Bowen's disease
| Bowen's disease | |
|---|---|
|
Bowen's disease as seen on a finger | |
| Classification and external resources | |
| Specialty | oncology, dermatology |
| ICD-10 | D04 (ILDS D04.L10) |
| ICD-9-CM | 230–234 |
| ICD-O | 8081/2 |
| DiseasesDB | 1569 |
| eMedicine | derm/59 |
| Patient UK | Bowen's disease |
| MeSH | D001913 |
Bowen's disease (BD), also known as squamous cell carcinoma in situ[1] is a neoplastic skin disease. It can be considered as an early stage or intraepidermal form of squamous cell carcinoma. It was named after John T. Bowen. Erythroplasia of Queyrat is a particular type of squamous cell carcinoma in situ which can arise on the glans or prepuce in males and vulva in females, and may be induced by human papilloma virus.[2] It is reported to occur in the corneoscleral limbus.[3]
Signs and symptoms
Bowen's disease typically presents as a gradually enlarging, well-demarcated red colored plaque with an irregular border and surface crusting or scaling. BD may occur at any age in adults, but is rare before the age of 30 years; most patients are aged over 60. Any site may be affected, although involvement of palms or soles is uncommon. BD occurs predominantly in women (70–85% of cases). About 60–85% of patients have lesions on the lower leg, usually in previously or presently sun-exposed areas of skin.
This is a persistent, progressive, unelevated, red, scaly or crusted plaque which is due to an intraepidermal carcinoma and is potentially malignant. The lesions may occur anywhere on the skin surface, including on mucosal surfaces. Freezing, cauterization, or diathermy coagulation is often effective treatment. Pathomorphologic study of tissue sampling revealed: polymorphism of spiny epithelial cells has progressed into atypism; increased mitosis; giant and multinucleate cells; acanthosis; hyperkeratosis and parakeratosis; basal membrane and basal layer are retained.
Causes
Causes of BD include solar damage, arsenic, immunosuppression (including AIDS), viral infection (human papillomavirus or HPV), chronic skin injury, and other dermatoses.[4]
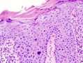
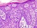
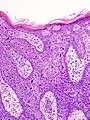
Histology
Bowen's disease is essentially equivalent to squamous cell carcinoma in situ. Atypical squamous cells proliferate through the whole thickness of the epidermis. The entire tumor is confined to the epidermis and does not invade into the dermis. The cells in Bowen's are often highly atypical under the microscope, and may in fact look more unusual than the cells of some invasive squamous cell carcinomas.
-
.jpg)
Bowen's disease as seen under a microscope
-
.jpg)
-
.jpg)
-
.jpg)
Treatment
Photodynamic therapy, cryotherapy (freezing), or local chemotherapy (with 5-fluorouracil) are favored by some clinicians over excision. Because the cells of Bowen's disease have not invaded the dermis, it has a much better prognosis than invasive squamous cell carcinoma.
Good results have been noted with the use of imiquimod for Bowen's disease, including on the penis (erythroplasia of Queyrat), although imiquimod is not (as of 2013) approved by the U.S. Food and Drug Administration for the treatment of any type of squamous cell carcinoma, and serious side effects can occur with use of imiquimod.
References
- ↑ James, William; Berger, Timothy; Elston, Dirk (2005). Andrews' Diseases of the Skin: Clinical Dermatology. (10th ed.). Saunders. ISBN 0-7216-2921-0.
- ↑ J Invest Dermatol 2000 Sep;115(3):396–401
- ↑ Syed Imtiaz Ali Shah, Saeed Ahmed Sangi, Seraj Ahmed Abbasi: Bowen’s Disease: Pak J Ophthalmol 1998 Vol. 14, No. 1, pp. 37–38.
- ↑ Duncan KO; Geisse JK & DJ Leffell (2008). "Ch. 113: Epithelial precancerous lesions". In Wolff K; et al. Fitzpatrick's Dermatology in General Medicine (7th ed.). New York: McGraw-Hill. ISBN 978-0-07-146690-5.
External links
| Wikimedia Commons has media related to Bowen's disease. |
- Photo
- Histological slide
- Bowen's disease, pakmedinet.com
