids by the age of 50.[1] Globally in 2013 it was estimated that 171 million women were affected.[2] They are typically found during the middle and later reproductive years.[1] After menopause they usually decrease in size.[1]
United States
Eighty percent of African American women will develop benign uterine fibroid tumors by their late 40s, according to the National Institute of Environmental Health Sciences.[52] African American women are two to three times more likely to get fibroids than Caucasian women.[9][53] In African-American women fibroids seem to occur at a younger age, grow more quickly, and are more likely to cause symptoms.[54] This leads to higher rates of surgery for African Americans, both myomectomy and hysterectomy.[55] Increased risk of fibroids in African- Americans causes them to fare worse in in-vitro fertility treatments and raises their risk of premature births and delivery by Cesarean section.[55]
It is unclear why fibroids are more common in African American women. Some studies suggest that black women who are obese and who have high blood pressure are more likely to have fibroids.[55]
Society and culture
United States law
The 2005 S.1289 bill was read twice and referred to the committee on Health, Labor and Pensions but never passed for a Senate or House vote. The proposed Uterine Fibroid Research and Education Act of 2005 mentioned that $5 billion is spent annually on hysterectomy surgeries each year, which affect 22% of African Americans and 7% of Caucasian women. The bill also called for more funding for research and educational purposes. It also states that of the $28 billion issued to NIH,[56] $5 million was allocated for uterine fibroids in 2004.
Other animals
Uterine fibroids are rare in other mammals, although they have been observed in certain dogs and Baltic grey seals.[57]
Research
Selective progesterone receptor modulators, such as progenta, have been under investigation. Another selective progesterone receptor modulator asoprisnil is being tested with promising results as a possible use as a treatment for fibroids, intended to provide the advantages of progesterone antagonists without their adverse effects.[33]
References
- 1 2 3 4 5 6 7 8 "Uterine fibroids fact sheet". Office on Women's Health. January 15, 2015. Retrieved 26 June 2015.
- 1 2 Global Burden of Disease Study 2013, Collaborators (5 June 2015). "Global, regional, and national incidence, prevalence, and years lived with disability for 301 acute and chronic diseases and injuries in 188 countries, 1990-2013: a systematic analysis for the Global Burden of Disease Study 2013.". Lancet (London, England). doi:10.1016/S0140-6736(15)60692-4. PMID 26063472.
- 1 2 Wallach EE, Vlahos NF (August 2004). "Uterine myomas: an overview of development, clinical features, and management". Obstet Gynecol. 104 (2): 393–406. doi:10.1097/01.AOG.0000136079.62513.39. PMID 15292018.
- ↑ "Benign Uterine Fibroid Tumors (What to Know)". Women's Health. about.com.
- ↑ Reproductive Surgery in Assisted Conception. 2015. p. 107. ISBN 9781447149538.
- 1 2 3 4 5 American Society of Reproductive Medicine Patient Booklet: Uterine Fibroids, 2003
- ↑ Segars JH, Parrott EC, Nagel JD, Guo XC, Gao X, Birnbaum LS, Pinn VW, Dixon D (2014). "Proceedings from the Third National Institutes of Health International Congress on Advances in Uterine Leiomyoma Research: comprehensive review, conference summary and future recommendations". Human Reproduction Update. 20 (3): 309–333. doi:10.1093/humupd/dmt058. PMC 3999378
. PMID 24401287. - ↑ Segars JH, Parrott EC, Nagel JD, Guo XC, Gao X, Birnbaum LS, Pinn VW, Dixon D (2014). "Proceedings from the Third National Institutes of Health International Congress on Advances in Uterine Leiomyoma Research: comprehensive review, conference summary and future recommendations". Hum. Reprod. Update. 20 (3): 309–33. doi:10.1093/humupd/dmt058. PMC 3999378
. PMID 24401287. - 1 2 Uterine Fibroids at Merck Manual of Diagnosis and Therapy Professional Edition
- ↑ "Uterine fibroids fact sheet". womenshealth.gov.
- ↑ Medikare, V; Kandukuri, LR; Ananthapur, V; Deenadayal, M; Nallari, P (July 2011). "The genetic bases of uterine fibroids; a review.". Journal of reproduction & infertility. 12 (3): 181–91. PMC 3719293
. PMID 23926501. (subscription required (help)). - ↑ Eggert SL, Huyck KL, Somasundaram P, Kavalla R, Stewart EA, Lu AT, Painter JN, Montgomery GW, Medland SE, Nyholt DR, Treloar SA, Zondervan KT, Heath AC, Madden PA, Rose L, Buring JE, Ridker PM, Chasman DI, Martin NG, Cantor RM, Morton CC (October 2012). "Genome-wide linkage and association analyses implicate FASN in predisposition to Uterine Leiomyomata". Am. J. Hum. Genet. 91 (4): 621–8. doi:10.1016/j.ajhg.2012.08.009. PMC 3484658
. PMID 23040493. - ↑ Tolvanen J, Uimari O, Ryynänen M, Aaltonen LA, Vahteristo P (2012). "Strong family history of uterine leiomyomatosis warrants fumarate hydratase mutation screening". Human Reproduction. 27 (6): 1865–9. doi:10.1093/humrep/des105. PMID 22473397.
- ↑ Toro JR, et al. (2003). "Mutations in the fumarate hydratase gene cause hereditary leiomyomatosis and renal cell cancer in families in North America". Am J Hum Genet. 73 (1): 95–106. doi:10.1086/376435. PMC 1180594
. PMID 12772087. - ↑ http://rarediseases.info.nih.gov/GARD/Condition/10160/Reed_syndrome.aspx[]
- ↑ Garg K, Tickoo SK, Soslow RA, Reuter VE (2011). "Morphologic Features of Uterine Leiomyomas Associated with Hereditary Leiomyomatosis and Renal Cell Carcinoma Syndrome". The American Journal of Surgical Pathology. 35 (8): 1235–1237. doi:10.1097/PAS.0b013e318223ca01. PMID 21753700.
- ↑ Tamparo, Carol; Lewis, Marcia (2011). Diseases of the Human Body. Philadelphia, PA: F.A. Davis Company. p. 477. ISBN 9780803625051.
- ↑ Cucinella G, Granese R, Calagna G, Somigliana E, Perino A (2011). "Parasitic myomas after laparoscopic surgery: An emerging complication in the use of morcellator? Description of four cases". Fertility and Sterility. 96 (2): e90–e96. doi:10.1016/j.fertnstert.2011.05.095. PMID 21719004.
- ↑ Nezhat C, Kho K (2010). "Iatrogenic Myomas: New Class of Myomas?". Journal of Minimally Invasive Gynecology. 17 (5): 544–550. doi:10.1016/j.jmig.2010.04.004. PMID 20580324.
- 1 2 Fletcher's Diagnostic Histopathology of Tumors (3rd ed.). pp. 692–4.
- ↑ Mäkinen N, Mehine M, Tolvanen J, Kaasinen E, Li Y, Lehtonen HJ, Gentile M, Yan J, Enge M, Taipale M, Aavikko M, Katainen R, Virolainen E, Böhling T, Koski TA, Launonen V, Sjöberg J, Taipale J, Vahteristo P, Aaltonen LA (2011). "MED12, the Mediator Complex Subunit 12 Gene, is Mutated at High Frequency in Uterine Leiomyomas". Science. 334 (6053): 252–255. Bibcode:2011Sci...334..252M. doi:10.1126/science.1208930. PMID 21868628.
- ↑ Okolo S (2008). "Incidence, aetiology and epidemiology of uterine fibroids". Best practice & research. Clinical obstetrics & gynaecology. 22 (4): 571–588. doi:10.1016/j.bpobgyn.2008.04.002. PMID 18534913.
- ↑ Rein MS (2000). "Advances in uterine leiomyoma research: the progesterone hypothesis". Environmental Health Perspectives. 108 Suppl 5: 791–3. doi:10.2307/3454308. JSTOR 3454308. PMID 11035984.
- ↑ Maruo T, Ohara N, Wang J, Matsuo H (2004). "Sex steroidal regulation of uterine leiomyoma growth and apoptosis". Human Reproduction Update. 10 (3): 207–220. doi:10.1093/humupd/dmh019. PMID 15140868.
- 1 2 Yen-Ping Ho J, Man WC, Wen Y, Polan ML, Shih-Chu Ho E, Chen B (June 2009). "Transforming growth interacting factor expression in leiomyoma compared with myometrium". Fertil. Steril. 94 (3): 1078–83. doi:10.1016/j.fertnstert.2009.05.001. PMC 2888713
. PMID 19524896. - ↑ Shozu M, Murakami K, Inoue M (2004). "Aromatase and Leiomyoma of the Uterus". Seminars in Reproductive Medicine. 22 (1): 51–60. doi:10.1055/s-2004-823027. PMID 15083381.
- ↑ Bulun SE, Yang S, Fang Z, Gurates B, Tamura M, Zhou J, Sebastian S (2001). "Role of aromatase in endometrial disease". The Journal of Steroid Biochemistry and Molecular Biology. 79 (1–5): 19–25. doi:10.1016/S0960-0760(01)00134-0. PMID 11850203.
- 1 2 3 4 5 Moravek, MB; Yin, P; Ono, M; Coon, JS; Dyson, MT; Navarro, A; Marsh, EE; Chakravarti, D; Kim, JJ; Wei, JJ; Bulun, SE (February 2015). "Ovarian steroids, stem cells and uterine leiomyoma: therapeutic implications". Human Reproduction Update (Review). 21 (1): 1–12. doi:10.1093/humupd/dmu048. PMC 4255606
. PMID 25205766. - ↑ Hodge JC, Morton CC (2007). "Genetic heterogeneity among uterine leiomyomata: insights into malignant progression". Human Molecular Genetics. 16 Spec No 1: R7–13. doi:10.1093/hmg/ddm043. PMID 17613550.
- ↑ "Fibroids". NHS Choices. U.K. National Health Service.
- ↑ Gupta JK, Sinha A, Lumsden MA, Hickey M (26 December 2014). "Uterine artery embolization for symptomatic uterine fibroids.". The Cochrane database of systematic reviews. 12: CD005073. doi:10.1002/14651858.CD005073.pub4. PMID 25541260.
- ↑ Zapata LB, Whiteman MK, Tepper NK, Jamieson DJ, Marchbanks PA, Curtis KM (2010). "Intrauterine device use among women with uterine fibroids: a systematic review☆". Contraception. 82 (1): 41–55. doi:10.1016/j.contraception.2010.02.011. PMID 20682142.
- 1 2 3 4 5 6 Sankaran S, Manyonda IT (2008). "Medical management of fibroids" (PDF). Best Pract Res Clin Obstet Gynaecol. 22 (4): 655–76. doi:10.1016/j.bpobgyn.2008.03.001. PMID 18468953.
- ↑ Kailasam C, Cahill D (2008). "Review of the safety, efficacy and patient acceptability of the levonorgestrel-releasing intrauterine system". Patient preference and adherence. 2: 293–302. doi:10.2147/ppa.s3464. PMC 2770406
. PMID 19920976. - ↑ Talaulikar, VS; Manyonda, IT (August 2012). "Ulipristal acetate: a novel option for the medical management of symptomatic uterine fibroids.". Advances in therapy. 29 (8): 655–63. doi:10.1007/s12325-012-0042-8. PMID 22903240.
- ↑ Pérez-López, FR (April 2015). "Ulipristal acetate in the management of symptomatic uterine fibroids: facts and pending issues.". Climacteric : the journal of the International Menopause Society. 18 (2): 177–81. doi:10.3109/13697137.2014.981133. PMID 25390187.
- ↑ Tristan M, Orozco LJ, Steed A, Ramírez-Morera A, Stone P (2012). Orozco LJ, ed. "Mifepristone for uterine fibroids". Cochrane database of systematic reviews (Online). 8: CD007687. doi:10.1002/14651858.CD007687.pub2. PMID 22895965.
- ↑ Malartic C, Morel O, Akerman G, Tulpin L, Desfeux P, Barranger E (2008). "La mifépristone dans la prise en charge des fibromes utérins". Gynécologie Obstétrique & Fertilité. 36 (6): 668–74. doi:10.1016/j.gyobfe.2008.01.017. PMID 18539512.
- ↑ "The Embolisation Process". FEmISA: Fibroid Embolisation: Information, Support, Advice.
- 1 2 3 Gupta, JK; Sinha, A; Lumsden, MA; Hickey, M (26 December 2014). "Uterine artery embolization for symptomatic uterine fibroids.". The Cochrane database of systematic reviews. 12: CD005073. doi:10.1002/14651858.CD005073.pub4. PMID 25541260.
- ↑ Homer, Hayden; Saridogan, Ertan (June 2010). "Uterine artery embolization for fibroids is associated with an increased risk of miscarriage" (PDF). Fertility and Sterility (Systematic review). 94 (1): 324–330. doi:10.1016/j.fertnstert.2009.02.069. PMID 19361799. Retrieved 12 May 2015.
- ↑ Liu WM, Ng HT, Wu YC, Yen YK, Yuan CC (2001). "Laparoscopic bipolar coagulation of uterine vessels: a new method for treating symptomatic fibroids". Fertility and Sterility. 75 (2): 417–22. doi:10.1016/S0015-0282(00)01724-6. PMID 11172850.
- ↑ Akinola OI, Fabamwo AO, Ottun AT, Akinniyi OA (2005). "Uterine artery ligation for management of uterine fibroids". International journal of gynaecology and obstetrics: the official organ of the International Federation of Gynaecology and Obstetrics. 91 (2): 137–40. doi:10.1016/j.ijgo.2005.07.012. PMID 16168993.
- ↑ Metwally M, Cheong YC, Horne AW (2012). Metwally M, ed. "Surgical treatment of fibroids for subfertility". Cochrane database of systematic reviews (Online). 11: CD003857. doi:10.1002/14651858.CD003857.pub3. PMID 23152222.
- ↑ Agdi M, Tulandi T (August 2008). "Endoscopic management of uterine fibroids". Best Pract Res Clin Obstet Gynaecol. 22 (4): 707–16. doi:10.1016/j.bpobgyn.2008.01.011. PMID 18325839.
- ↑ Bhave Chittawar P, Franik S, Pouwer AW, Farquhar C (Oct 21, 2014). "Minimally invasive surgical techniques versus open myomectomy for uterine fibroids.". The Cochrane database of systematic reviews. 10: CD004638. doi:10.1002/14651858.CD004638.pub3. PMID 25331441.
- ↑ Beck, Melinda (2010-01-20). "A New Treatment to Help Women Avoid Hysterectomy". The Wall Street Journal.
- ↑ "FDA Approves New Device to Treat Uterine Fibroids" (Press release). FDA. 2004-10-22. Retrieved 2008-05-26.
- ↑ Shen SH, Fennessy F, McDannold N, Jolesz F, Tempany C (April 2009). "Image-guided thermal therapy of uterine fibroids". Seminars in ultrasound, CT, and MR. 30 (2): 91–104. doi:10.1053/j.sult.2008.12.002. PMC 2768544
. PMID 19358440. - ↑ Stewart EA, Rabinovici J, Tempany CM, Inbar Y, Regan L, Gostout B, Gastout B, Hesley G, Kim HS, Hengst S, Gedroyc WM, Gedroye WM (January 2006). "Clinical outcomes of focused ultrasound surgery for the treatment of uterine fibroids". Fertil. Steril. 85 (1): 22–9. doi:10.1016/j.fertnstert.2005.04.072. PMID 16412721.
- ↑ Kurashvili J, Stepanov A, Kulabuchova E, Batarshina O (2014). "MRgFUS for Uterine Myomas: Safety, Effectiveness and Pathogenesis". Journal of Therapeutic Ultrasound. 2 (Suppl 1): A1. doi:10.1186/2050-5736-2-S1-A1.
- ↑ "Helping Black Women Recognize, Treat Fibroids". NPR. Retrieved 30 March 2011.
- ↑ "African American Women and Fibroids". Philadelphia Black Women's Health Project. Retrieved 30 March 2011.
- ↑ "Minority Women's Health". Women's Health.gov.
- 1 2 3 "Black Women and High Prevalence of Fibroids". Fibroid Treatment Collective. November 29, 2010. Retrieved 30 March 2011.
- ↑ http://officeofbudget.od.nih.gov/pdfs/FY11/Approp.%20History%20by%20IC%20(FINAL).pdf[]
- ↑ Bäcklin BM, Eriksson L, Olovsson M (March 2003). "Histology of uterine leiomyoma and occurrence in relation to reproductive activity in the Baltic gray seal (Halichoerus grypus)". Vet. Pathol. 40 (2): 175–80. doi:10.1354/vp.40-2-175. PMID 12637757.
External links
| Wikimedia Commons has media related to Uterine fibroids. |
