Mucoepidermoid carcinoma
| Mucoepidermoid carcinoma | |
|---|---|
![]() | |
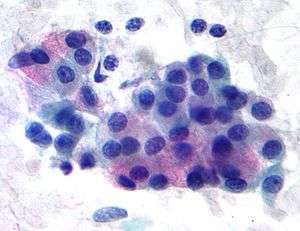
| Micrograph of a mucoepidermoid carcinoma. FNA specimen. Pap stain. | |
| Classification and external resources | |
| ICD-O | M8430/3 |
| OMIM | 607536 |
| MeSH | C04.557.470.200.025.340 |
Mucoepidermoid carcinoma is the most common type of salivary gland malignancy in adults. Mucoepidermoid carcinoma can also be found in other organs, as bronchi, lacrimal sac [1] and thyroid.
Mucicarmine staining is one stain used by pathologist for detection.[2]
Epidemiology
Occurs in adults, with peak incidence from 20–40 years of age. A causal link with cytomegalovirus (CMV) has been strongly implicated in a 2011 research.[3]
Clinical Features
Presents as painless, slow-growing mass that is firm or hard. Most appear clinically as mixed tumors.
Histology
This tumor is not encapsulated and is characterized by squamous cells, mucus-secreting cells, and intermediate cells.[4]
Molecular biology
Mucoepidermoid carcinomas of the salivary and bronchial glands are characterized by a recurrent t(11;19)(q21;p13) chromosomal translocation resulting in a MECT1-MAML2 fusion gene.[5] The CREB-binding domain of the CREB coactivator MECT1 (also known as CRTC1, TORC1 or WAMTP1) is fused to the transactivation domain of the Notch coactivator MAML2 PMID 16444749.
A possible association with papillomavirus has been reported.[6]
Prognosis
Generally, there is a good prognosis for low-grade tumors, and a poor prognosis for high-grade tumors.
Additional images
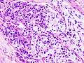
Histopathologic image of mucoepidermoid carcinoma of the major salivary gland. H & E stain
Histopathologic image of mucoepidermoid carcinoma of the major salivary gland. The same lesion as shown in a filename "Mucoepidermoid carcinoma (2) HE stain.jpg". H & E stain
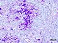
Histopathologic image of mucoepidermoid carcinoma. Postoperative recurrence of the submandibular tumor. Alcian blue-PAS stain
References
- ↑ Elsevier Article Locator
- ↑ Modern Pathology – Primary Mucoepidermoid Carcinoma and Sclerosing Mucoepidermoid Carcinoma with Eosinophilia of the Thyroid Gland: A Report of Nine Cases
- ↑ Melnick, M.; Sedghizadeh, P. P.; Allen, C. M.; Jaskoll, T. (2012). "Human cytomegalovirus and mucoepidermoid carcinoma of salivary glands: Cell-specific localization of active viral and oncogenic signaling proteins is confirmatory of a causal relationship". Experimental and Molecular Pathology. 92 (1): 118–125. doi:10.1016/j.yexmp.2011.10.011. PMID 22101257.
- ↑ Chenevert, J; Barnes, LE; Chiosea, SI (February 2011). "Mucoepidermoid carcinoma: a five-decade journey.". Virchows Archiv : an international journal of pathology. 458 (2): 133–40. doi:10.1007/s00428-011-1040-y. PMID 21243374.
- ↑ Chiosea, SI; Dacic, S; Nikiforova, MN; Seethala, RR (August 2012). "Prospective testing of mucoepidermoid carcinoma for the MAML2 translocation: clinical implications.". The Laryngoscope. 122 (8): 1690–4. doi:10.1002/lary.22419. PMID 22833306.
- ↑ Isayeva T, Said-Al-Naief N, Ren Z, Li R, Gnepp D, Brandwein-Gensler M (2012) Salivary mucoepidermoid carcinoma: Demonstration of transcriptionally active human papillomavirus 16/18. Head Neck Pathol
