Adrenocortical adenoma
| Adrenocortical adenoma | |
|---|---|
![]() | |
| Classification and external resources | |
| ICD-O | 8370/0 |
| eMedicine | radio/13 |
| MeSH | D018246 |
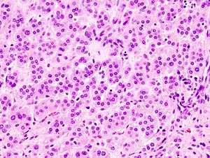
A adrenocortical adenoma (or adrenal cortical adenoma) is a benign tumor of the adrenal cortex.
It can present with Cushing's syndrome or primary aldosteronism.[1]
Is a well circumscribed, yellow tumour in the adrenal cortex, which is usually 2–5 cm in diameter. The color of the tumour, as with adrenal cortex as a whole, is due to the stored lipid (mainly cholesterol), from which the cortical hormones are synthesized. These tumors are frequent incidental findings at post mortem examination, and appear to have produced no significant metabolic disorder; only a very small percentage lead to Cushing's syndrome. Nevertheless, these apparently non-functioning adenomas are most often encountered in elder obese people. There is some debate that they may really represent nodules in diffuse nodular cortical hyperplasia. Very occasionally, a true adrenal cortical adenoma is associated with the clinical manifestations of Conn's syndrome, and can be shown to be excreting mineralocorticoids.
_adrenocortical_adenoma.jpg)
_adrenocortical_adenoma.jpg)
_adrenocortical_adenoma.jpg)