Syringocystadenoma papilliferum
| Syringocystadenoma papilliferum | |
|---|---|
|
| |
| Classification and external resources | |
| ICD-O | 8406/0 |
| DiseasesDB | 32126 |

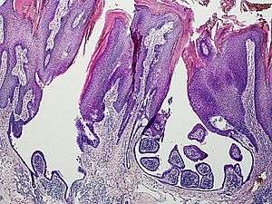
An example of a syringocystadenoma papilliferum
Syringocystadenoma papilliferum (also known as "Syringadenoma papilliferum") is an apocrine tumor.[1]
It can arise with nevus sebaceous.[2]
See also
- List of cutaneous conditions
- Hidradenoma papilliferum
- Papillary eccrine adenoma
- List of cutaneous conditions associated with increased risk of nonmelanoma skin cancer
References
- ↑ James, William; Berger, Timothy; Elston, Dirk (2005). Andrews' Diseases of the Skin: Clinical Dermatology. (10th ed.). Saunders. ISBN 0-7216-2921-0.
- ↑ Monticciolo NL, Schmidt JD, Morgan MB (2002). "Verrucous carcinoma arising within syringocystadenoma papilliferum". Ann. Clin. Lab. Sci. 32 (4): 434–7. PMID 12458900.
External links
This article is issued from Wikipedia - version of the 5/26/2016. The text is available under the Creative Commons Attribution/Share Alike but additional terms may apply for the media files.