Warthin's tumor
| Warthin's tumor | |
|---|---|
![]() | |
| This Warthin's tumor presented as a parotid mass in a middle-aged male, who underwent superficial parotidectomy. The tumor, at the right of the image, is well-demarcated from the adjacent parotid tissue and tends to shell out from it. | |
| Classification and external resources | |
| Specialty | oncology |
| ICD-10 | D11 |
| ICD-9-CM | 210.2 |
| ICD-O | 8561/0 |
| DiseasesDB | 31941 |
| eMedicine | plastic/371 |
| MeSH | D000235 |
- Not to be confused with Wharton's duct (submandibular duct)
Warthin's tumor or Warthin tumour, also known as papillary cystadenoma lymphomatosum, monomorphic adenoma or adenolymphoma, is a benign cystic tumor of the salivary glands containing abundant lymphocytes and germinal centers (lymph node-like stroma). It is named for pathologist Aldred Scott Warthin, who described two cases in 1929.[1]
Etiology
Its etiology is unknown, but there is a strong association with cigarette smoking. Smokers are at 8 times greater risk of developing Warthin's tumor than the general population.[2]
Locations
The gland most likely affected is the parotid gland. In fact, it is the only tumor virtually restricted to the parotid gland. Though much less likely to occur than pleomorphic adenoma, Warthin's tumor is the second most common benign parotid tumor.
Characteristic

Warthin's tumor primarily affects older individuals (age 60–70 years). There is a slight male predilection according to recent studies. The tumor is slow growing, painless, and usually appears in the tail of the parotid gland near the angle of the mandible. In 5–14% of cases, Warthin's tumor is bilateral, but the two masses usually are at different times. Warthin's tumor is highly unlikely to become malignant.
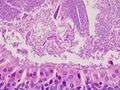
Histology
The appearance of this tumor under the microscope is unique. There are cystic spaces surrounded by two uniform rows of epithelial cells with centrally placed pyknotic nuclei. The cystic spaces have epithelium referred to as papillary infoldings that protrude into them. Additionally, the epithelium has lymphoid stroma with germinal center formation.
The differential diagnosis includes sebaceous lymphadenoma and oncocytoma.
Treatment
Most of these tumors are treated with surgical removal. It is non recurrent .
Additional images
Histopathology of Warthin tumor in the parotid gland. H&E stain.
Histopathology of Warthin tumor in the parotid gland. Another view of a file "Warthin tumor (1).jpg". H&E stain.
Histopathology of Warthin tumor in the parotid gland. Higher magnification of a file "Warthin tumor (1).jpg". H&E stain.
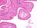
Intermediate magnification micrograph of a Warthin tumor.
High magnification micrograph of a Warthin tumor showing the characteristic bilayered epithelium.
See also
References
- ↑ Witt, Robert L., ed. (2005). "Chapter 9 "Benign tumors, cysts, and tumor-like conditions of the salivary glands". Salivary Gland Diseases: Surgical and Medical Management. New York: Thieme Medical Publishers. p. 123. ISBN 1-58890-414-8.
- ↑ Kumar V, Abbas AK, Fausto N (2005). Robbins and Cotran pathologic basis of disease (7th ed.). St. Louis, MO: Elsevier Saunders. ISBN 0-7216-0187-1.
Additional sources
- Kahn, Michael A. Basic Oral and Maxillofacial Pathology. Volume 1. 2001.
External links
| Wikimedia Commons has media related to Warthin's tumor. |
